ERCC2 antibody
Quick Overview for ERCC2 antibody (ABIN7257960)
Target
See all ERCC2 AntibodiesReactivity
Host
Clonality
Conjugate
Application
-
-
Characteristics
- Polyclonal Antibody
-
Purification
- Affinity purification
-
Immunogen
- Recombinant fusion protein of human ERCC2 (NP_001124339.1).
-
Isotype
- IgG
-
-
-
-
Application Notes
- WB 1:500-1:2000
-
Restrictions
- For Research Use only
-
-
-
Format
- Liquid
-
Concentration
- 1 mg/mL
-
Buffer
- PBS with 0.02 % sodium azide, 50 % glycerol, pH 7.3
-
Preservative
- Sodium azide
-
Precaution of Use
- This product contains Sodium azide: a POISONOUS AND HAZARDOUS SUBSTANCE which should be handled by trained staff only.
-
Storage
- -20 °C
-
Storage Comment
- Store at -20°C. Avoid freeze / thaw cycles.
-
-
- ERCC2 (Excision Repair Cross-Complementing Rodent Repair Deficiency, Complementation Group 2 (ERCC2))
-
Alternative Name
- ERCC2
-
Background
- The nucleotide excision repair pathway is a mechanism to repair damage to DNA. The protein encoded by this gene is involved in transcription-coupled nucleotide excision repair and is an integral member of the basal transcription factor BTF2/TFIIH complex. The gene product has ATP-dependent DNA helicase activity and belongs to the RAD3/XPD subfamily of helicases. Defects in this gene can result in three different disorders, the cancer-prone syndrome xeroderma pigmentosum complementation group D, trichothiodystrophy, and Cockayne syndrome. Alternatively spliced transcript variants encoding different isoforms have been found for this gene.
-
Molecular Weight
-
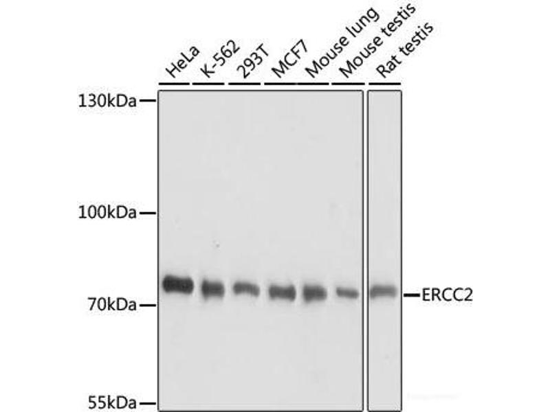
Observed_MW: 80 kDa
Calculated_MW: 46 kDa/86 kDa
-
Gene ID
- 2068
-
UniProt
- P18074
-
Pathways
- DNA Damage Repair
Target
-