GOT1 antibody
Quick Overview for GOT1 antibody (ABIN7261774)
Target
See all GOT1 AntibodiesReactivity
Host
Clonality
Conjugate
Application
-
-
Characteristics
- Polyclonal Antibody
-
Purification
- Affinity purification
-
Immunogen
- Recombinant fusion protein of human GOT1 (NP_002070.1).
-
Isotype
- IgG
-
-
-
-
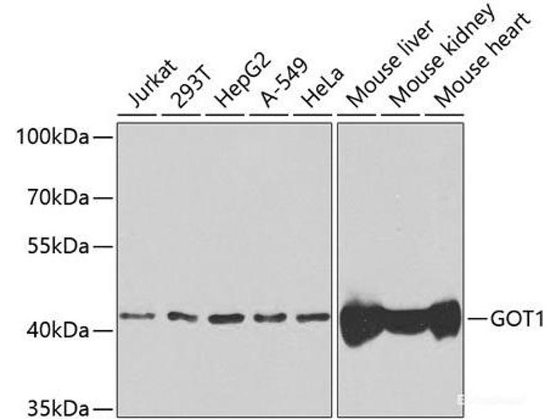
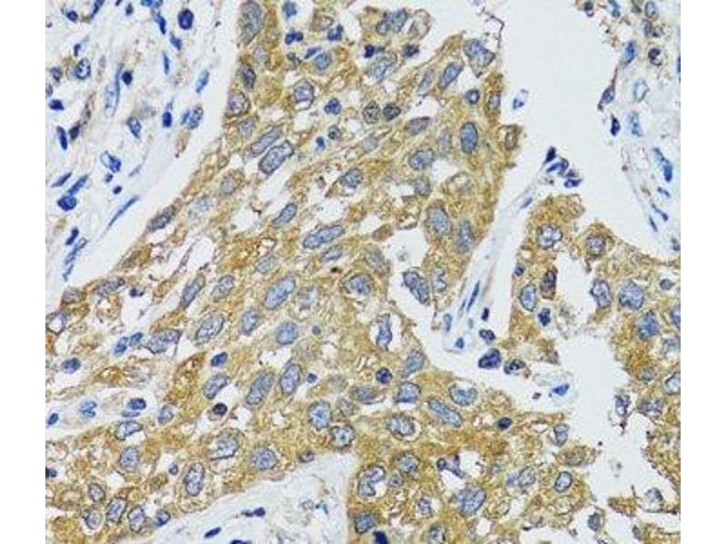
Application Notes
- WB 1:500-1:2000 IHC 1:50-1:200 IF 1:10-1:100
-
Restrictions
- For Research Use only
-
-
-
Format
- Liquid
-
Concentration
- 1 mg/mL
-
Buffer
- PBS with 0.02 % sodium azide, 50 % glycerol, pH 7.3
-
Preservative
- Sodium azide
-
Precaution of Use
- This product contains Sodium azide: a POISONOUS AND HAZARDOUS SUBSTANCE which should be handled by trained staff only.
-
Storage
- -20 °C
-
Storage Comment
- Store at -20°C. Avoid freeze / thaw cycles.
-
-
- GOT1 (Glutamic-Oxaloacetic Transaminase 1, Soluble (Aspartate Aminotransferase 1) (GOT1))
-
Alternative Name
- GOT1
-
Background
- Glutamic-oxaloacetic transaminase is a pyridoxal phosphate-dependent enzyme which exists in cytoplasmic and mitochondrial forms, GOT1 and GOT2, respectively. GOT plays a role in amino acid metabolism and the urea and tricarboxylic acid cycles. The two enzymes are homodimeric and show close homology.
-
Molecular Weight
-
Observed_MW: 46 kDa
Calculated_MW: 44 kDa/46 kDa
-
Gene ID
- 2805
-
UniProt
- P17174
-
Pathways
- Hepatitis C, Monocarboxylic Acid Catabolic Process, Methionine Biosynthetic Process
Target
-