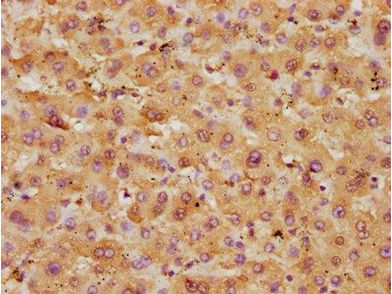
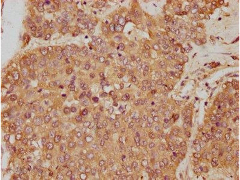
GOT1 antibody (AA 2-411)
Quick Overview for GOT1 antibody (AA 2-411) (ABIN7144729)
Target
See all GOT1 AntibodiesReactivity
Host
Clonality
Conjugate
Application
-
-
Binding Specificity
- AA 2-411
-
Purpose
- GOT1 Antibody
-
Cross-Reactivity
- Mouse
-
Purification
- Protein G purified
-
Purity
- >95 %
-
Immunogen
- Recombinant Human Aspartate aminotransferase, cytoplasmic protein (2-411AA)
-
Isotype
- IgG
-
-
-
-
Application Notes
- Optimal working dilution should be determined by the investigator.
-
Restrictions
- For Research Use only
-
-
-
Format
- Liquid
-
Buffer
-
Preservative: 0.03 % Proclin 300
Constituents: 50 % Glycerol, 0.01M PBS, PH 7.4 -
Preservative
- ProClin
-
Precaution of Use
- This product contains ProClin: a POISONOUS AND HAZARDOUS SUBSTANCE which should be handled by trained staff only.
-
Storage
- -20 °C,-80 °C
-
Storage Comment
- Upon receipt, store at -20°C or -80°C. Avoid repeated freeze.
-
-
- GOT1 (Glutamic-Oxaloacetic Transaminase 1, Soluble (Aspartate Aminotransferase 1) (GOT1))
-
Alternative Name
- GOT1
-
Background
-
Background: Plays a key role in amino acid metabolism.
Aliases: AATC_HUMAN antibody, Aspartate aminotransferase 1 antibody, Aspartate aminotransferase antibody, Aspartate aminotransferase cytoplasmic antibody, Aspartate aminotransferase cytosolic antibody, ASTQTL1 antibody, cAspAT antibody, cCAT antibody, cysteine aminotransferase, cytoplasmic antibody, cysteine transaminase, cytoplasmic antibody, cytoplasmic antibody, ec 2.6.1.1 antibody, GIG 18 antibody, GIG18 antibody, Glutamate oxaloacetate transaminase 1 antibody, Glutamate oxaloacetate transaminase soluble antibody, Glutamic oxaloacetic transaminase 1 soluble antibody, GOT 1 antibody, GOT1 antibody, Growth inhibiting protein 18 antibody, SGOT antibody, Transaminase A antibody
-
UniProt
- P17174
-
Pathways
- Hepatitis C, Monocarboxylic Acid Catabolic Process, Methionine Biosynthetic Process
Target
-