COPS3 antibody
Quick Overview for COPS3 antibody (ABIN7262959)
Target
See all COPS3 AntibodiesReactivity
Host
Clonality
Conjugate
Application
-
-
Characteristics
- Polyclonal Antibody
-
Purification
- Affinity purification
-
Immunogen
- Recombinant fusion protein of human COPS3 (NP_003644.2).
-
Isotype
- IgG
-
-
-
-
Application Notes
- WB 1:500-1:2000 IF 1:50-1:100
-
Restrictions
- For Research Use only
-
-
-
Format
- Liquid
-
Concentration
- 1 mg/mL
-
Buffer
- PBS with 0.02 % sodium azide, 50 % glycerol, pH 7.3
-
Preservative
- Sodium azide
-
Precaution of Use
- This product contains Sodium azide: a POISONOUS AND HAZARDOUS SUBSTANCE which should be handled by trained staff only.
-
Storage
- -20 °C
-
Storage Comment
- Store at -20°C. Avoid freeze / thaw cycles.
-
-
- COPS3 (COP9 Signalosome Complex Subunit 3 (COPS3))
-
Alternative Name
- COPS3
-
Background
- The protein encoded by this gene possesses kinase activity that phosphorylates regulators involved in signal transduction. It phosphorylates I kappa-Balpha, p105, and c-Jun. It acts as a docking site for complex-mediated phosphorylation. The gene is located within the Smith-Magenis syndrome region on chromosome 17. Several transcript variants encoding different isoforms have been found for this gene.
-
Molecular Weight
-
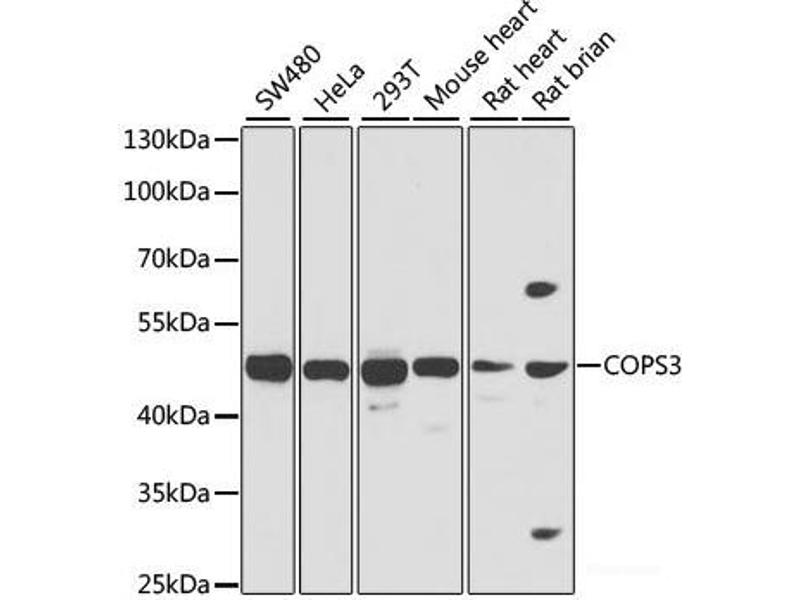
Observed_MW: 48 kDa
Calculated_MW: 45 kDa/47 kDa
-
Gene ID
- 8533
-
UniProt
- Q9UNS2
-
Pathways
- Cell Division Cycle
Target
-