COPS3 antibody
Quick Overview for COPS3 antibody (ABIN7798150)
Target
See all COPS3 AntibodiesReactivity
Host
Clonality
Conjugate
Application
Grade
-
-
Purpose
- KD-Validated COPS3 Rabbit pAb
-
Cross-Reactivity
- Mouse, Rat
-
Purification
- Affinity Purified
-
Immunogen
- A synthesized peptide derived from human COPS3
-
Isotype
- IgG
-
-
-
-
Application Notes
- Western Blotting (WB): 1:500-1:2,500
-
Comment
-
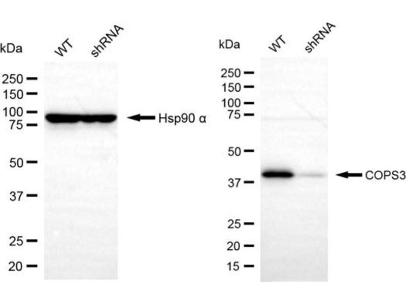
We assess the antibodies’ specificity and selectivity using knockdown techniques. Our validation approach is straightforward: if an antibody identifies a signal in wild-type (WT) cells, but this signal is absent or noticeably reduced in gene-silenced (KD) cells, we consider the antibody to be highly specific.
-
Restrictions
- For Research Use only
-
-
-
Format
- Liquid
-
Buffer
- PBS (pH 7.4) containing 50% glycerol and 0.02% sodium azide.
-
Preservative
- Sodium azide
-
Precaution of Use
- This product contains Sodium azide: a POISONOUS AND HAZARDOUS SUBSTANCE which should be handled by trained staff only.
-
Storage
- -20 °C
-
Storage Comment
- Store at -20 °C for one year.
-
Expiry Date
- 12 months
-
-
- COPS3 (COP9 Signalosome Complex Subunit 3 (COPS3))
-
Alternative Name
- COPS3
-
Molecular Weight
- 48 kDa
-
Gene ID
- 8533
-
UniProt
- Q9UNS2
-
Pathways
- Cell Division Cycle
Target
-