Phone:
+1 877 302 8632
Fax:
+1 888 205 9894 (Toll-free)
E-Mail:
orders@antibodies-online.com

RNF7 antibody

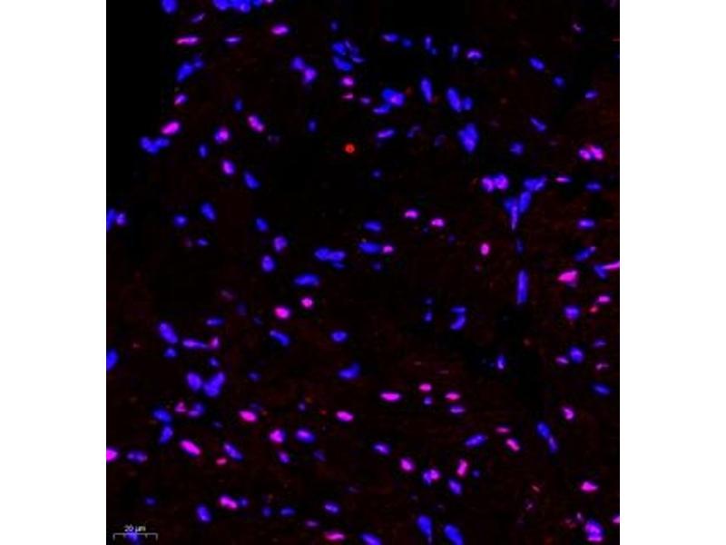
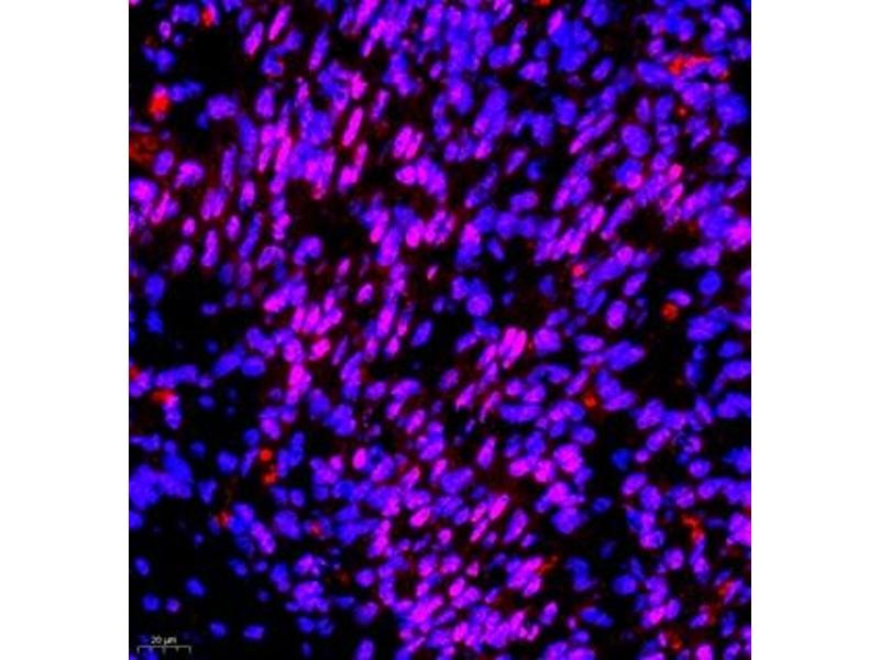
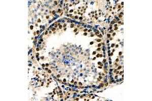
The Rabbit Polyclonal anti-RNF7 antibody (ABIN7075471) specifically detects RNF7 in IHC and IF. The antibody is reactive with Human, Mouse and Rat samples.
Catalog No. ABIN7075471
$341.54
Plus shipping costs $50.00
100 μL
Shipping to: United States
Delivery in 15 to 22 Business Days

Quick Overview for RNF7 antibody (ABIN7075471)

Target

See all RNF7 Antibodies
RNF7 (Ring Finger Protein 7 (RNF7))

Reactivity

Human, Mouse, Rat

Host

  • 34
  • 1
Rabbit

Clonality

  • 23
  • 12
Polyclonal

Conjugate

  • 13
  • 4
  • 2
  • 2
  • 2
  • 2
  • 2
  • 2
  • 2
  • 2
  • 1
  • 1
This RNF7 antibody is un-conjugated

Application

  • 23
  • 15
  • 14
  • 10
  • 10
  • 1
  • 1
  • 1
Immunohistochemistry (IHC), Immunofluorescence (IF)
  • Cross-Reactivity

    Human, Rat

    Purification

    Affinity purification

    Immunogen

    KLH conjugated Synthetic peptide corresponding to Mouse RNF7
  • Application Notes

    IHC/IF (H,M,R) 1:500-1:2000/1:500-1:3000

    Restrictions

    For Research Use only
  • Format

    Liquid

    Buffer

    PBS, pH 7.4, 0.02 % sodium azide

    Preservative

    Sodium azide

    Precaution of Use

    This product contains Sodium azide: a POISONOUS AND HAZARDOUS SUBSTANCE which should be handled by trained staff only.

    Storage

    -20 °C
  • Target

    RNF7 (Ring Finger Protein 7 (RNF7))

    Alternative Name

    RNF7

    Background

    The RNF7 is probable a component of the SCF (SKP1-CUL1-F-box protein) E3 ubiquitin ligase complex which mediates the ubiquitination and subsequent proteasomal degradation of target proteins involved in cell cycle progression, signal transduction and transcription. Through the RING-type zinc finger, seems to recruit the E2 ubiquitination enzyme to the complex and brings it into close proximity to the substrate. Promotes the neddylation of CUL5 via its interaction with UBE2F. May play a role in protecting cells from apoptosis induced by redox agents.

    Gene ID

    19823

    NCBI Accession

    NP_001298064

    UniProt

    Q9WTZ1

    Pathways

    Positive Regulation of Endopeptidase Activity
You are here:
Chat with us!