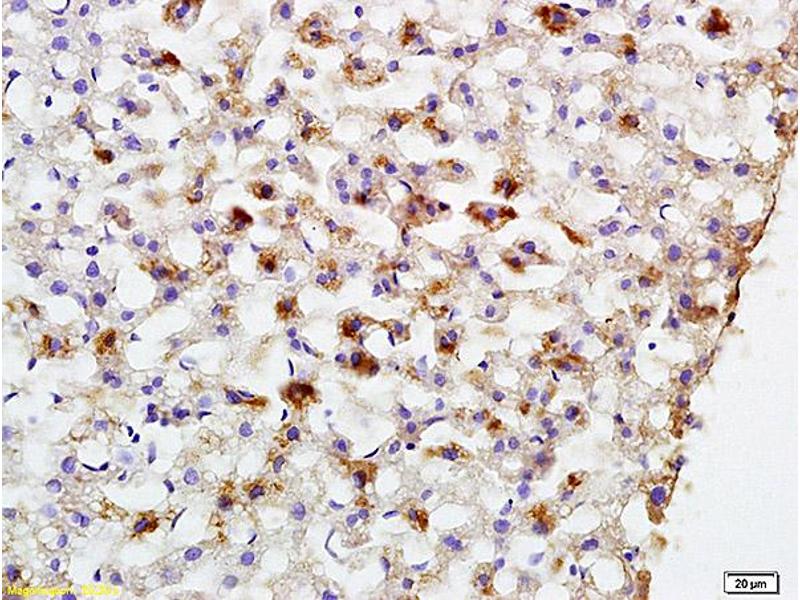
PEPCK antibody (AA 365-470)
Quick Overview for PEPCK antibody (AA 365-470) (ABIN708206)
Target
See all PEPCK AntibodiesReactivity
Host
Clonality
Conjugate
Application
-
-
Binding Specificity
- AA 365-470
-
Cross-Reactivity
- Rat
-
Predicted Reactivity
- Human,Mouse,Cow,Pig,Horse,Rabbit
-
Purification
- Purified by Protein A.
-
Immunogen
- KLH conjugated synthetic peptide derived from human PCK2
-
Isotype
- IgG
-
-
-
-
Application Notes
-
WB 1:300-5000
ELISA 1:500-1000
IHC-P 1:200-400
IHC-F 1:100-500
IF(IHC-P) 1:50-200
IF(IHC-F) 1:50-200
IF(ICC) 1:50-200 -
Restrictions
- For Research Use only
-
-
-
Format
- Liquid
-
Concentration
- 1 μg/μL
-
Buffer
- 0.01M TBS( pH 7.4) with 1 % BSA, 0.02 % Proclin300 and 50 % Glycerol.
-
Preservative
- ProClin
-
Precaution of Use
- This product contains ProClin: a POISONOUS AND HAZARDOUS SUBSTANCE, which should be handled by trained staff only.
-
Storage
- 4 °C,-20 °C
-
Storage Comment
- Shipped at 4°C. Store at -20°C for one year. Avoid repeated freeze/thaw cycles.
-
Expiry Date
- 12 months
-
-
- PEPCK (phosphoenolpyruvate Carboxykinase 2 (Mitochondrial) (PEPCK))
-
Alternative Name
- PCK2
-
Background
-
Synonyms: PEPCK, PEPCK2, PEPCK-M, Phosphoenolpyruvate carboxykinase [GTP], mitochondrial, PCK2
Background: Catalyzes the conversion of oxaloacetate (OAA) to phosphoenolpyruvate (PEP), the rate-limiting step in the metabolic pathway that produces glucose from lactate and other precursors derived from the citric acid cycle.
-
Gene ID
- 5106
-
UniProt
- Q16822
-
Pathways
- Positive Regulation of Peptide Hormone Secretion, Carbohydrate Homeostasis
Target
-