NNT antibody (AA 981-1086)
Quick Overview for NNT antibody (AA 981-1086) (ABIN709631)
Target
See all NNT AntibodiesReactivity
Host
Clonality
Conjugate
Application
-
-
Binding Specificity
- AA 981-1086
-
Cross-Reactivity
- Dog, Human, Mouse
-
Predicted Reactivity
- Rat,Cow,Pig,Horse,Chicken,Rabbit
-
Purification
- Purified by Protein A.
-
Immunogen
- KLH conjugated synthetic peptide derived from human NNT
-
Isotype
- IgG
-
-
-
-
Application Notes
-
WB 1:300-5000
ELISA 1:500-1000
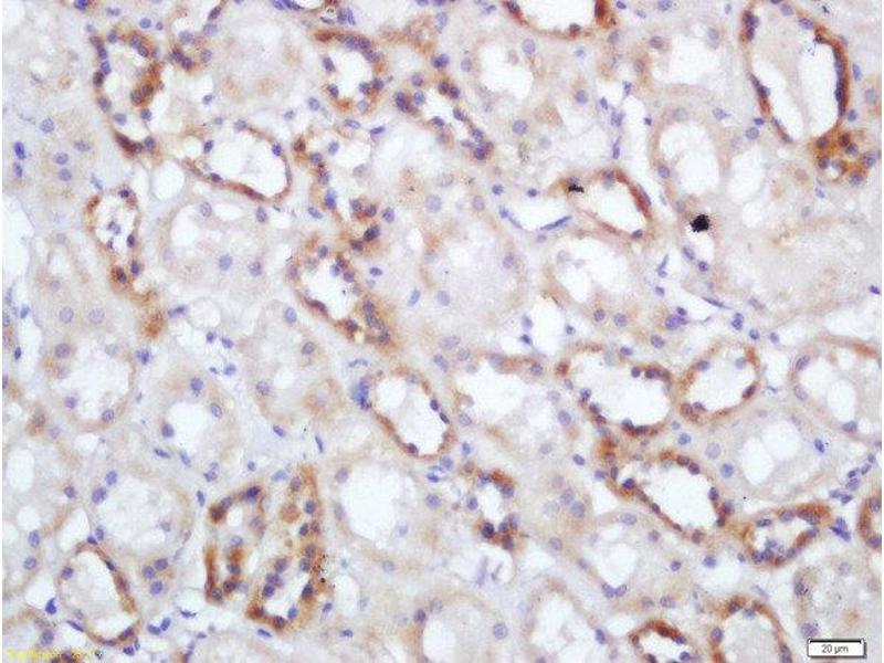
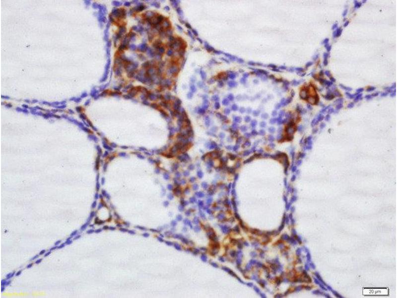
IHC-P 1:200-400
IHC-F 1:100-500
IF(IHC-P) 1:50-200
IF(IHC-F) 1:50-200
IF(ICC) 1:50-200 -
Restrictions
- For Research Use only
-
-
-
Format
- Liquid
-
Concentration
- 1 μg/μL
-
Buffer
- 0.01M TBS( pH 7.4) with 1 % BSA, 0.02 % Proclin300 and 50 % Glycerol.
-
Preservative
- ProClin
-
Precaution of Use
- This product contains ProClin: a POISONOUS AND HAZARDOUS SUBSTANCE, which should be handled by trained staff only.
-
Storage
- 4 °C,-20 °C
-
Storage Comment
- Shipped at 4°C. Store at -20°C for one year. Avoid repeated freeze/thaw cycles.
-
Expiry Date
- 12 months
-
-
- NNT (Nicotinamide Nucleotide Transhydrogenase (NNT))
-
Alternative Name
- NNT
-
Background
-
Synonyms: GCCD4, NAD(P) transhydrogenase, mitochondrial, Nicotinamide nucleotide transhydrogenase, Pyridine nucleotide transhydrogenase, NNT
Background: The transhydrogenation between NADH and NADP is coupled to respiration and ATP hydrolysis and functions as a proton pump across the membrane. May play a role in reactive oxygen species (ROS) detoxification in the adrenal gland.
-
Gene ID
- 23530
-
UniProt
- Q13423
-
Pathways
- Proton Transport
Target
-