Phone:
+1 877 302 8632
Fax:
+1 888 205 9894 (Toll-free)
E-Mail:
orders@antibodies-online.com

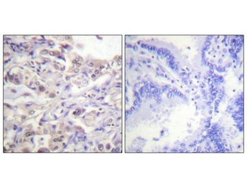
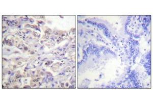
HNRNPD/AUF1 antibody (pSer83)

The Rabbit Polyclonal anti-HNRNPD/AUF1 antibody (ABIN7138711) specifically detects HNRNPD/AUF1 in WB, IHC, ELISA and IF. The antibody is reactive with Human samples.
Catalog No. ABIN7138711
$475.20
Plus shipping costs $50.00
100 μL
Shipping to: United States
Delivery in 13 to 17 Business Days

Quick Overview for HNRNPD/AUF1 antibody (pSer83) (ABIN7138711)

Target

See all HNRNPD/AUF1 (HNRNPD) Antibodies
HNRNPD/AUF1 (HNRNPD) (Heterogeneous Nuclear Ribonucleoprotein D (HNRNPD))

Reactivity

  • 65
  • 27
  • 21
  • 6
  • 5
  • 4
  • 3
  • 3
  • 2
  • 2
  • 2
  • 2
  • 1
Human

Host

  • 62
  • 4
Rabbit

Clonality

  • 63
  • 3
Polyclonal

Conjugate

  • 44
  • 5
  • 4
  • 4
  • 2
  • 1
  • 1
  • 1
  • 1
  • 1
  • 1
  • 1
This HNRNPD/AUF1 antibody is un-conjugated

Application

  • 54
  • 34
  • 30
  • 28
  • 7
  • 5
  • 3
  • 2
  • 2
  • 2
Western Blotting (WB), Immunohistochemistry (IHC), ELISA, Immunofluorescence (IF)
  • Binding Specificity

    • 12
    • 11
    • 6
    • 5
    • 4
    • 3
    • 3
    • 3
    • 3
    • 2
    • 1
    • 1
    • 1
    • 1
    • 1
    • 1
    • 1
    • 1
    • 1
    pSer83

    Purpose

    Phospho-HNRNPD (Ser83) Antibody

    Cross-Reactivity

    Mouse

    Purification

    Antibodies were produced by immunizing rabbits with synthetic phosphopeptide and KLH conjugates. Antibodies were purified by affinity-chromatography using epitope-specific phosphopeptide. Non-phospho specific antibodies were removed by chromatogramphy usi

    Immunogen

    Peptide sequence around phosphorylation site of Serine 83(N-S-S(p)-P-R) derived from Human hnRPD .

    Isotype

    IgG
  • Application Notes

    Optimal working dilution should be determined by the investigator.

    Restrictions

    For Research Use only
  • Format

    Liquid

    Buffer

    phosphate buffered saline (without Mg2+ and Ca2+), pH 7.4, 150 mM NaCl, 0.02 % sodium azide and 50 % glycerol.

    Preservative

    Sodium azide

    Precaution of Use

    This product contains Sodium azide: a POISONOUS AND HAZARDOUS SUBSTANCE which should be handled by trained staff only.

    Storage

    -20 °C,-80 °C

    Storage Comment

    Upon receipt, store at -20°C or -80°C. Avoid repeated freeze.
  • Target

    HNRNPD/AUF1 (HNRNPD) (Heterogeneous Nuclear Ribonucleoprotein D (HNRNPD))

    Alternative Name

    HNRNPD

    Background

    Background:

    Binds with high affinity to RNA molecules that contain AU-rich elements (AREs) found within the 3'-UTR of many proto-oncogenes and cytokine mRNAs. Also binds to double- and single-stranded DNA sequences in a specific manner and functions a transcription factor. Each of the RNA-binding domains specifically can bind solely to a single-stranded non-monotonous 5'-UUAG-3' sequence and also weaker to the single-stranded 5'-TTAGGG-3' telomeric DNA repeat. Binds RNA oligonucleotides with 5'-UUAGGG-3' repeats more tightly than the telomeric single-stranded DNA 5'-TTAGGG-3' repeats.

    Kajita Y., J. Biol. Chem. 270:22167-22175(1995).
    Dempsey L.A., Genomics 49:378-384(1998).
    Tolnay M., Biochem. J. 338:417-425(1999).
    Grosset C., Cell 103:29-40(2000)

    Aliases: ARE binding protein AUFI type A antibody, AU-rich element RNA-binding protein 1 antibody, AUF antibody, AUF1 antibody, AUF1A antibody, Heterogeneous nuclear ribonucleoprotein D0 antibody, hnRNP D antibody, hnRNP D0 antibody, Hnrnpd antibody, hnRNPD0 antibody, HNRPD antibody, HNRPD_HUMAN antibody, P37 antibody

    UniProt

    Q14103
You are here:
Chat with us!