Phone:
+1 877 302 8632
Fax:
+1 888 205 9894 (Toll-free)
E-Mail:
orders@antibodies-online.com

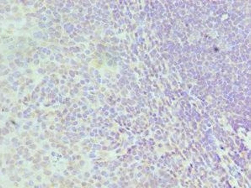
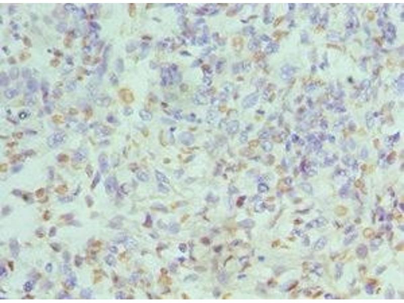
HNRNPD/AUF1 antibody (AA 1-306)

The Rabbit Polyclonal anti-HNRNPD/AUF1 antibody is suitable to detect HNRNPD/AUF1 in samples from Human. It has been validated for WB, IHC and ELISA.
Catalog No. ABIN7155102
$394.68
Plus shipping costs $50.00
Shipping to: United States
Delivery in 13 to 17 Business Days

Quick Overview for HNRNPD/AUF1 antibody (AA 1-306) (ABIN7155102)

Target

See all HNRNPD/AUF1 (HNRNPD) Antibodies
HNRNPD/AUF1 (HNRNPD) (Heterogeneous Nuclear Ribonucleoprotein D (HNRNPD))

Reactivity

  • 65
  • 27
  • 21
  • 6
  • 5
  • 4
  • 3
  • 3
  • 2
  • 2
  • 2
  • 2
  • 1
Human

Host

  • 62
  • 4
Rabbit

Clonality

  • 63
  • 3
Polyclonal

Conjugate

  • 44
  • 5
  • 4
  • 4
  • 2
  • 1
  • 1
  • 1
  • 1
  • 1
  • 1
  • 1
This HNRNPD/AUF1 antibody is un-conjugated

Application

  • 54
  • 34
  • 30
  • 29
  • 7
  • 5
  • 3
  • 2
  • 2
  • 2
Western Blotting (WB), Immunohistochemistry (IHC), ELISA
  • Binding Specificity

    • 13
    • 11
    • 6
    • 5
    • 4
    • 3
    • 3
    • 3
    • 2
    • 2
    • 1
    • 1
    • 1
    • 1
    • 1
    • 1
    • 1
    • 1
    • 1
    AA 1-306

    Purpose

    HNRNPD Antibody

    Purification

    Antigen Affinity Purified

    Immunogen

    Recombinant Human Heterogeneous nuclear ribonucleoprotein D0 protein (1-306AA)

    Isotype

    IgG
  • Application Notes

    Optimal working dilution should be determined by the investigator.

    Restrictions

    For Research Use only
  • Format

    Liquid

    Buffer

    PBS with 0.02 % sodium azide, 50 % glycerol, pH 7.3.

    Preservative

    Sodium azide

    Precaution of Use

    This product contains Sodium azide: a POISONOUS AND HAZARDOUS SUBSTANCE which should be handled by trained staff only.

    Storage

    -20 °C,-80 °C

    Storage Comment

    Upon receipt, store at -20°C or -80°C. Avoid repeated freeze.
  • Target

    HNRNPD/AUF1 (HNRNPD) (Heterogeneous Nuclear Ribonucleoprotein D (HNRNPD))

    Alternative Name

    HNRNPD

    Background

    Background: Binds with high affinity to RNA molecules that contain AU-rich elements (AREs) found within the 3\\\'-UTR of many proto-oncogenes and cytokine mRNAs. Also binds to double- and single-stranded DNA sequences in a specific manner and functions a transcription factor. Each of the RNA-binding domains specifically can bind solely to a single-stranded non-monotonous 5\\\'-UUAG-3\\\' sequence and also weaker to the single-stranded 5\\\'-TTAGGG-3\\\' telomeric DNA repeat. Binds RNA oligonucleotides with 5\\\'-UUAGGG-3\\\' repeats more tightly than the telomeric single-stranded DNA 5\\\'-TTAGGG-3\\\' repeats. Binding of RRM1 to DNA inhibits the formation of DNA quadruplex structure which may play a role in telomere elongation. May be involved in translationally coupled mRNA turnover. Implicated with other RNA-binding proteins in the cytoplasmic deadenylation/translational and decay interplay of the FOS mRNA mediated by the major coding-region determinant of instability (mCRD) domain. May play a role in the regulation of the rhythmic expression of circadian clock core genes. Directly binds to the 3\\\'UTR of CRY1 mRNA and induces CRY1 rhythmic translation. May also be involved in the regulation of PER2 translation.

    Aliases: ARE binding protein AUFI type A antibody, AU-rich element RNA-binding protein 1 antibody, AUF antibody, AUF1 antibody, AUF1A antibody, Heterogeneous nuclear ribonucleoprotein D0 antibody, hnRNP D antibody, hnRNP D0 antibody, Hnrnpd antibody, hnRNPD0 antibody, HNRPD antibody, HNRPD_HUMAN antibody, P37 antibody

    UniProt

    Q14103
You are here:
Chat with us!