Phone:
+1 877 302 8632
Fax:
+1 888 205 9894 (Toll-free)
E-Mail:
orders@antibodies-online.com

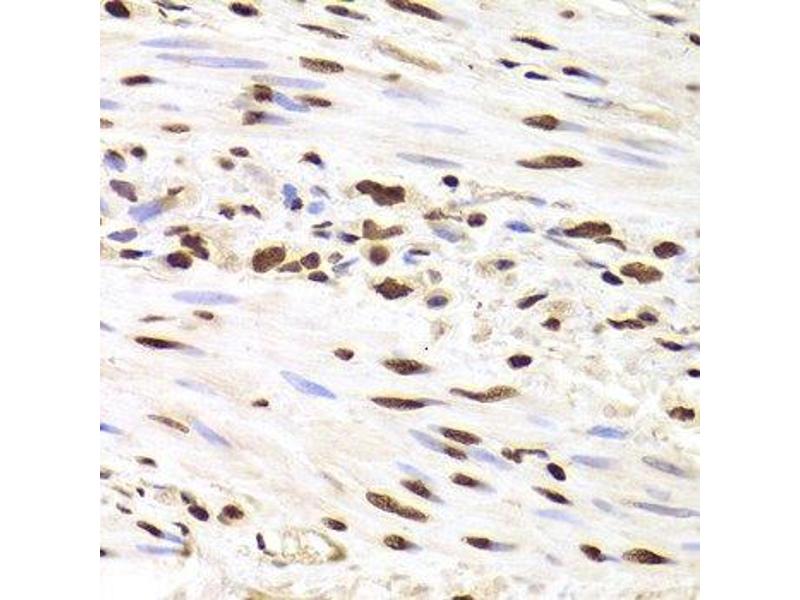
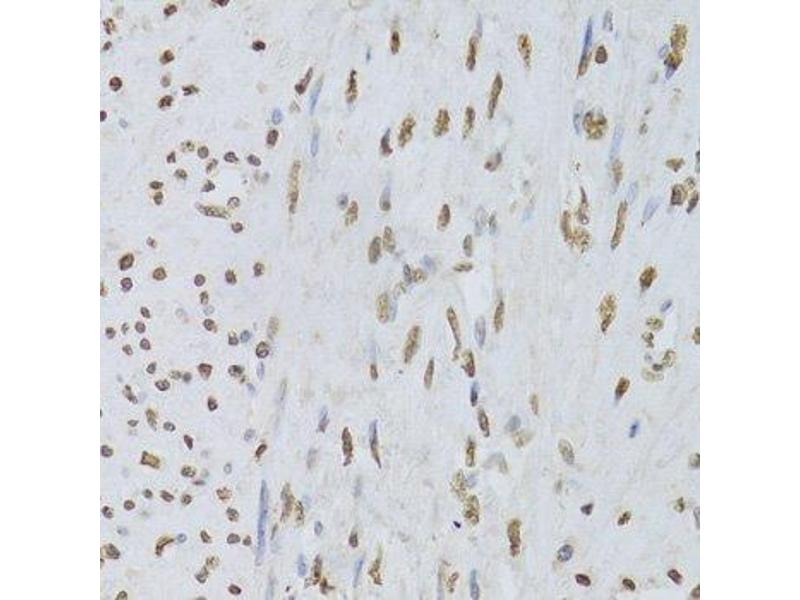
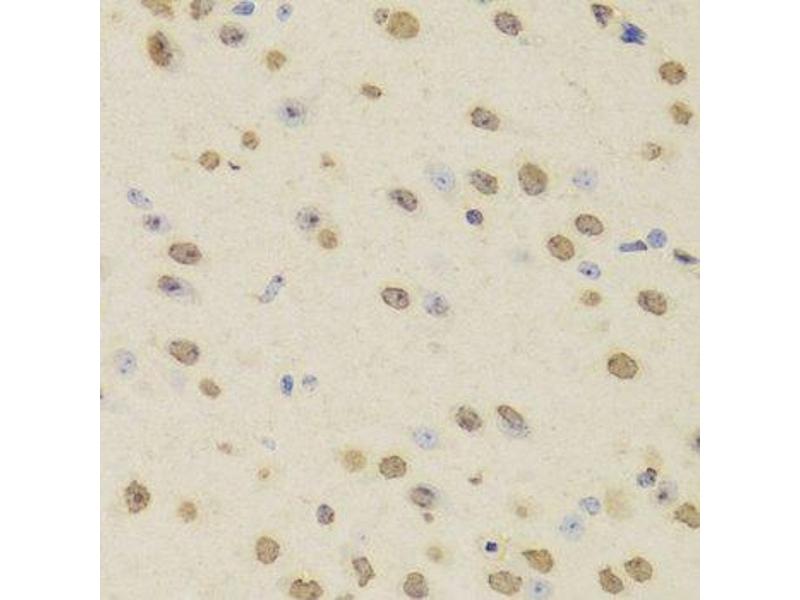
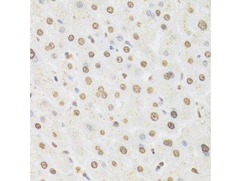
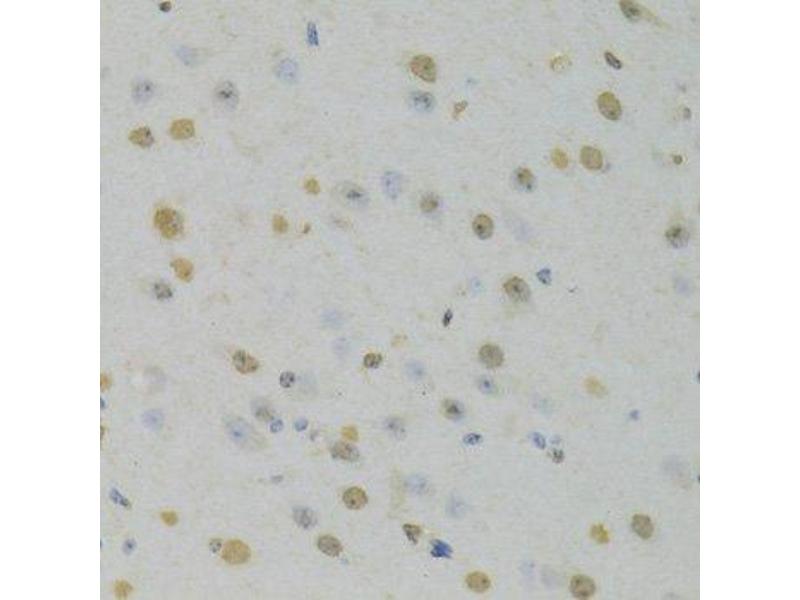
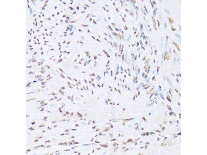
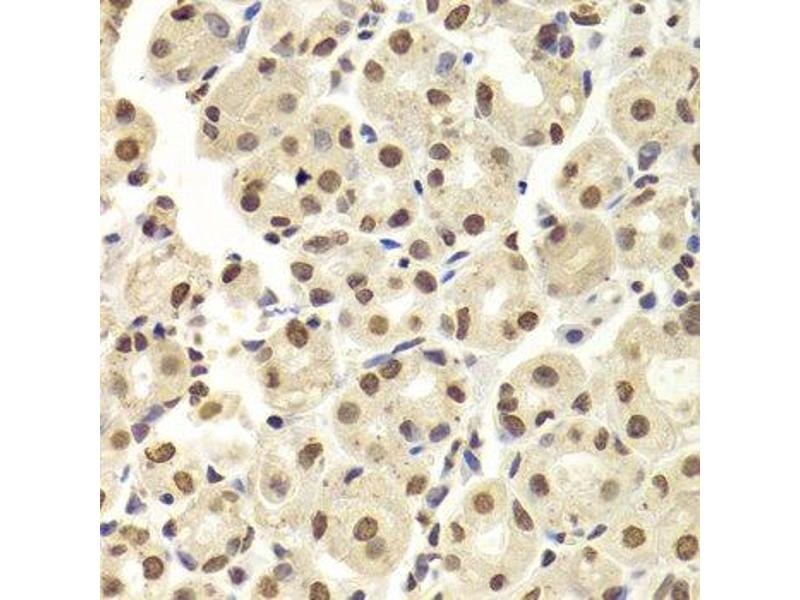
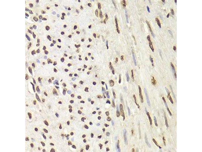
HNRNPD/AUF1 antibody (AA 1-306)

The Rabbit Polyclonal anti-HNRNPD/AUF1 antibody (ABIN6141905) specifically detects HNRNPD/AUF1 in WB, IHC and IF. The antibody is reactive with Human samples.
Catalog No. ABIN6141905
$383.00
Plus shipping costs $50.00
Shipping to: United States
Delivery in 7 to 10 Business Days

Quick Overview for HNRNPD/AUF1 antibody (AA 1-306) (ABIN6141905)

Target

See all HNRNPD/AUF1 (HNRNPD) Antibodies
HNRNPD/AUF1 (HNRNPD) (Heterogeneous Nuclear Ribonucleoprotein D (HNRNPD))

Reactivity

  • 65
  • 27
  • 21
  • 6
  • 5
  • 4
  • 3
  • 3
  • 2
  • 2
  • 2
  • 2
  • 1
Human

Host

  • 62
  • 4
Rabbit

Clonality

  • 63
  • 3
Polyclonal

Conjugate

  • 44
  • 5
  • 4
  • 4
  • 2
  • 1
  • 1
  • 1
  • 1
  • 1
  • 1
  • 1
This HNRNPD/AUF1 antibody is un-conjugated

Application

  • 54
  • 33
  • 31
  • 28
  • 7
  • 6
  • 3
  • 2
  • 2
  • 2
Western Blotting (WB), Immunohistochemistry (IHC), Immunofluorescence (IF)
  • Binding Specificity

    • 13
    • 11
    • 6
    • 5
    • 4
    • 3
    • 3
    • 3
    • 2
    • 2
    • 1
    • 1
    • 1
    • 1
    • 1
    • 1
    • 1
    • 1
    • 1
    AA 1-306

    Sequence

    MSEEQFGGDG AAAAATAAVG GSAGEQEGAM VAATQGAAAA AGSGAGTGGG TASGGTEGGS AESEGAKIDA SKNEEDEGHS NSSPRHSEAA TAQREEWKMF IGGLSWDTTK KDLKDYFSKF GEVVDCTLKL DPITGRSRGF GFVLFKESES VDKVMDQKEH KLNGKVIDPK RAKAMKTKEP VKKIFVGGLS PDTPEEKIRE YFGGFGEVES IELPMDNKTN KRRGFCFITF KEEEPVKKIM EKKYHNVGLS KCEIKVAMSK EQYQQQQQWG SRGGFAGRAR GRGGDQQSGY GKVSRRGGHQ NSYKPY

    Cross-Reactivity

    Human, Mouse, Rat

    Characteristics

    Polyclonal Antibodies

    Purification

    Affinity purification

    Immunogen

    Recombinant fusion protein containing a sequence corresponding to amino acids 1-306 of human HNRNPD (NP_002129.2).

    Isotype

    IgG
  • Application Notes

    WB,1:500 - 1:2000,IHC,1:50 - 1:200,IF,1:50 - 1:100

    Comment

    HIGH QUALITY

    Restrictions

    For Research Use only
  • Format

    Liquid

    Buffer

    PBS with 0.02 % sodium azide,50 % glycerol, pH 7.3.

    Preservative

    Sodium azide

    Precaution of Use

    This product contains Sodium azide: a POISONOUS AND HAZARDOUS SUBSTANCE which should be handled by trained staff only.

    Storage

    -20 °C

    Storage Comment

    Store at -20°C. Avoid freeze / thaw cycles.
  • Target

    HNRNPD/AUF1 (HNRNPD) (Heterogeneous Nuclear Ribonucleoprotein D (HNRNPD))

    Alternative Name

    HNRNPD

    Background

    This gene belongs to the subfamily of ubiquitously expressed heterogeneous nuclear ribonucleoproteins (hnRNPs). The hnRNPs are nucleic acid binding proteins and they complex with heterogeneous nuclear RNA (hnRNA). These proteins are associated with pre-mRNAs in the nucleus and appear to influence pre-mRNA processing and other aspects of mRNA metabolism and transport. While all of the hnRNPs are present in the nucleus, some seem to shuttle between the nucleus and the cytoplasm. The hnRNP proteins have distinct nucleic acid binding properties. The protein encoded by this gene has two repeats of quasi-RRM domains that bind to RNAs. It localizes to both the nucleus and the cytoplasm. This protein is implicated in the regulation of mRNA stability. Alternative splicing of this gene results in four transcript variants.,HNRNPD,AUF1,AUF1A,HNRPD,P37,hnRNPD0,Epigenetics & Nuclear Signaling,RNA Binding,HNRNPD

    Molecular Weight

    30 kDa/32 kDa/36 kDa/38 kDa

    Gene ID

    3184

    UniProt

    Q14103
You are here:
Chat with us!