Phone:
+1 877 302 8632
Fax:
+1 888 205 9894 (Toll-free)
E-Mail:
orders@antibodies-online.com

JNK2 antibody (pThr183)

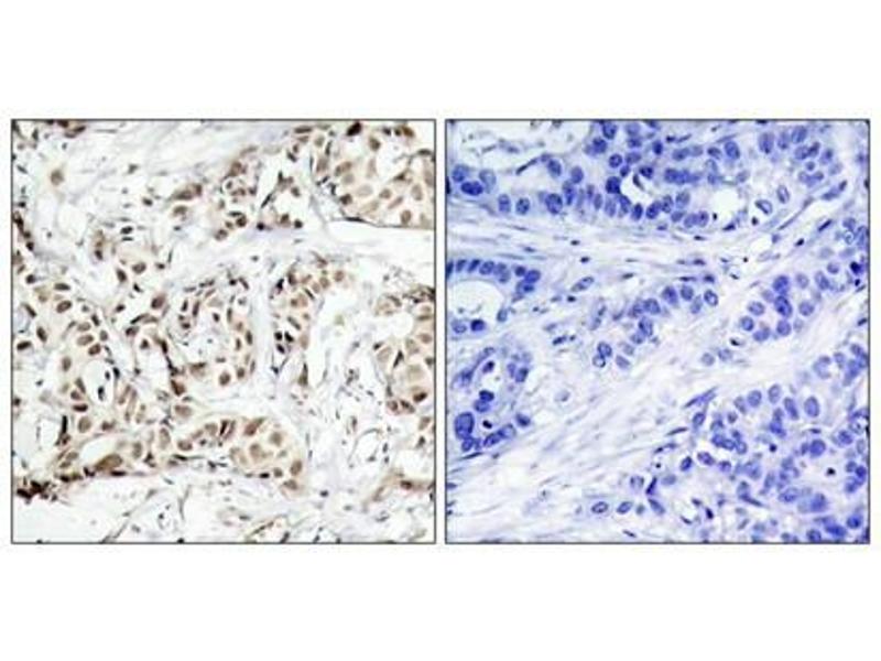
The Rabbit Polyclonal anti-JNK2 antibody is suitable to detect JNK2 in samples from Human. It has been validated for WB, ELISA and IHC.
Catalog No. ABIN7138785
$475.20
Plus shipping costs $50.00
100 μL
Shipping to: United States
Delivery in 13 to 17 Business Days

Quick Overview for JNK2 antibody (pThr183) (ABIN7138785)

Target

See all JNK2 (MAPK9) Antibodies
JNK2 (MAPK9) (Mitogen-Activated Protein Kinase 9 (MAPK9))

Reactivity

  • 80
  • 52
  • 40
  • 5
  • 4
  • 2
  • 2
  • 2
  • 2
  • 2
  • 2
  • 2
  • 1
  • 1
  • 1
Human

Host

  • 63
  • 10
  • 3
  • 2
Rabbit

Clonality

  • 52
  • 28
Polyclonal

Conjugate

  • 45
  • 7
  • 4
  • 3
  • 3
  • 3
  • 3
  • 3
  • 3
  • 2
  • 1
  • 1
  • 1
  • 1
This JNK2 antibody is un-conjugated

Application

  • 58
  • 35
  • 30
  • 20
  • 18
  • 14
  • 13
  • 10
  • 2
  • 2
  • 1
  • 1
  • 1
Western Blotting (WB), ELISA, Immunohistochemistry (IHC)
  • Binding Specificity

    • 9
    • 7
    • 5
    • 4
    • 2
    • 2
    • 2
    • 2
    • 2
    • 1
    • 1
    • 1
    • 1
    • 1
    • 1
    • 1
    • 1
    • 1
    • 1
    • 1
    pThr183

    Purpose

    Phospho-MAPK9/MAPK10 (Thr183) Antibody

    Cross-Reactivity

    Mouse, Rat

    Purification

    Antibodies were produced by immunizing rabbits with synthetic phosphopeptide and KLH conjugates. Antibodies were purified by affinity-chromatography using epitope-specific phosphopeptide. Non-phospho specific antibodies were removed by chromatogramphy usi

    Immunogen

    Peptide sequence around phosphorylation site of threonine 183 (M-M-T(p)-P-Y) derived from Human SAPK/JNK.

    Isotype

    IgG
  • Application Notes

    Optimal working dilution should be determined by the investigator.

    Restrictions

    For Research Use only
  • Format

    Liquid

    Buffer

    Supplied at 1.0 mg/mL in phosphate buffered saline (without Mg2+ and Ca2+), pH 7.4, 150 mM NaCl, 0.02 % sodium azide and 50 % glycerol.

    Preservative

    Sodium azide

    Precaution of Use

    This product contains Sodium azide: a POISONOUS AND HAZARDOUS SUBSTANCE which should be handled by trained staff only.

    Storage

    -20 °C,-80 °C

    Storage Comment

    Upon receipt, store at -20°C or -80°C. Avoid repeated freeze.
  • Target

    JNK2 (MAPK9) (Mitogen-Activated Protein Kinase 9 (MAPK9))

    Alternative Name

    MAPK9

    Background

    Background:

    Responds to activation by environmental stress and pro-inflammatory cytokines by phosphorylating a number of transcription factors, primarily components of AP-1 such as c-Jun and ATF2 and thus regulates AP-1 transcriptional activity. In T-cells, JNK1 and JNK2 are required for polarized differentiation of T-helper cells into Th1 cells.

    Ferrer, et al. (2003) Neuropathology & Applied Neurobiology 29: 23
    Zhonghong Guan, et al. (1999) J Biol Chem, Vol. 274: 36200-36206
    D.Margriet Ouwens1, et al. (2002)The EMBO Journal 21: 3782

    Aliases: c Jun kinase 2 antibody; C Jun N terminal kinase 2 antibody; c-Jun N-terminal kinase 2 antibody; JNK 55 antibody; JNK-55 antibody; JNK2 alpha antibody; JNK2 antibody; JNK2 beta antibody; JNK2A antibody; JNK2alpha antibody; JNK2B antibody; JNK2BETA antibody; Jun kinase antibody; MAP kinase 9 antibody; MAPK 9 antibody; Mapk9 antibody; Mitogen activated protein kinase 9 antibody; Mitogen-activated protein kinase 9 antibody; MK09_HUMAN antibody; P54a antibody; p54aSAPK antibody; PRKM9 antibody; Protein kinase, mitogen-activated, 9 antibody; SAPK alpha antibody; SAPK antibody; SAPK1a antibody; Stress activated protein kinase 1a antibody; Stress-activated protein kinase JNK2 antibody

    UniProt

    P45984

    Pathways

    MAPK Signaling, WNT Signaling, TLR Signaling, Fc-epsilon Receptor Signaling Pathway, Activation of Innate immune Response, Cellular Response to Molecule of Bacterial Origin, Positive Regulation of Endopeptidase Activity, Hepatitis C, Toll-Like Receptors Cascades, BCR Signaling, S100 Proteins
You are here:
Chat with us!