Phone:
+1 877 302 8632
Fax:
+1 888 205 9894 (Toll-free)
E-Mail:
orders@antibodies-online.com

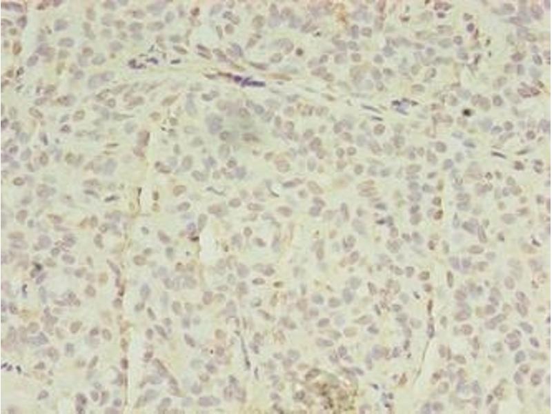
EPH Receptor A7 antibody (AA 28-182)

The Rabbit Polyclonal anti-EPH Receptor A7 antibody (ABIN7151851) specifically detects EPH Receptor A7 in ELISA, IHC and IF. The antibody is reactive with Human samples.
Catalog No. ABIN7151851
$394.68
Plus shipping costs $50.00
Shipping to: United States
Delivery in 13 to 17 Business Days

Quick Overview for EPH Receptor A7 antibody (AA 28-182) (ABIN7151851)

Target

See all EPH Receptor A7 (EPHA7) Antibodies
EPH Receptor A7 (EPHA7)

Reactivity

  • 69
  • 33
  • 33
  • 5
  • 5
  • 4
  • 2
  • 2
  • 2
  • 1
  • 1
  • 1
Human

Host

  • 64
  • 5
  • 1
Rabbit

Clonality

  • 65
  • 5
Polyclonal

Conjugate

  • 30
  • 6
  • 6
  • 4
  • 2
  • 2
  • 1
  • 1
  • 1
  • 1
  • 1
  • 1
  • 1
  • 1
  • 1
  • 1
  • 1
  • 1
  • 1
  • 1
  • 1
  • 1
  • 1
  • 1
  • 1
  • 1
This EPH Receptor A7 antibody is un-conjugated

Application

  • 50
  • 32
  • 23
  • 18
  • 13
  • 13
  • 10
  • 4
  • 3
  • 2
  • 1
  • 1
  • 1
ELISA, Immunohistochemistry (IHC), Immunofluorescence (IF)
  • Binding Specificity

    • 16
    • 10
    • 8
    • 7
    • 5
    • 3
    • 2
    • 2
    • 2
    • 2
    • 1
    • 1
    • 1
    • 1
    • 1
    • 1
    • 1
    • 1
    • 1
    • 1
    • 1
    • 1
    AA 28-182

    Purpose

    EPHA7 Antibody

    Purification

    Protein G purified

    Purity

    >95 %

    Immunogen

    Recombinant Human Ephrin type-A receptor 7 protein (28-182AA)

    Isotype

    IgG
  • Application Notes

    Optimal working dilution should be determined by the investigator.

    Restrictions

    For Research Use only
  • Format

    Liquid

    Buffer

    Preservative: 0.03 % Proclin 300
    Constituents: 50 % Glycerol, 0.01M PBS, PH 7.4

    Preservative

    ProClin

    Precaution of Use

    This product contains ProClin: a POISONOUS AND HAZARDOUS SUBSTANCE which should be handled by trained staff only.

    Storage

    -20 °C,-80 °C

    Storage Comment

    Upon receipt, store at -20°C or -80°C. Avoid repeated freeze.
  • Target

    EPH Receptor A7 (EPHA7)

    Alternative Name

    EPHA7

    Background

    Background: Receptor tyrosine kinase which binds promiscuously GPI-anchored ephrin-A family ligands residing on adjacent cells, leading to contact-dependent bidirectional signaling into neighboring cells. The signaling pathway downstream of the receptor is referred to as forward signaling while the signaling pathway downstream of the ephrin ligand is referred to as reverse signaling. Among GPI-anchored ephrin-A ligands, EFNA5 is a cognate/functional ligand for EPHA7 and their interaction regulates brain development modulating cell-cell adhesion and repulsion. Has a repellent activity on axons and is for instance involved in the guidance of corticothalamic axons and in the proper topographic mapping of retinal axons to the colliculus. May also regulate brain development through a caspase(CASP3)-dependent proapoptotic activity. Forward signaling may result in activation of components of the ERK signaling pathway including MAP2K1, MAP2K2, MAPK1 AND MAPK3 which are phosphorylated upon activation of EPHA7.

    Aliases: Cek 11 antibody, Developmental kinase 1 antibody, EBK antibody, EHK-3 antibody, EHK3 antibody, EK11 antibody, Embryonic brain kinase antibody, EPH homology kinase 3 antibody, EPH-like kinase 11 antibody, Epha7 antibody, EPHA7_HUMAN antibody, Ephrin receptor Eph A7 antibody, Ephrin type A receptor 7 antibody, Ephrin type-A receptor 7 antibody, hEK11 antibody, MDK 1 antibody, Receptor protein tyrosine kinase HEK 11 antibody, Tyrosine protein kinase receptor EHK 3 antibody

    UniProt

    Q15375

    Pathways

    RTK Signaling
You are here:
Chat with us!