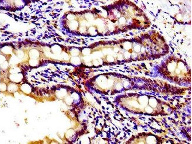
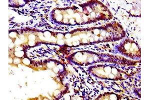
GPR39 antibody (AA 345-453)
Quick Overview for GPR39 antibody (AA 345-453) (ABIN7153343)
Target
See all GPR39 AntibodiesReactivity
Host
Clonality
Conjugate
Application
-
-
Binding Specificity
- AA 345-453
-
Purpose
- GPR39 Antibody
-
Purification
- Protein G purified
-
Purity
- >95 %
-
Immunogen
- Recombinant Human G-protein coupled receptor 39 protein (345-453AA)
-
Isotype
- IgG
-
-
-
-
Application Notes
- Optimal working dilution should be determined by the investigator.
-
Restrictions
- For Research Use only
-
-
-
Format
- Liquid
-
Buffer
-
Preservative: 0.03 % Proclin 300
Constituents: 50 % Glycerol, 0.01M PBS, pH 7.4 -
Preservative
- ProClin
-
Precaution of Use
- This product contains ProClin: a POISONOUS AND HAZARDOUS SUBSTANCE which should be handled by trained staff only.
-
Storage
- -20 °C,-80 °C
-
Storage Comment
- Upon receipt, store at -20°C or -80°C. Avoid repeated freeze.
-
-
- GPR39 (G Protein-Coupled Receptor 39 (GPR39))
-
Alternative Name
- GPR39
-
Background
-
Background: Zn(2+) acts as an agonist. This receptor mediates its action by association with G proteins that activate a phosphatidylinositol-calcium second messenger system. Its effect is mediated mainly through G(q)-alpha and G(12)/G(13) proteins. Involved in regulation of body weight, gastrointestinal mobility, hormone secretion and cell death (By similarity).
Aliases: G protein coupled receptor GPR39 antibody, G Protein-Coupled Receptor 39 antibody, G-protein coupled receptor 39 antibody, GPR 39 antibody, Gpr39 antibody, GPR39_HUMAN antibody, MGC149541 antibody
-
UniProt
- O43194
-
Pathways
- Positive Regulation of Peptide Hormone Secretion, Carbohydrate Homeostasis, Feeding Behaviour
Target
-