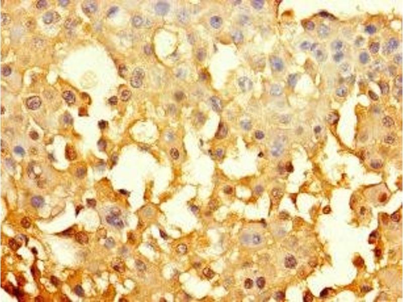
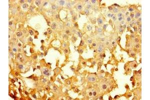
GJB6 antibody (AA 216-261)
Quick Overview for GJB6 antibody (AA 216-261) (ABIN7153625)
Target
See all GJB6 AntibodiesReactivity
Host
Clonality
Conjugate
Application
-
-
Binding Specificity
- AA 216-261
-
Purpose
- GJB6 Antibody
-
Purification
- Protein G purified
-
Purity
- >95 %
-
Immunogen
- Recombinant Human Gap junction beta-6 protein (216-261AA)
-
Isotype
- IgG
-
-
-
-
Application Notes
- Optimal working dilution should be determined by the investigator.
-
Restrictions
- For Research Use only
-
-
-
Format
- Liquid
-
Buffer
-
Preservative: 0.03 % Proclin 300
Constituents: 50 % Glycerol, 0.01M PBS, PH 7.4 -
Preservative
- ProClin
-
Precaution of Use
- This product contains ProClin: a POISONOUS AND HAZARDOUS SUBSTANCE which should be handled by trained staff only.
-
Storage
- -20 °C,-80 °C
-
Storage Comment
- Upon receipt, store at -20°C or -80°C. Avoid repeated freeze.
-
-
- GJB6 (Gap Junction Protein, beta 6, 30kDa (GJB6))
-
Alternative Name
- GJB6
-
Background
-
Background: One gap junction consists of a cluster of closely packed pairs of transmembrane channels, the connexons, through which materials of low MW diffuse from one cell to a neighboring cell.
Aliases: Connexin 30 antibody, Connexin-30 antibody, Cx30 antibody, CXB6_HUMAN antibody, DFNA3 antibody, DFNA3B antibody, DFNB1B antibody, ECTD2 antibody, ectodermal dysplasia 2, hidrotic (Clouston syndrome) antibody, ED2 antibody, EDH antibody, Gap junction beta 6 protein antibody, Gap junction beta-6 protein antibody, gap junction protein, beta 6 (connexin 30) antibody, gap junction protein, beta 6 antibody, Gap junction protein, beta 6, 30 kDa antibody, GJB6 antibody, HED antibody, HED2 antibody, NSRD1 antibody
-
UniProt
- O95452
-
Pathways
- Sensory Perception of Sound
Target
-