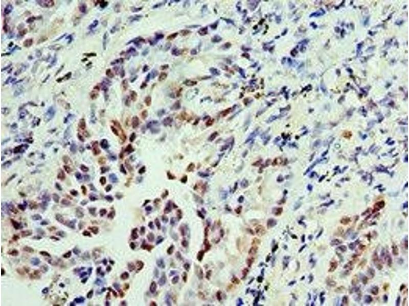
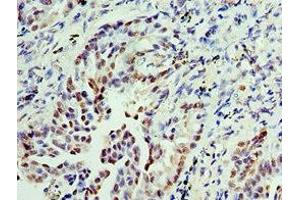
IMPDH2 antibody (AA 215-514)
Quick Overview for IMPDH2 antibody (AA 215-514) (ABIN7156290)
Target
See all IMPDH2 AntibodiesReactivity
Host
Clonality
Conjugate
Application
-
-
Binding Specificity
- AA 215-514
-
Purpose
- IMPDH2 Antibody
-
Purification
- Antigen Affinity Purified
-
Immunogen
- Recombinant Human Inosine-5\\\'-monophosphate dehydrogenase 2 protein (215-514AA)
-
Isotype
- IgG
-
-
-
-
Application Notes
- Optimal working dilution should be determined by the investigator.
-
Restrictions
- For Research Use only
-
-
-
Format
- Liquid
-
Buffer
- PBS with 0.02 % sodium azide, 50 % glycerol, pH 7.3.
-
Preservative
- Sodium azide
-
Precaution of Use
- This product contains Sodium azide: a POISONOUS AND HAZARDOUS SUBSTANCE which should be handled by trained staff only.
-
Storage
- -20 °C,-80 °C
-
Storage Comment
- Upon receipt, store at -20°C or -80°C. Avoid repeated freeze.
-
-
- IMPDH2 (IMP (Inosine 5'-Monophosphate) Dehydrogenase 2 (IMPDH2))
-
Alternative Name
- IMPDH2
-
Background
-
Background: Catalyzes the conversion of inosine 5\\\'-phosphate (IMP) to xanthosine 5\\\'-phosphate (XMP), the first committed and rate-limiting step in the de novo synthesis of guanine nucleotides, and therefore plays an important role in the regulation of cell growth. Could also have a single-stranded nucleic acid-binding activity and could play a role in RNA and/or DNA metabolism. It may also have a role in the development of malignancy and the growth progression of some tumors.
Aliases: IMDH2_HUMAN antibody, IMP (inosine monophosphate) dehydrogenase 2 antibody, IMP dehydrogenase 2 antibody, IMP oxireductase 2 antibody, IMPD 2 antibody, IMPD2 antibody, IMPDH 2 antibody, IMPDH II antibody, IMPDH-II antibody, Impdh2 antibody, Inosine 5' monophosphate dehydrogenase 2 antibody, Inosine 5' phosphate dehydrogenase 2 antibody, Inosine monophosphate dehydrogenase type II antibody, Inosine-5''-monophosphate dehydrogenase 2 antibody
-
UniProt
- P12268
-
Pathways
- Ribonucleoside Biosynthetic Process, SARS-CoV-2 Protein Interactome
Target
-