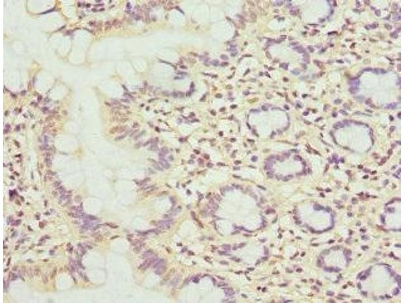
MBTPS1 antibody (AA 803-1052)
Quick Overview for MBTPS1 antibody (AA 803-1052) (ABIN7159380)
Target
See all MBTPS1 AntibodiesReactivity
Host
Clonality
Conjugate
Application
-
-
Binding Specificity
- AA 803-1052
-
Purpose
- MBTPS1 Antibody
-
Purification
- Antigen Affinity Purified
-
Immunogen
- Recombinant Human Membrane-bound transcription factor site-1 protease protein (803-1052AA)
-
Isotype
- IgG
-
-
-
-
Application Notes
- Optimal working dilution should be determined by the investigator.
-
Restrictions
- For Research Use only
-
-
-
Format
- Liquid
-
Buffer
- PBS with 0.02 % sodium azide, 50 % glycerol, pH 7.3.
-
Preservative
- Sodium azide
-
Precaution of Use
- This product contains Sodium azide: a POISONOUS AND HAZARDOUS SUBSTANCE which should be handled by trained staff only.
-
Storage
- -20 °C,-80 °C
-
Storage Comment
- Upon receipt, store at -20°C or -80°C. Avoid repeated freeze.
-
-
- MBTPS1 (Membrane-Bound Transcription Factor Peptidase, Site 1 (MBTPS1))
-
Alternative Name
- MBTPS1
-
Background
-
Background: Serine protease that catalyzes the first step in the proteolytic activation of the sterol regulatory element-binding proteins (SREBPs). Other known substrates are BDNF, GNPTAB and ATF6. Cleaves after hydrophobic or small residues, provided that Arg or Lys is in position P4. Cleaves known substrates after Arg-Ser-Val-Leu (SERBP-2), Arg-His-Leu-Leu (ATF6), Arg-Gly-Leu-Thr (BDNF) and its own propeptide after Arg-Arg-Leu-Leu. Mediates the protein cleavage of GNPTAB into subunit alpha and beta, thereby participating in biogenesis of lysosomes.
Aliases: MBTPS1 antibody, KIAA0091 antibody, S1P antibody, SKI1Membrane-bound transcription factor site-1 protease antibody, EC 3.4.21.112 antibody, Endopeptidase S1P antibody, Subtilisin/kexin-isozyme 1 antibody, SKI-1 antibody
-
UniProt
- Q14703
-
Pathways
- ER-Nucleus Signaling
Target
-