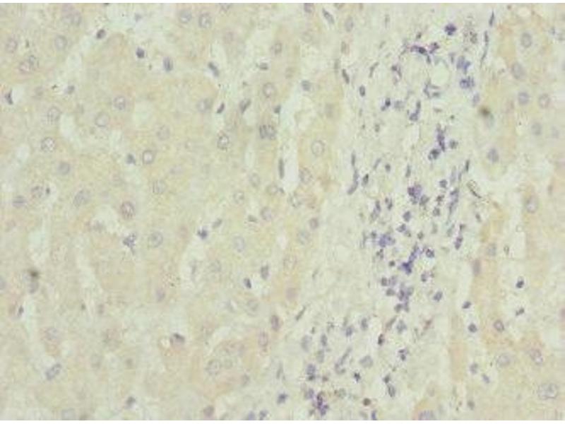
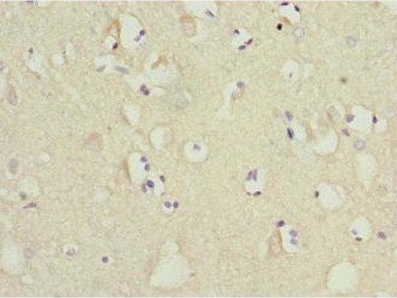
MTCH1 antibody (AA 100-250)
Quick Overview for MTCH1 antibody (AA 100-250) (ABIN7159842)
Target
See all MTCH1 AntibodiesReactivity
Host
Clonality
Conjugate
Application
-
-
Binding Specificity
- AA 100-250
-
Purpose
- MTCH1 Antibody
-
Purification
- Antigen Affinity Purified
-
Immunogen
- Recombinant Human Mitochondrial carrier homolog 1 protein (100-250AA)
-
Isotype
- IgG
-
-
-
-
Application Notes
- Optimal working dilution should be determined by the investigator.
-
Restrictions
- For Research Use only
-
-
-
Format
- Liquid
-
Buffer
- PBS with 0.02 % sodium azide, 50 % glycerol, pH 7.3.
-
Preservative
- Sodium azide
-
Precaution of Use
- This product contains Sodium azide: a POISONOUS AND HAZARDOUS SUBSTANCE which should be handled by trained staff only.
-
Storage
- -20 °C,-80 °C
-
Storage Comment
- Upon receipt, store at -20°C or -80°C. Avoid repeated freeze.
-
-
- MTCH1 (Mitochondrial Carrier 1 (MTCH1))
-
Alternative Name
- MTCH1
-
Background
-
Background: Potential mitochondrial transporter. May play a role in apoptosis.
Aliases: Cell proliferation inducing protein 60 antibody, CGI64 antibody, Mitochondrial carrier homolog 1 antibody, MTCH 1 antibody, Mtch1 antibody, MTCH1_HUMAN antibody, Presenilin associated protein antibody, Presenilin-associated protein antibody, PSAP antibody
-
UniProt
- Q9NZJ7
-
Pathways
- Positive Regulation of Endopeptidase Activity, SARS-CoV-2 Protein Interactome
Target
-