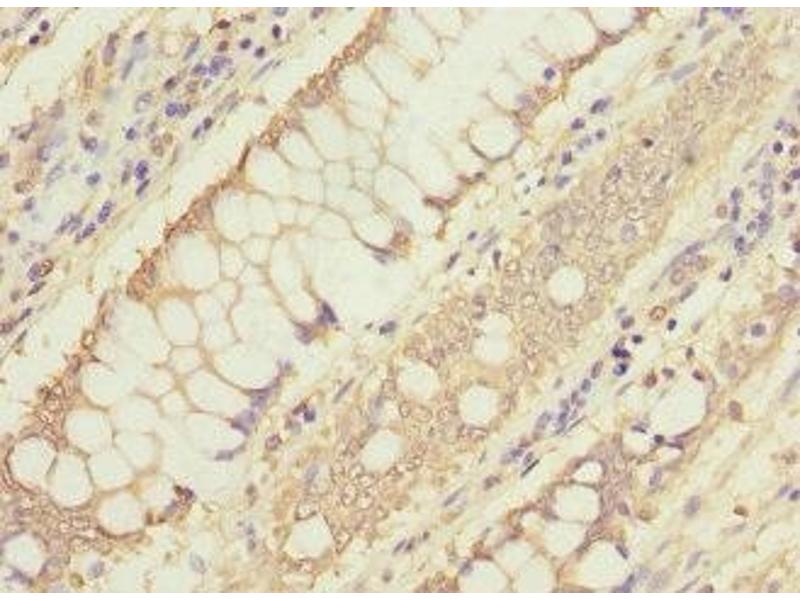
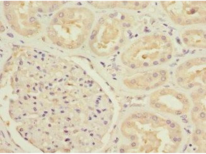
MTHFD1L antibody (AA 759-978)
Quick Overview for MTHFD1L antibody (AA 759-978) (ABIN7160191)
Target
See all MTHFD1L AntibodiesReactivity
Host
Clonality
Conjugate
Application
-
-
Binding Specificity
- AA 759-978
-
Purpose
- MTHFD1L Antibody
-
Purification
- Antigen Affinity Purified
-
Immunogen
- Recombinant Human Monofunctional C1-tetrahydrofolate synthase, mitochondrial protein (759-978AA)
-
Isotype
- IgG
-
-
-
-
Application Notes
- Optimal working dilution should be determined by the investigator.
-
Restrictions
- For Research Use only
-
-
-
Format
- Liquid
-
Buffer
- PBS with 0.02 % sodium azide, 50 % glycerol, pH 7.3.
-
Preservative
- Sodium azide
-
Precaution of Use
- This product contains Sodium azide: a POISONOUS AND HAZARDOUS SUBSTANCE which should be handled by trained staff only.
-
Storage
- -20 °C,-80 °C
-
Storage Comment
- Upon receipt, store at -20°C or -80°C. Avoid repeated freeze.
-
-
- MTHFD1L (Methylenetetrahydrofolate Dehydrogenase (NADP+ Dependent) 1-Like (MTHFD1L))
-
Alternative Name
- MTHFD1L
-
Background
-
Background: May provide the missing metabolic reaction required to link the mitochondria and the cytoplasm in the mammalian model of one-carbon folate metabolism in embryonic an transformed cells complementing thus the enzymatic activities of MTHFD2.
Aliases: 10-formyl-THF synthetase antibody, C1TM_HUMAN antibody, Formyltetrahydrofolate synthetase antibody, formyltetrahydrofolate synthetase domain containing 1 antibody, FTHFSDC1 antibody, methylenetetrahydrofolate dehydrogenase (NADP+ dependent) 1-like antibody, mitochondrial antibody, Monofunctional C1-tetrahydrofolate synthase antibody, MTC1THFS antibody, MTHFD1L antibody, RP1-292B18.2 antibody
-
UniProt
- Q6UB35
Target
-