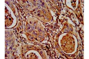
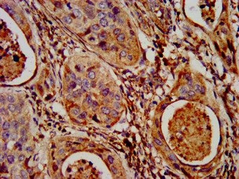
NLRP7 antibody (AA 89-187)
Quick Overview for NLRP7 antibody (AA 89-187) (ABIN7160835)
Target
See all NLRP7 AntibodiesReactivity
Host
Clonality
Conjugate
Application
-
-
Binding Specificity
- AA 89-187
-
Purpose
- NLRP7 Antibody
-
Purification
- Protein G purified
-
Purity
- >95 %
-
Immunogen
- Recombinant Human NACHT, LRR and PYD domains-containing protein 7 protein (89-187AA)
-
Isotype
- IgG
-
-
-
-
Application Notes
- Optimal working dilution should be determined by the investigator.
-
Restrictions
- For Research Use only
-
-
-
Format
- Liquid
-
Buffer
-
Preservative: 0.03 % Proclin 300
Constituents: 50 % Glycerol, 0.01M PBS, pH 7.4 -
Preservative
- ProClin
-
Precaution of Use
- This product contains ProClin: a POISONOUS AND HAZARDOUS SUBSTANCE which should be handled by trained staff only.
-
Storage
- -20 °C,-80 °C
-
Storage Comment
- Upon receipt, store at -20°C or -80°C. Avoid repeated freeze.
-
-
- NLRP7 (NLR Family, Pyrin Domain Containing 7 (NLRP7))
-
Alternative Name
- NLRP7
-
Background
-
Background: Inhibits CASP1/caspase-1-dependent IL1B secretion.
Aliases: CLR19.4 antibody, FLJ94610 antibody, HYDM antibody, MGC126470 antibody, MGC126471 antibody, NACHT, leucine rich repeat and PYD containing 7 antibody, NACHT, LRR and PYD containing protein 7 antibody, NACHT, LRR and PYD domains containing protein 7 antibody, NACHT, LRR and PYD domains-containing protein 7 antibody, NALP7 antibody, NALP7_HUMAN antibody, NLR family, pyrin domain containing 7 antibody, NLRP7 antibody, NOD12 antibody, Nucleotide-binding oligomerization domain protein 12 antibody, Nucleotide-binding oligomerization domain, leucine rich repeat and pyrin domain containing 7 antibody, PAN7 antibody, PYPAF3 antibody, PYRIN-containing APAF1-like protein 3 antibody
-
UniProt
- Q8WX94
-
Pathways
- Inflammasome
Target
-