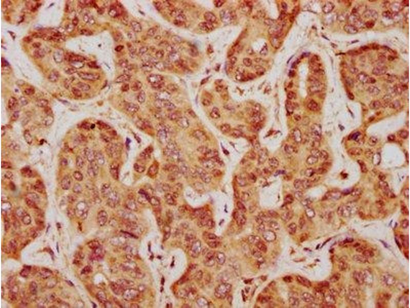
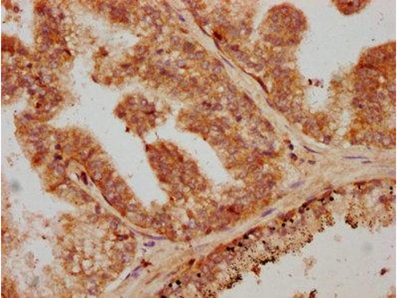
TGFB1 antibody (AA 281-390)
Quick Overview for TGFB1 antibody (AA 281-390) (ABIN7172814)
Target
See all TGFB1 AntibodiesReactivity
Host
Clonality
Conjugate
Application
-
-
Binding Specificity
- AA 281-390
-
Purpose
- TGFB1 Antibody
-
Purification
- Protein G purified
-
Purity
- >95 %
-
Immunogen
- Recombinant Human Transforming growth factor beta-1 proprotein protein (281-390AA)
-
Isotype
- IgG
-
-
-
-
Application Notes
- Optimal working dilution should be determined by the investigator.
-
Restrictions
- For Research Use only
-
-
-
Format
- Liquid
-
Buffer
-
Preservative: 0.03 % Proclin 300
Constituents: 50 % Glycerol, 0.01M PBS, PH 7.4 -
Preservative
- ProClin
-
Precaution of Use
- This product contains ProClin: a POISONOUS AND HAZARDOUS SUBSTANCE which should be handled by trained staff only.
-
Storage
- -20 °C,-80 °C
-
Storage Comment
- Upon receipt, store at -20°C or -80°C. Avoid repeated freeze.
-
-
- TGFB1 (Transforming Growth Factor, beta 1 (TGFB1))
-
Alternative Name
- TGFB1
-
Background
-
Background: Multifunctional protein that controls proliferation, differentiation and other functions in many cell types. Many cells synthesize TGFB1 and have specific receptors for it. It positively and negatively regulates many other growth factors. It plays an important role in bone remodeling as it is a potent stimulator of osteoblastic bone formation, causing chemotaxis, proliferation and differentiation in committed osteoblasts.
Aliases: Cartilage-inducing factor antibody, CED antibody, Differentiation inhibiting factor antibody, DPD1 antibody, LAP antibody, Latency-associated peptide antibody, Prepro transforming growth factor beta 1 antibody, TGF beta 1 antibody, TGF beta antibody, TGF beta 1 protein antibody, TGF-beta 1 protein antibody, TGF-beta-1 antibody, TGF-beta-5 antibody, TGF-beta1 antibody, TGFB antibody, Tgfb-1 antibody, tgfb1 antibody, TGFB1_HUMAN antibody, TGFbeta antibody, TGFbeta1 antibody, Transforming Growth Factor b1 antibody, Transforming Growth Factor beta 1 antibody, Transforming growth factor beta 1a antibody, transforming growth factor beta-1 antibody, transforming growth factor, beta 1 antibody, Transforming Growth Factor-1 antibody
-
UniProt
- P01137
-
Pathways
- EGFR Signaling Pathway, Dopaminergic Neurogenesis, Cellular Response to Molecule of Bacterial Origin, Glycosaminoglycan Metabolic Process, Regulation of Leukocyte Mediated Immunity, Regulation of Muscle Cell Differentiation, Positive Regulation of Immune Effector Process, Cell-Cell Junction Organization, Production of Molecular Mediator of Immune Response, Ribonucleoside Biosynthetic Process, Skeletal Muscle Fiber Development, Regulation of Carbohydrate Metabolic Process, Protein targeting to Nucleus, Autophagy, Cancer Immune Checkpoints
Target
-