Phone:
+1 877 302 8632
Fax:
+1 888 205 9894 (Toll-free)
E-Mail:
orders@antibodies-online.com

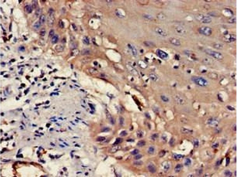
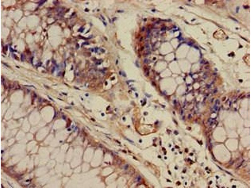
WASF1 antibody (AA 381-553)

The Rabbit Polyclonal anti-WASF1 antibody (ABIN7175830) specifically detects WASF1 in WB, ELISA and IHC. The antibody is reactive with Human samples.
Catalog No. ABIN7175830
$394.68
Plus shipping costs $50.00
Shipping to: United States
Delivery in 13 to 17 Business Days

Quick Overview for WASF1 antibody (AA 381-553) (ABIN7175830)

Target

See all WASF1 Antibodies
WASF1 (WAS Protein Family, Member 1 (WASF1))

Reactivity

  • 51
  • 20
  • 10
  • 1
Human

Host

  • 43
  • 8
  • 1
  • 1
Rabbit

Clonality

  • 43
  • 10
Polyclonal

Conjugate

  • 24
  • 3
  • 3
  • 2
  • 1
  • 1
  • 1
  • 1
  • 1
  • 1
  • 1
  • 1
  • 1
  • 1
  • 1
  • 1
  • 1
  • 1
  • 1
  • 1
  • 1
  • 1
  • 1
  • 1
  • 1
This WASF1 antibody is un-conjugated

Application

  • 37
  • 22
  • 21
  • 13
  • 13
  • 10
  • 7
  • 6
  • 3
  • 2
  • 1
  • 1
  • 1
Western Blotting (WB), ELISA, Immunohistochemistry (IHC)
  • Binding Specificity

    • 15
    • 14
    • 6
    • 5
    • 3
    • 2
    • 2
    • 1
    • 1
    • 1
    • 1
    AA 381-553

    Purpose

    WASF1 Antibody

    Cross-Reactivity

    Mouse, Rat

    Purification

    Protein G purified

    Purity

    >95 %

    Immunogen

    Recombinant Human Wiskott-Aldrich syndrome protein family member 1 protein (381-553AA)

    Isotype

    IgG
  • Application Notes

    Optimal working dilution should be determined by the investigator.

    Restrictions

    For Research Use only
  • Format

    Liquid

    Buffer

    Preservative: 0.03 % Proclin 300
    Constituents: 50 % Glycerol, 0.01M PBS, pH 7.4

    Preservative

    ProClin

    Precaution of Use

    This product contains ProClin: a POISONOUS AND HAZARDOUS SUBSTANCE which should be handled by trained staff only.

    Storage

    -20 °C,-80 °C

    Storage Comment

    Upon receipt, store at -20°C or -80°C. Avoid repeated freeze.
  • Target

    WASF1 (WAS Protein Family, Member 1 (WASF1))

    Alternative Name

    WASF1

    Background

    Background: Downstream effector molecule involved in the transmission of signals from tyrosine kinase receptors and small GTPases to the actin cytoskeleton. Promotes formation of actin filaments. Part of the WAVE complex that regulates lamellipodia formation. The WAVE complex regulates actin filament reorganization via its interaction with the Arp2/3 complex.

    Aliases: WASP family, verprolin homology domain-containing protein 1 antibody, WASP family member 1 antibody, FLJ31482 antibody, homology of dictyostelium scar 1 antibody, KIAA0269 antibody, Protein WAVE-1 antibody, Protein WAVE1 antibody, scar, Dictyostelium, homology of, 1 antibody, SCAR1 antibody, Similar to a plant extensin like protein antibody, Verprolin homology domain containing protein 1 antibody, Verprolin homology domain-containing protein 1 antibody, WAS protein family, member 1 antibody, Wasf1 antibody, WASF1_HUMAN antibody, WASL antibody, WASP family 1 antibody, WASP family protein member 1 antibody, WASP family, verprolin homology domain-containing protein antibody, WAVE antibody, WAVE1 antibody, Wiskott Aldrich syndrome protein family member 1 antibody, Wiskott-Aldrich syndrome protein family member 1 antibody

    UniProt

    Q92558

    Pathways

    RTK Signaling, Regulation of Actin Filament Polymerization
You are here:
Chat with us!