Phone:
+1 877 302 8632
Fax:
+1 888 205 9894 (Toll-free)
E-Mail:
orders@antibodies-online.com

HLA-DMB antibody

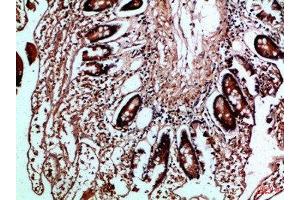
The Rabbit Polyclonal anti-HLA-DMB antibody (ABIN7189497) specifically detects HLA-DMB in ELISA and IHC. The antibody is reactive with Human samples.
Catalog No. ABIN7189497
$262.68
Plus shipping costs $50.00
Shipping to: United States
Delivery in 13 to 17 Business Days

Quick Overview for HLA-DMB antibody (ABIN7189497)

Target

See all HLA-DMB Antibodies
HLA-DMB (Major Histocompatibility Complex, Class II, DM beta (HLA-DMB))

Reactivity

  • 45
  • 1
Human

Host

  • 42
  • 3
Rabbit

Clonality

  • 30
  • 15
Polyclonal

Conjugate

  • 26
  • 3
  • 2
  • 2
  • 2
  • 2
  • 1
  • 1
  • 1
  • 1
  • 1
  • 1
  • 1
  • 1
This HLA-DMB antibody is un-conjugated

Application

  • 44
  • 21
  • 10
  • 5
  • 3
  • 3
  • 2
  • 1
  • 1
ELISA, Immunohistochemistry (IHC)
You are here:
Chat with us!