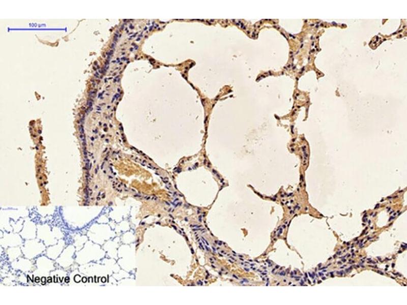
Caspase 9 antibody
Quick Overview for Caspase 9 antibody (ABIN7202071)
Target
See all Caspase 9 (CASP9) AntibodiesReactivity
Host
Clonality
Conjugate
Application
-
-
Purpose
- Mouse Anti-Caspase 9 Monoclonal Antibody
-
Specificity
- The antibody detects endogenous Caspase 9 protein.
-
Purification
- The antibody was affinity-purified from mouse ascites by affinity-chromatography using specific immunogen.
-
Immunogen
- Synthetic Peptide
-
Isotype
- IgG1
-
-
-
-
Application Notes
- Optimal working dilutions should be determined experimentally by the investigator. Suggested starting dilutions are as follows: WB 1:1000-5000,IP 1:200,IF 1:200,IHC 1:50-300
-
Restrictions
- For Research Use only
-
-
-
Format
- Liquid
-
Concentration
- 1 mg/mL
-
Buffer
- PBS, pH 7.4, containing 0.5 % BSA, 0.02 % sodium azide as Preservative and 50 % Glycerol.
-
Preservative
- Sodium azide
-
Precaution of Use
- This product contains Sodium azide: a POISONOUS AND HAZARDOUS SUBSTANCE which should be handled by trained staff only.
-
Storage
- -20 °C
-
Storage Comment
- Stable for one year at -20°C from date of shipment. For maximum recovery of product, centrifuge the original vial after thawing and prior to removing the cap. Aliquot to avoid repeated freezing and thawing.
-
Expiry Date
- 12 months
-
-
- Caspase 9 (CASP9) (Caspase 9, Apoptosis-Related Cysteine Peptidase (CASP9))
-
Alternative Name
- Caspase 9
-
Background
- CASP9, MCH6, Caspase-9, CASP-9, Apoptotic protease Mch-6, Apoptotic protease-activating factor 3, APAF-3, ICE-like apoptotic protease 6, ICE-LAP6CASP9 encodes a member of the cysteine-aspartic acid protease (caspase) family. Sequential activation of caspases plays a central role in the execution-phase of cell apoptosis. Caspases exist as inactive proenzymes which undergo proteolytic processing at conserved aspartic residues to produce two subunits, large and small, that dimerize to form the active enzyme. Caspase 9 can undergo autoproteolytic processing and activation by the apoptosome, a protein complex of cytochrome c and the apoptotic peptidase activating factor 1, this step is thought to be one of the earliest in the caspase activation cascade. Caspase 9 is thought to play a central role in apoptosis and to be a tumor suppressor. Alternative splicing results in multiple transcript variants.
-
Molecular Weight
- 46kD
-
Gene ID
- 842
-
UniProt
- P55211
-
Pathways
- MAPK Signaling, RTK Signaling, Apoptosis, Caspase Cascade in Apoptosis, Fc-epsilon Receptor Signaling Pathway, EGFR Signaling Pathway, Neurotrophin Signaling Pathway, Positive Regulation of Endopeptidase Activity
Target
-