Phone:
+1 877 302 8632
Fax:
+1 888 205 9894 (Toll-free)
E-Mail:
orders@antibodies-online.com

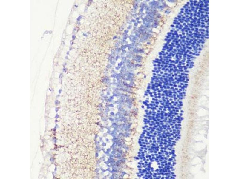
CRB1 antibody (AA 20-200)

The Rabbit Polyclonal anti-CRB1 antibody is suitable to detect CRB1 in samples from Human. It has been validated for WB and IHC.
Catalog No. ABIN7266524
$383.00
Plus shipping costs $50.00
Shipping to: United States
Delivery in 7 to 10 Business Days

Quick Overview for CRB1 antibody (AA 20-200) (ABIN7266524)

Target

See all CRB1 Antibodies
CRB1 (Crumbs Homolog 1 (CRB1))

Reactivity

  • 19
  • 1
  • 1
Human

Host

  • 18
  • 1
Rabbit

Clonality

  • 19
Polyclonal

Conjugate

  • 5
  • 1
  • 1
  • 1
  • 1
  • 1
  • 1
  • 1
  • 1
  • 1
  • 1
  • 1
  • 1
  • 1
  • 1
This CRB1 antibody is un-conjugated

Application

  • 13
  • 13
  • 6
  • 3
  • 3
  • 3
  • 2
  • 1
  • 1
  • 1
Western Blotting (WB), Immunohistochemistry (IHC)
  • Binding Specificity

    • 15
    • 1
    • 1
    • 1
    AA 20-200

    Purpose

    CRB1 Rabbit pAb

    Sequence

    IYIKNSFCNK NNTRCLSNSC QNNSTCKDFS KDNDCSCSDT ANNLDKDCDN MKDPCFSNPC QGSATCVNTP GERSFLCKCP PGYSGTICET TIGSCGKNSC QHGGICHQDP IYPVCICPAG YAGRFCEIDH DECASSPCQN GAVCQDGIDG YSCFCVPGYQ GRHCDLEVDE CASDPCKNEA T

    Cross-Reactivity

    Human, Mouse

    Characteristics

    Polyclonal Antibodies

    Purification

    Affinity purification

    Immunogen

    Recombinant fusion protein containing a sequence corresponding to amino acids 20-200 of human CRB1 (NP_957705.1).

    Isotype

    IgG
  • Application Notes

    WB,1:500 - 1:2000,IHC,1:50 - 1:200

    Restrictions

    For Research Use only
  • Format

    Liquid

    Buffer

    PBS with 0.02 % sodium azide,50 % glycerol, pH 7.3.

    Preservative

    Sodium azide

    Precaution of Use

    This product contains Sodium azide: a POISONOUS AND HAZARDOUS SUBSTANCE which should be handled by trained staff only.

    Storage

    -20 °C

    Storage Comment

    Store at -20°C. Avoid freeze / thaw cycles.
  • Target

    CRB1 (Crumbs Homolog 1 (CRB1))

    Alternative Name

    CRB1

    Background

    This gene encodes a protein which is similar to the Drosophila crumbs protein and localizes to the inner segment of mammalian photoreceptors. In Drosophila crumbs localizes to the stalk of the fly photoreceptor and may be a component of the molecular scaffold that controls proper development of polarity in the eye. Mutations in this gene are associated with a severe form of retinitis pigmentosa, RP12, and with Leber congenital amaurosis. Alternate splicing results in multiple transcript variants, some protein coding and some non-protein coding.,CRB1,LCA8,RP12,CRB1

    Molecular Weight

    95kDa/104kDa/142kDa/151kDa/154kDa

    Gene ID

    23418

    UniProt

    P82279

    Pathways

    Notch Signaling
You are here:
Chat with us!