Phone:
+1 877 302 8632
Fax:
+1 888 205 9894 (Toll-free)
E-Mail:
orders@antibodies-online.com

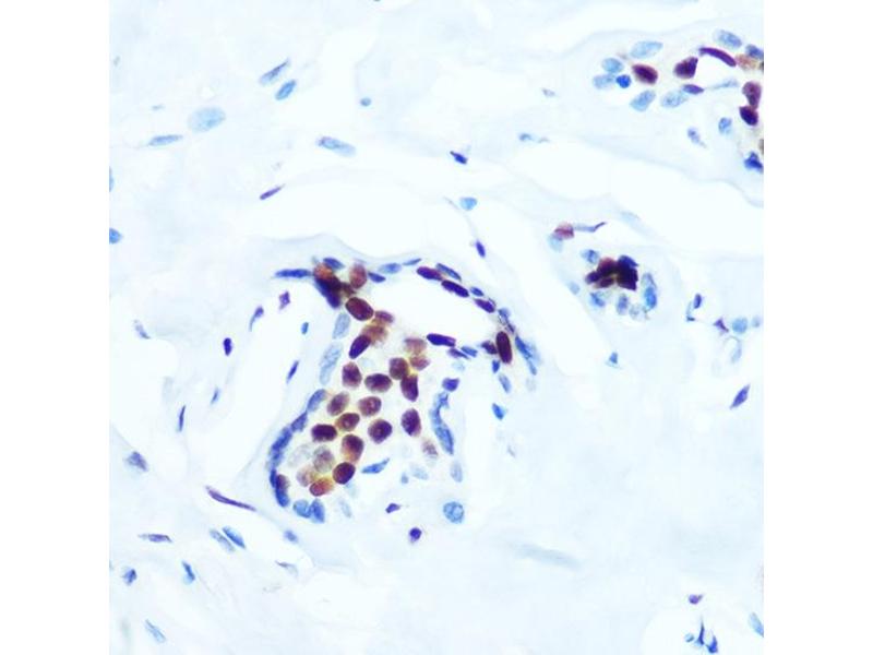
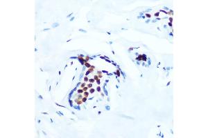
C-JUN antibody (pThr91)

The Rabbit Monoclonal anti-C-JUN antibody is suitable to detect C-JUN in samples from Human. It has been validated for WB and IHC.
Catalog No. ABIN7268057
$393.00
Plus shipping costs $50.00
Shipping to: United States
Delivery in 7 to 10 Business Days

Quick Overview for C-JUN antibody (pThr91) (ABIN7268057)

Target

See all C-JUN (JUN) Antibodies
C-JUN (JUN) (Jun Proto-Oncogene (JUN))

Reactivity

  • 420
  • 255
  • 244
  • 32
  • 26
  • 21
  • 18
  • 16
  • 16
  • 12
  • 12
  • 7
  • 5
  • 4
  • 3
  • 1
  • 1
Human

Host

  • 404
  • 27
  • 1
Rabbit

Clonality

  • 334
  • 98
Monoclonal

Conjugate

  • 195
  • 24
  • 16
  • 16
  • 16
  • 16
  • 16
  • 16
  • 10
  • 10
  • 10
  • 7
  • 7
  • 6
  • 6
  • 6
  • 6
  • 6
  • 6
  • 6
  • 6
  • 5
  • 5
  • 5
  • 3
  • 1
  • 1
  • 1
  • 1
  • 1
  • 1
  • 1
This C-JUN antibody is un-conjugated

Application

  • 299
  • 164
  • 113
  • 98
  • 79
  • 64
  • 59
  • 56
  • 50
  • 43
  • 23
  • 11
  • 11
  • 4
  • 3
  • 3
  • 2
  • 2
  • 1
  • 1
  • 1
Western Blotting (WB), Immunohistochemistry (IHC)
  • Binding Specificity

    • 62
    • 59
    • 40
    • 29
    • 22
    • 16
    • 16
    • 16
    • 11
    • 10
    • 8
    • 7
    • 7
    • 7
    • 6
    • 5
    • 4
    • 4
    • 4
    • 4
    • 4
    • 4
    • 3
    • 3
    • 3
    • 3
    • 3
    • 3
    • 2
    • 2
    • 2
    • 2
    • 2
    • 2
    • 2
    • 2
    • 2
    • 2
    • 2
    • 2
    • 2
    • 2
    • 1
    • 1
    • 1
    • 1
    • 1
    • 1
    • 1
    • 1
    pThr91

    Purpose

    Phospho-c-Jun-T91 Rabbit mAb

    Cross-Reactivity

    Human, Mouse, Rat

    Characteristics

    Phosphorylated Antibodies

    Purification

    Affinity purification

    Immunogen

    A phospho specific peptide corresponding to residues surrounding T91 of human c-Jun

    Isotype

    IgG
  • Application Notes

    WB,1:500 - 1:2000,IHC,1:50 - 1:200

    Restrictions

    For Research Use only
  • Format

    Liquid

    Buffer

    PBS with 0.02 % sodium azide,0.05 % BSA,50 % glycerol, pH 7.3.

    Preservative

    Sodium azide

    Precaution of Use

    This product contains Sodium azide: a POISONOUS AND HAZARDOUS SUBSTANCE which should be handled by trained staff only.

    Storage

    -20 °C

    Storage Comment

    Store at -20°C. Avoid freeze / thaw cycles.
  • Target

    C-JUN (JUN) (Jun Proto-Oncogene (JUN))

    Alternative Name

    JUN

    Background

    This gene is the putative transforming gene of avian sarcoma virus 17. It encodes a protein which is highly similar to the viral protein, and which interacts directly with specific target DNA sequences to regulate gene expression. This gene is intronless and is mapped to 1p32-p31, a chromosomal region involved in both translocations and deletions in human malignancies. [provided by RefSeq, Jul 2008],AP-1, AP1, c-Jun,Apoptosis,B Cell Receptor Signaling Pathway,Cancer,Cell Biology & Developmental Biology,Cell Intrinsic Innate Immunity Signaling Pathway,Epigenetics & Nuclear Signaling,ErbB-HER Signaling Pathway,Immunology & Inflammation,Innate Immunity_TLR Signaling,MAPK-JNK Signaling Pathway,Protein phosphorylation,Signal Transduction,T Cell Receptor Signaling Pathway,Toll-like Receptor Signaling Pathway,Transcription Factors,JUN

    Molecular Weight

    43kDa

    Gene ID

    3725

    UniProt

    P05412

    Pathways

    MAPK Signaling, RTK Signaling, WNT Signaling, Fc-epsilon Receptor Signaling Pathway, Activation of Innate immune Response, Myometrial Relaxation and Contraction, Skeletal Muscle Fiber Development, Protein targeting to Nucleus, Toll-Like Receptors Cascades, Autophagy, Signaling of Hepatocyte Growth Factor Receptor, BCR Signaling, S100 Proteins
You are here:
Chat with us!