Phone:
+1 877 302 8632
Fax:
+1 888 205 9894 (Toll-free)
E-Mail:
orders@antibodies-online.com

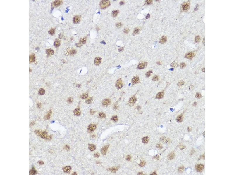
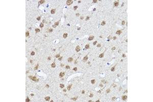
Myocardin antibody (AA 650-750)

The Rabbit Polyclonal anti-Myocardin antibody (ABIN7268730) specifically detects Myocardin in WB and IHC. The antibody is reactive with Human samples.
Catalog No. ABIN7268730
$383.00
Plus shipping costs $50.00
Shipping to: United States
Delivery in 7 to 10 Business Days

Quick Overview for Myocardin antibody (AA 650-750) (ABIN7268730)

Target

See all Myocardin (MYOCD) Antibodies
Myocardin (MYOCD)

Reactivity

  • 13
  • 12
  • 9
  • 2
  • 2
  • 2
  • 2
  • 2
  • 1
  • 1
  • 1
Human

Host

  • 15
  • 1
Rabbit

Clonality

  • 15
  • 1
Polyclonal

Conjugate

  • 16
This Myocardin antibody is un-conjugated

Application

  • 14
  • 5
  • 3
  • 1
  • 1
  • 1
  • 1
Western Blotting (WB), Immunohistochemistry (IHC)
  • Binding Specificity

    • 2
    • 2
    • 2
    • 2
    • 1
    • 1
    • 1
    • 1
    • 1
    AA 650-750

    Purpose

    MYOCD Rabbit pAb

    Sequence

    SLPPSPNNPH FLPSSSGAQG EGHRVSSPIS SQVCTAQMAG LHSSDKVGPK FSIPSPTFSK SSSAISEVTQ PPSYEDAVKQ QMTRSQQMDE LLDVLIESGE M

    Cross-Reactivity

    Human, Rat

    Characteristics

    Polyclonal Antibodies

    Purification

    Affinity purification

    Immunogen

    A synthetic peptide corresponding to a sequence within amino acids 650-750 of human MYOCD (NP_705832.1).

    Isotype

    IgG
  • Application Notes

    WB,1:500 - 1:2000,IHC,1:50 - 1:200

    Restrictions

    For Research Use only
  • Format

    Liquid

    Buffer

    PBS with 0.02 % sodium azide,50 % glycerol, pH 7.3.

    Preservative

    Sodium azide

    Precaution of Use

    This product contains Sodium azide: a POISONOUS AND HAZARDOUS SUBSTANCE which should be handled by trained staff only.

    Storage

    -20 °C

    Storage Comment

    Store at -20°C. Avoid freeze / thaw cycles.
  • Target

    Myocardin (MYOCD)

    Alternative Name

    MYOCD

    Background

    This gene encodes a nuclear protein, which is expressed in heart, aorta, and in smooth muscle cell-containing tissues. It functions as a transcriptional co-activator of serum response factor (SRF) and modulates expression of cardiac and smooth muscle-specific SRF-target genes, and thus may play a crucial role in cardiogenesis and differentiation of the smooth muscle cell lineage. Alternatively spliced transcript variants encoding different isoforms have been found for this gene.,MYOCD,MYCD,myocardin,Epigenetics & Nuclear Signaling,Transcription Factors,Cardiovascular,Heart,Cardiogenesis,MYOCD

    Molecular Weight

    73kDa/101kDa/106kDa

    Gene ID

    93649

    UniProt

    Q8IZQ8

    Pathways

    Regulation of Muscle Cell Differentiation, Skeletal Muscle Fiber Development
You are here:
Chat with us!