Recombinant UCHL1 antibody (full length)
Quick Overview for Recombinant UCHL1 antibody (full length) (ABIN7470661)
Target
See all UCHL1 AntibodiesAntibody Type
Reactivity
Host
Clonality
Conjugate
Application
Clone
-
-
Binding Specificity
- full length
-
Purpose
- PGP9.5 / UCHL1 antibody (905R)
-
Immunogen
- Recombinant full-length human UCHL1 protein
-
Isotype
- IgG
-
-
-
-
Application Notes
- IHC 1:100-1:200
-
Comment
-
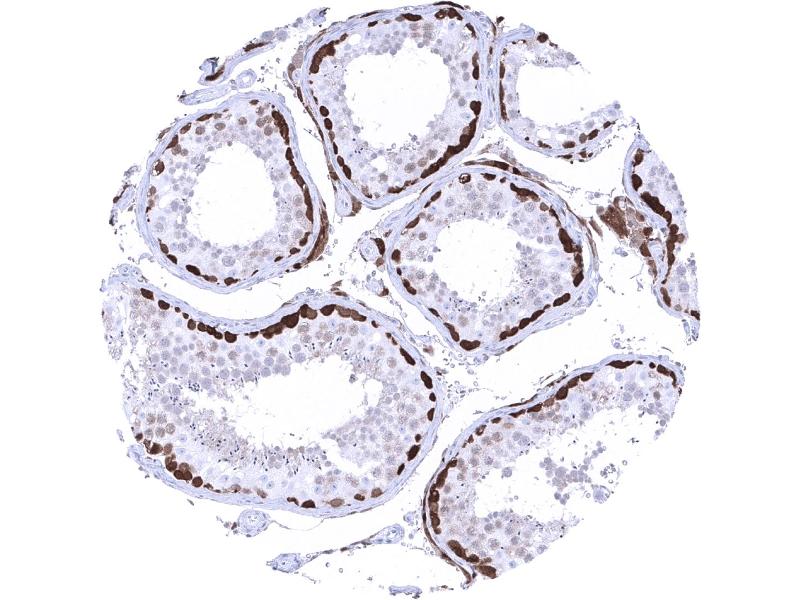
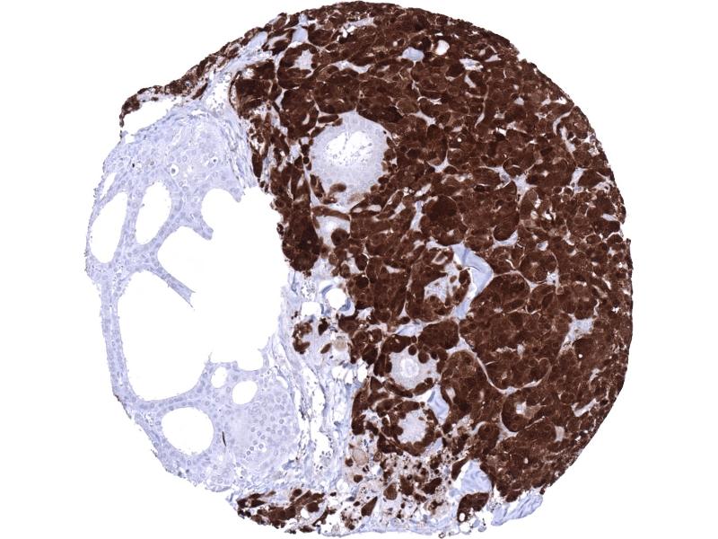
Positive Control: Pancreas: Islets cells and interspersed nerve fibres should show strong PGP9.5 staining.
Product Description: PGP9.5 / UCHL1 antibody validated for immunohistochemistry on 76 different Normal Tissues
Negative Control: Pancreas: Acinar cells and excretory ducts should not show any PGP9.5 immunostaining.
-
Protocol
- Freshly cut sections should be used (less than 10 days between cutting and staining). Heat-induced antigen retrieval for 5 minutes in an autoclave at 121 °C in pH 7,8 Target Retrieval Solution buffer. Apply the antibody at a dilution of 1:150 at 37 °C for 60 minutes.
-
Restrictions
- For Research Use only
-
-
-
Format
- Liquid
-
Storage
- 4 °C,-20 °C,-80 °C
-
Storage Comment
- Antibody with azide - store at 2 to 8 °C. Antibody without azide - store at -20 to -80 ° C. Antibody is stable for 24 months. Non- hazardous.
-
Expiry Date
- 24 months
-
-
- UCHL1 (Ubiquitin Carboxyl-terminal Esterase L1 (Ubiquitin Thiolesterase) (UCHL1))
-
Alternative Name
- PGP9.5 / UCHL1
-
Background
- Gene Alias: Gracile Axonal Dystrophy, Neuron Cytoplasmic Protein 9.5, Park5, Parkinson Disease 5, PGP95, Protein Gene Product 9.5, Ubiquitin Carboxyl-terminal Esterase L1, Ubiquitin Carboxyl- terminal Hydrolase Isozyme L1, Ubiquitin Thioesterase L1, Ubiquitin Thiolesterase L3
-
UniProt
- P09936
-
Pathways
- Feeding Behaviour
Target
-