Phone:
+1 877 302 8632
Fax:
+1 888 205 9894 (Toll-free)
E-Mail:
orders@antibodies-online.com

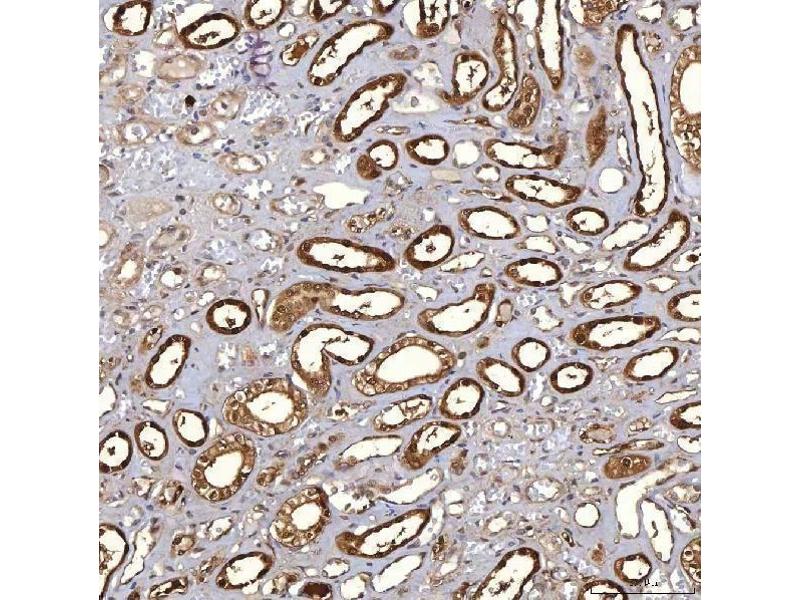
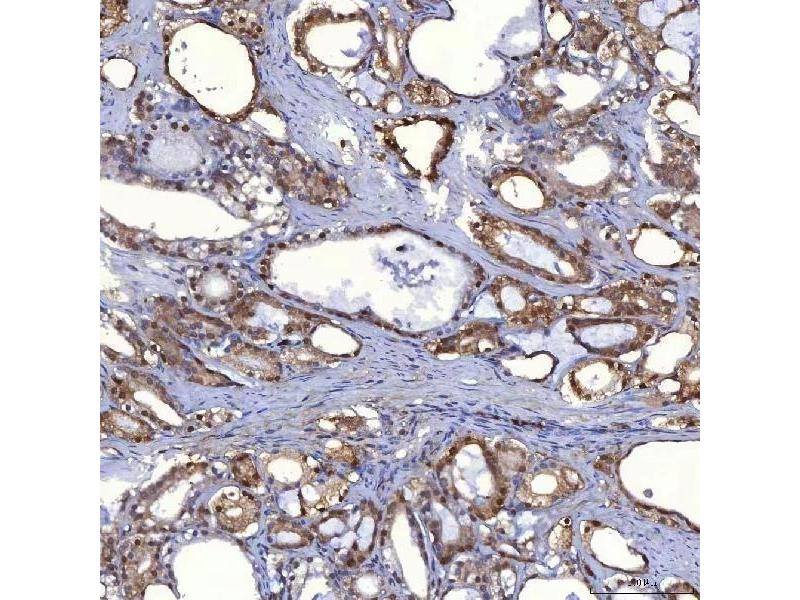
TP53I3 antibody (AA 1-332)

This Rabbit Polyclonal antibody specifically detects TP53I3 in WB, ELISA and IHC. It exhibits reactivity toward Human.
Catalog No. ABIN7599280
$370.00
Plus shipping costs $50.00
100 μg
Shipping to: United States
Delivery in 4 to 7 Business Days

Quick Overview for TP53I3 antibody (AA 1-332) (ABIN7599280)

Target

See all TP53I3 Antibodies
TP53I3 (Tumor Protein P53 Inducible Protein 3 (TP53I3))

Reactivity

  • 36
  • 2
  • 2
  • 1
  • 1
  • 1
  • 1
  • 1
  • 1
Human

Host

  • 27
  • 9
Rabbit

Clonality

  • 29
  • 7
Polyclonal

Conjugate

  • 24
  • 2
  • 1
  • 1
  • 1
  • 1
  • 1
  • 1
  • 1
  • 1
  • 1
  • 1
This TP53I3 antibody is un-conjugated

Application

  • 28
  • 13
  • 4
  • 4
  • 3
  • 2
  • 2
  • 1
Western Blotting (WB), ELISA, Immunohistochemistry (IHC)
  • Binding Specificity

    • 7
    • 7
    • 2
    • 1
    • 1
    • 1
    • 1
    • 1
    • 1
    • 1
    AA 1-332

    Purpose

    Anti-PIG3/TP53I3 Antibody

    Cross-Reactivity (Details)

    No cross-reactivity with other proteins.

    Characteristics

    Anti-PIG3/TP53I3 Antibody (ABIN7599280). Tested in ELISA, IHC, WB applications. This antibody reacts with Human. This is a premium antibody that guarantees superior quality, high affinity, and strong signals with minimal background in Western blot applications.

    Purification

    Immunogen affinity purified.

    Immunogen

    E.coli-derived human PIG3/TP53I3 recombinant protein (Position: M1-Q332).

    Isotype

    IgG
  • Application Notes

    Western blot, 0.1-0.25 μg/mL, Human
    Immunohistochemistry(Paraffin-embedded Section), 1-2 μg/mL, Human
    ELISA, 0.1-0.5 μg/mL, -

    Restrictions

    For Research Use only
  • Format

    Lyophilized

    Reconstitution

    Adding 0.2 mL of distilled water will yield a concentration of 500 μg/mL.

    Concentration

    500 μg/mL

    Buffer

    Each vial contains 4 mg Trehalose, 0.9 mg NaCl, 0.2 mg Na2HPO4.

    Storage

    4 °C,-20 °C

    Storage Comment

    At -20°C for one year from date of receipt. After reconstitution, at 4°C for one month.
    It can also be aliquotted and stored frozen at -20°C for six months. Avoid repeated freezing and thawing.
  • Target

    TP53I3 (Tumor Protein P53 Inducible Protein 3 (TP53I3))

    Alternative Name

    TP53I3

    Background

    Synonyms: Angiomotin-like protein 2, Leman coiled-coil protein, LCCP, AMOTL2, KIAA0989

    Background: Putative quinone oxidoreductase is an enzyme that in humans is encoded by the TP53I3 gene. The protein encoded by this gene is similar to oxidoreductases, which are enzymes involved in cellular responses to oxidative stresses and irradiation. This gene is induced by the tumor suppressor p53 and is thought to be involved in p53-mediated cell death. It contains a p53 consensus binding site in its promoter region and a downstream pentanucleotide microsatellite sequence. P53 has been shown to transcriptionally activate this gene by interacting with the downstream pentanucleotide microsatellite sequence. The microsatellite is polymorphic, with a varying number of pentanucleotide repeats ly correlated with the extent of transcriptional activation by p53. It has been suggested that the microsatellite polymorphism may be associated with differential susceptibility to cancer. Alternatively spliced transcript variants encoding different isoforms have been found for this gene.

    Molecular Weight

    36 kDa

    Gene ID

    9540

    Pathways

    p53 Signaling
You are here:
Chat with us!