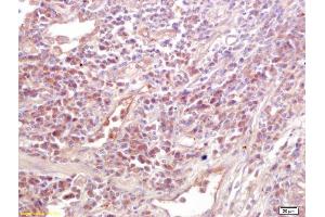
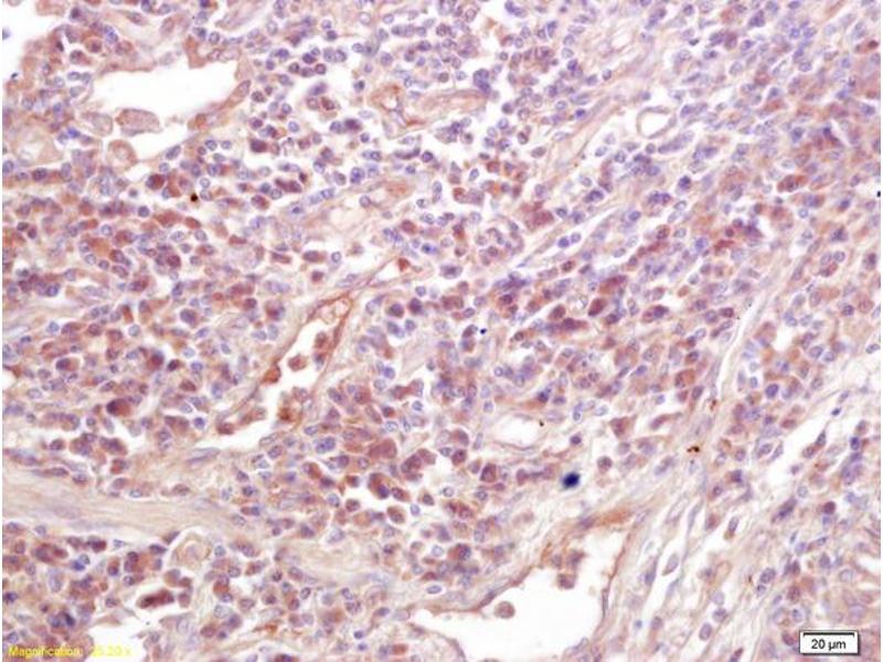
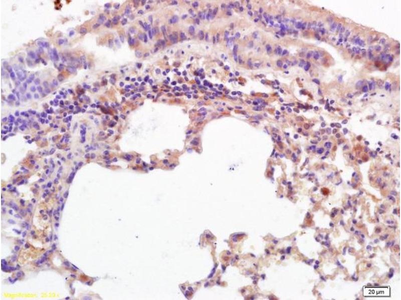
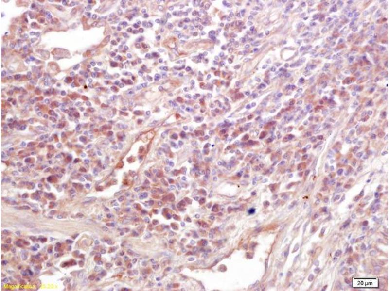
MICA antibody (AA 120-170)
Quick Overview for MICA antibody (AA 120-170) (ABIN728788)
Target
See all MICA AntibodiesReactivity
Host
Clonality
Conjugate
Application
-
-
Binding Specificity
- AA 120-170
-
Cross-Reactivity
- Human
-
Purification
- Purified by Protein A.
-
Immunogen
- KLH conjugated synthetic peptide derived from human MICA
-
Isotype
- IgG
-
-
-
-
Application Notes
-
WB 1:100-1000
IHC-P 1:100-500
IF(IHC-P) 1:50-200 -
Restrictions
- For Research Use only
-
-
-
Format
- Liquid
-
Concentration
- 1 μg/μL
-
Buffer
- Aqueous buffered solution containing 1 % BSA, 50 % glycerol and 0.09 % sodium azide.
-
Preservative
- Sodium azide
-
Precaution of Use
- This product contains Sodium azide: a POISONOUS AND HAZARDOUS SUBSTANCE, which should be handled by trained staff only.
-
Storage
- -20 °C
-
Storage Comment
- Store at -20°C for 12 months.
-
Expiry Date
- 12 months
-
-
-
: "Scorpion venom activates natural killer cells in hepatocellular carcinoma via the NKG2D-MICA pathway." in: International immunopharmacology, Vol. 35, pp. 307-14, (2016) (PubMed).
-
-
- MICA (MHC Class I Polypeptide-Related Sequence A (MICA))
-
Alternative Name
- MICA
-
Background
-
Synonyms: MIC-A, PERB11.1, MHC class I polypeptide-related sequence A, MICA
Background: Seems to have no role in antigen presentation. Acts as a stress-induced self-antigen that is recognized by gamma delta T-cells. Ligand for the KLRK1/NKG2D receptor. Binding to KLRK1 leads to cell lysis.
-
Gene ID
- 100507436
-
UniProt
- Q29983
-
Pathways
- Activation of Innate immune Response, Transition Metal Ion Homeostasis, Human Leukocyte Antigen (HLA) in Adaptive Immune Response
Target
-