ErbB2/Her2 antibody
Quick Overview for ErbB2/Her2 antibody (ABIN7800157)
Target
See all ErbB2/Her2 AntibodiesReactivity
Host
Clonality
Conjugate
Application
Grade
Clone
-
-
Purpose
- KD-Validated ERBB2 Mouse mAb
-
Cross-Reactivity
- Mouse, Rat
-
Purification
- Affinity Purified
-
Immunogen
- Recombinant protein of human ERBB2
-
Isotype
- IgG2a
-
-
-
-
Application Notes
- Western Blotting (WB):1:2,500-1:5,000, Flow Cytometry (FCM): 1:200-1:2,000
-
Comment
-
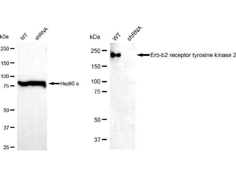
We assess the antibodies’ specificity and selectivity using knockdown techniques. Our validation approach is straightforward: if an antibody identifies a signal in wild-type (WT) cells, but this signal is absent or noticeably reduced in gene-silenced (KD) cells, we consider the antibody to be highly specific.
-
Restrictions
- For Research Use only
-
-
-
Format
- Liquid
-
Buffer
- PBS (pH 7.4) containing 50% glycerol and 0.02% sodium azide.
-
Preservative
- Sodium azide
-
Precaution of Use
- This product contains Sodium azide: a POISONOUS AND HAZARDOUS SUBSTANCE which should be handled by trained staff only.
-
Storage
- -20 °C
-
Storage Comment
- Store at -20 °C for one year.
-
Expiry Date
- 12 months
-
-
- ErbB2/Her2 (Receptor tyrosine-protein kinase erbB-2 (ErbB2/Her2))
-
Alternative Name
- ERBB2
-
Molecular Weight
- 138 kDa
-
Gene ID
- 2064
-
UniProt
- P04626
-
Pathways
- RTK Signaling, Fc-epsilon Receptor Signaling Pathway, EGFR Signaling Pathway, Neurotrophin Signaling Pathway, Skeletal Muscle Fiber Development
Target
-