Topoisomerase II alpha antibody
Quick Overview for Topoisomerase II alpha antibody (ABIN7800573)
Target
See all Topoisomerase II alpha (TOP2A) AntibodiesReactivity
Host
Clonality
Conjugate
Application
Grade
-
-
Purpose
- KD-Validated TOP2A Rabbit pAb
-
Cross-Reactivity
- Rat
-
Purification
- Affinity Purified
-
Immunogen
- A synthesized peptide derived from human Topoisomerase 2 alpha
-
Isotype
- IgG
-
-
-
-
Application Notes
- Western Blotting (WB): 1:500-1:2,500
-
Comment
-
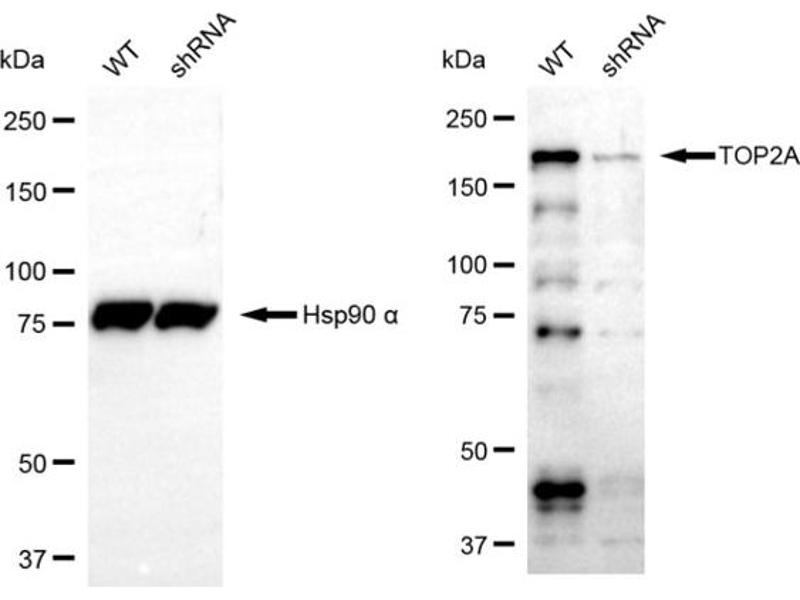
We assess the antibodies’ specificity and selectivity using knockdown techniques. Our validation approach is straightforward: if an antibody identifies a signal in wild-type (WT) cells, but this signal is absent or noticeably reduced in gene-silenced (KD) cells, we consider the antibody to be highly specific.
-
Restrictions
- For Research Use only
-
-
-
Format
- Liquid
-
Buffer
- PBS (pH 7.4) containing 50% glycerol and 0.02% sodium azide.
-
Preservative
- Sodium azide
-
Precaution of Use
- This product contains Sodium azide: a POISONOUS AND HAZARDOUS SUBSTANCE which should be handled by trained staff only.
-
Storage
- -20 °C
-
Storage Comment
- Store at -20 °C for one year.
-
Expiry Date
- 12 months
-
-
- Topoisomerase II alpha (TOP2A) (Topoisomerase (DNA) II alpha 170kDa (TOP2A))
-
Alternative Name
- TOP2A
-
Molecular Weight
- 174 kDa
-
Gene ID
- 7153
-
UniProt
- P11388
-
Pathways
- Cell Division Cycle, Mitotic G1-G1/S Phases
Target
-