Phone:
+1 877 302 8632
Fax:
+1 888 205 9894 (Toll-free)
E-Mail:
orders@antibodies-online.com

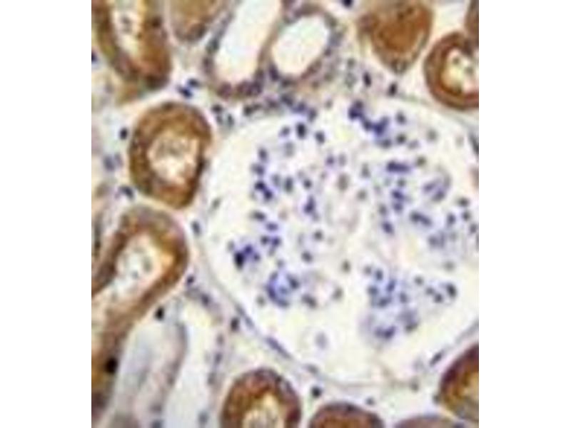
Osteopontin antibody (N-Term)

The Rabbit Polyclonal anti-Osteopontin antibody is suitable to detect Osteopontin in samples from Human. It has been validated for WB, IF, IHC (p) and EIA.
Catalog No. ABIN953945
$768.00
Plus shipping costs $50.00
0.4 mL
Shipping to: United States
Delivery in 1 to 2 Business Days

Quick Overview for Osteopontin antibody (N-Term) (ABIN953945)

Target

See all Osteopontin (SPP1) Antibodies
Osteopontin (SPP1) (Secreted phosphoprotein 1 (SPP1))

Reactivity

  • 164
  • 76
  • 76
  • 11
  • 9
  • 7
  • 6
  • 4
  • 4
  • 4
  • 2
  • 2
  • 1
  • 1
  • 1
  • 1
  • 1
Human

Host

  • 133
  • 63
  • 4
  • 3
  • 2
  • 2
  • 2
Rabbit

Clonality

  • 121
  • 82
Polyclonal

Conjugate

  • 103
  • 14
  • 14
  • 8
  • 8
  • 6
  • 3
  • 3
  • 3
  • 3
  • 3
  • 3
  • 3
  • 3
  • 3
  • 3
  • 3
  • 3
  • 3
  • 3
  • 3
  • 3
  • 3
  • 2
  • 1
  • 1
  • 1
This Osteopontin antibody is un-conjugated

Application

  • 163
  • 75
  • 66
  • 40
  • 39
  • 37
  • 32
  • 30
  • 22
  • 22
  • 9
  • 7
  • 3
  • 3
  • 2
  • 2
  • 2
  • 1
  • 1
  • 1
Western Blotting (WB), Immunofluorescence (IF), Immunohistochemistry (Paraffin-embedded Sections) (IHC (p)), Enzyme Immunoassay (EIA)
  • Binding Specificity

    • 15
    • 15
    • 15
    • 12
    • 11
    • 7
    • 6
    • 5
    • 5
    • 5
    • 4
    • 3
    • 3
    • 3
    • 2
    • 2
    • 2
    • 2
    • 2
    • 2
    • 2
    • 2
    • 1
    • 1
    • 1
    • 1
    • 1
    • 1
    • 1
    • 1
    • 1
    • 1
    • 1
    AA 21-48, N-Term

    Specificity

    This antibody recognizes Human Osteopontin (OPN-a/b) (N-term).

    Purification

    Protein A column, followed by peptide affinity purification

    Immunogen

    KLH conjugated synthetic peptide between 21-48 amino acids from the N-terminal region of Human Osteopontin (OPN-a/b) Genename: SPP1

    Isotype

    Ig Fraction
  • Application Notes

    Optimal working dilution should be determined by the investigator.

    Restrictions

    For Research Use only
  • Format

    Liquid

    Concentration

    0.25 mg/mL

    Buffer

    PBS containing 0.09 % (W/V) Sodium Azide as preservative

    Preservative

    Sodium azide

    Precaution of Use

    This product contains sodium azide: a POISONOUS AND HAZARDOUS SUBSTANCE which should be handled by trained staff only.

    Handling Advice

    Avoid repeated freezing and thawing.

    Storage

    4 °C/-20 °C

    Storage Comment

    Store undiluted at 2-8 °C for one month or (in aliquots) at -20 °C for longer.
  • Target

    Osteopontin (SPP1) (Secreted phosphoprotein 1 (SPP1))

    Alternative Name

    Osteopontin / SPP1

    Background

    Binds tightly to hydroxyapatite. Appears to form an integral part of the mineralized matrix. Probably important to cell-matrix interaction. Acts as a cytokine involved in enhancing production of interferon-gamma and interleukin-12 and reducing production of interleukin-10 and is essential in the pathway that leads to type I immunity (By similarity).Synonyms: BNSP, Bone Sialoprotein 1, Nephropontin, OPN, SPP-1, Secreted Phosphoprotein 1, Urinary Stone Protein, Uropontin

    Molecular Weight

    35423 Da

    Gene ID

    6696

    NCBI Accession

    NP_000573

    Pathways

    Regulation of Cell Size
You are here:
Chat with us!