Phone:
+1 877 302 8632
Fax:
+1 888 205 9894 (Toll-free)
E-Mail:
orders@antibodies-online.com

H2AFX antibody (pSer139)

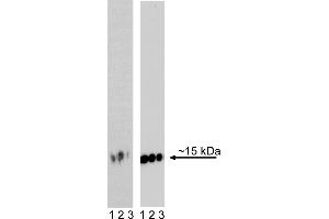
This Mouse Monoclonal antibody specifically detects H2AFX in WB and BI. It exhibits reactivity toward Human and Mouse. It has been mentioned in 5+ publications
Catalog No. ABIN967669
Shipping to: United States
Contact our Customer Service for availability and price in your country. Contact Info

Quick Overview for H2AFX antibody (pSer139) (ABIN967669)

Target

See all H2AFX Antibodies
H2AFX (H2A Histone Family, Member X (H2AFX))

Reactivity

  • 204
  • 104
  • 90
  • 25
  • 25
  • 19
  • 15
  • 11
  • 8
  • 2
  • 2
  • 2
  • 2
  • 1
  • 1
  • 1
Human, Mouse

Host

  • 181
  • 23
  • 2
  • 2
Mouse

Clonality

  • 121
  • 87
Monoclonal

Conjugate

  • 123
  • 10
  • 6
  • 6
  • 6
  • 6
  • 6
  • 6
  • 5
  • 4
  • 4
  • 3
  • 2
  • 2
  • 2
  • 2
  • 2
  • 2
  • 2
  • 2
  • 2
  • 2
  • 1
  • 1
  • 1
This H2AFX antibody is un-conjugated

Application

  • 175
  • 89
  • 71
  • 55
  • 45
  • 32
  • 31
  • 27
  • 25
  • 16
  • 8
  • 4
  • 4
  • 3
  • 2
  • 2
  • 2
  • 2
  • 1
  • 1
Western Blotting (WB), BioImaging (BI)

Clone

N1-431
  • Binding Specificity

    • 42
    • 21
    • 18
    • 9
    • 5
    • 5
    • 5
    • 5
    • 3
    • 3
    • 3
    • 3
    • 3
    • 2
    • 2
    • 2
    • 2
    • 2
    • 2
    • 1
    • 1
    • 1
    • 1
    • 1
    • 1
    • 1
    • 1
    • 1
    • 1
    • 1
    • 1
    • 1
    • 1
    • 1
    • 1
    • 1
    • 1
    • 1
    • 1
    • 1
    • 1
    • 1
    • 1
    pSer139

    Cross-Reactivity

    Mouse (Murine)

    Characteristics

    1. Caution: Sodium azide yields highly toxic hydrazoic acid under acidic conditions. Dilute azide compounds in running water before discarding to avoid accumulation of potentially explosive deposits in plumbing.
    2. Triton is a trademark of the Dow Chemical Company.
    3. Alexa Fluor® is a registered trademark of Molecular Probes, Inc., Eugene, OR.
    4. Please refer to us for technical protocols.

    Purification

    The monoclonal antibody was purified from tissue culture supernatant or ascites by affinity chromatography.

    Immunogen

    Phosphorylated Human H2AX Peptide

    Isotype

    IgG1 kappa
  • Application Notes

    Recommended Assay Procedure for Bioimaging:
    1. Seed the cells in appropriate culture medium at an appropriate cell density in an 96-well Imaging Plate , and culture overnight to 48 hours.
    2. Remove the culture medium from the wells, and wash (one to two times) with 100 myl of 1× PBS.
    3. Fix the cells by adding 100 µl of fresh 3.7% Formaldehyde in PBS or fixation buffer to each well and incubating for 10 minutes at room temperature (RT).
    4. Remove the fixative from the wells, and wash the wells (one to two times) with 100 myl of 1× PBS.
    5. Permeabilize the cells using either cold methanol (a), Triton™ X-100 (b), or Saponin (c): a. Add 100 µl of -20°C 90% methanol to each well and incubate for 5 minutes at RT. b. Add 100 µl of 0.1% Triton™ X-100 to each well and incubate for 5 minutes at RT. c. Add 100 µl of 1× Perm/Wash buffer to each well and incubate for 15 to 30 minutes at RT. Continue to use 1× Perm/Wash buffer for all subsequent wash and dilutions steps.
    6. Remove the permeabilization buffer from the wells, and wash one to two times with 100 myl of appropriate buffer (either 1× PBS or 1× Perm/Wash buffer, see step 5.c.).
    7. Optional blocking step: Remove the wash buffers, and block the cells by adding 100 µl of blocking buffer or 3% FBS in appropriate dilution buffer to each well and incubating for 15 to 30 minutes at RT.
    8. Dilute the antibody to its optimal working concentration in appropriate dilution buffer. Titrate purified (unconjugated) antibodies and second-step reagents to determine the optimal concentration. If using a Bioimaging Certified antibody conjugate, dilute it 1:10.
    9. Add 50 µl of diluted antibody per well and incubate for 60 minutes at RT. Incubate in the dark if using fluorescently labeled antibodies.
    10. Remove the antibody, and wash the wells three times with 100 myl of wash buffer. An optional detergent wash (100 myl of 0.05% Tween in 1× PBS) can be included prior to the regular wash steps.
    11. If the antibody being used is fluorescently labeled, then move to step 12. Otherwise, if using a purified unlabeled antibody, repeat steps 8 to 10 with a fluorescently labeled second-step reagent to detect the purified antibody.
    12. After the final wash, counter-stain the nuclei by adding 100 ml of a 2 mg/ml solution of Hoechst 33342 in 1× PBS to each well at least 15 minutes before imaging.
    13. View and analyze the cells on an appropriate imaging instrument.

    Comment

    Related Products: ABIN967389

    Restrictions

    For Research Use only
  • Format

    Liquid

    Concentration

    0.5 mg/mL

    Buffer

    Aqueous buffered solution containing ≤0.09 % sodium azide.

    Preservative

    Sodium azide

    Precaution of Use

    This product contains Sodium azide: a POISONOUS AND HAZARDOUS SUBSTANCE which should be handled by trained staff only.

    Storage

    4 °C

    Storage Comment

    Store undiluted at 4°C.
  • Kuo, Yang: "Gamma-H2AX - a novel biomarker for DNA double-strand breaks." in: In vivo (Athens, Greece), Vol. 22, Issue 3, pp. 305-9, (2008) (PubMed).

    Fernandez-Capetillo, Lee, Nussenzweig, Nussenzweig: "H2AX: the histone guardian of the genome." in: DNA repair, Vol. 3, Issue 8-9, pp. 959-67, (2004) (PubMed).

    Burma, Chen, Murphy, Kurimasa, Chen: "ATM phosphorylates histone H2AX in response to DNA double-strand breaks." in: The Journal of biological chemistry, Vol. 276, Issue 45, pp. 42462-7, (2001) (PubMed).

    Rogakou, Nieves-Neira, Boon, Pommier, Bonner: "Initiation of DNA fragmentation during apoptosis induces phosphorylation of H2AX histone at serine 139." in: The Journal of biological chemistry, Vol. 275, Issue 13, pp. 9390-5, (2000) (PubMed).

    Rogakou, Pilch, Orr, Ivanova, Bonner: "DNA double-stranded breaks induce histone H2AX phosphorylation on serine 139." in: The Journal of biological chemistry, Vol. 273, Issue 10, pp. 5858-68, (1998) (PubMed).

  • Target

    H2AFX (H2A Histone Family, Member X (H2AFX))

    Alternative Name

    H2AX

    Background

    Histones are highly basic proteins that complex with DNA to form chromatin. The H2AX histone (~15 kDa calculated molecular weight) is a member of the H2A histone family whose members are components of nucleosomal histone octamers. Double-stranded breaks in DNA caused by replication errors, apoptosis, or other physiological processes (including, immunoglobulin and TCR gene recombinations) and DNA damage caused by ionizing radiation, UV light, or cytotoxic agents lead to phosphorylation of H2AX on serine 139. H2AX (pS139) is also referred to as H2AX (pS140) when the N-terminal methionine that is normally excised during posttranslational processing is included in amino acid sequence numbering. Kinases such as ataxia telangiectasia mutated (ATM) or ATM-Rad3-related (ATR) phosphorylate H2AX to induce its function. Phosphorylated H2AX (also termed, gamma-H2AX) functions to recruit and localize DNA repair proteins or cell cycle checkpoint factors to the DNA-damaged sites. In this way, phosphorylated H2AX promotes DNA repair and maintains genomic stability and thus helps prevent oncogenic transformations. Immunofluorescent staining and bioimaging analysis of cultured cells can be used to readily identify H2AX (pS139)-containing foci. As such, H2AX (pS139) immunofluorescence localization serves as a biomarker for nuclear sites of DNA damage (e.g., double-stranded DNA breaks) in affected cells.
    Synonyms: H2A.X, H2A/X, H2AFX, HIST5-2AX, gamma-H2AX, gamma-H2AX, H2AX (pS140)

    Pathways

    Telomere Maintenance, DNA Damage Repair, Positive Regulation of Response to DNA Damage Stimulus
You are here:
Chat with us!