Phone:
+1 877 302 8632
Fax:
+1 888 205 9894 (Toll-free)
E-Mail:
orders@antibodies-online.com

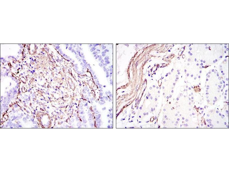
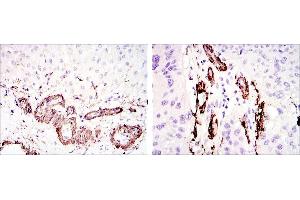
Smooth Muscle Actin antibody

Cited in 2+ publications. The Mouse Monoclonal anti-Smooth Muscle Actin antibody (Clone 4F4) (ABIN968946) specifically detects Smooth Muscle Actin in WB, IHC and ELISA. The antibody is reactive with Human and Monkey samples.
Catalog No. ABIN968946
$473.33
Plus shipping costs $50.00
100 μL
Shipping to: United States
Delivery in 3 to 5 Business Days

Quick Overview for Smooth Muscle Actin antibody (ABIN968946)

Target

See all Smooth Muscle Actin (ACTA2) Antibodies
Smooth Muscle Actin (ACTA2) (Actin, alpha 2, Smooth Muscle, Aorta (ACTA2))

Reactivity

  • 173
  • 122
  • 119
  • 33
  • 30
  • 25
  • 25
  • 17
  • 16
  • 16
  • 15
  • 15
  • 14
  • 14
  • 9
  • 7
  • 3
  • 1
Human, Monkey

Host

  • 93
  • 82
  • 1
  • 1
Mouse

Clonality

  • 130
  • 47
Monoclonal

Conjugate

  • 88
  • 10
  • 6
  • 6
  • 6
  • 6
  • 6
  • 6
  • 4
  • 3
  • 3
  • 3
  • 2
  • 2
  • 2
  • 2
  • 2
  • 2
  • 2
  • 2
  • 1
  • 1
  • 1
  • 1
  • 1
  • 1
  • 1
  • 1
  • 1
  • 1
  • 1
  • 1
  • 1
  • 1
This Smooth Muscle Actin antibody is un-conjugated

Application

  • 112
  • 83
  • 81
  • 66
  • 40
  • 30
  • 25
  • 23
  • 18
  • 17
  • 6
  • 3
  • 2
  • 2
  • 2
  • 1
  • 1
  • 1
Western Blotting (WB), Immunohistochemistry (IHC), ELISA

Clone

4F4
  • Purpose

    ACTA2 Antibody

    Purification

    Ascitic fluid

    Immunogen

    Purified recombinant fragment of human ACTA2 expressed in E. Coli.

    Isotype

    IgG1
  • Application Notes

    ELISA: 1/10000

    Restrictions

    For Research Use only
  • Format

    Liquid

    Buffer

    Ascitic fluid containing 0.03 % sodium azide.

    Preservative

    Sodium azide

    Precaution of Use

    This product contains Sodium azide: a POISONOUS AND HAZARDOUS SUBSTANCE which should be handled by trained staff only.

    Storage

    4 °C,-20 °C

    Storage Comment

    Store at 4°C short term. Aliquot and store at -20°C long term. Avoid freeze/thaw cycles.
  • Guo, Pannu, Tran-Fadulu, Papke, Yu, Avidan, Bourgeois, Estrera, Safi, Sparks, Amor, Ades, McConnell, Willoughby, Abuelo, Willing, Lewis, Kim, Scherer, Tung, Ahn, Buja, Raman, Shete, Milewicz: "Mutations in smooth muscle alpha-actin (ACTA2) lead to thoracic aortic aneurysms and dissections." in: Nature genetics, Vol. 39, Issue 12, pp. 1488-93, (2007) (PubMed).

    Salas, Bartoli, Deville, Gaudart, Fina, Calisti, Bollini, Curvale, Gentet, Duffaud, Figarella-Branger, Bouvier: "Ezrin and alpha-smooth muscle actin are immunohistochemical prognostic markers in conventional osteosarcomas." in: Virchows Archiv : an international journal of pathology, Vol. 451, Issue 6, pp. 999-1007, (2007) (PubMed).

  • Target

    Smooth Muscle Actin (ACTA2) (Actin, alpha 2, Smooth Muscle, Aorta (ACTA2))

    Alternative Name

    ACTA2

    Background

    Actin, alpha 2, smooth muscle, aorta, major constituent of thin filaments.

    Molecular Weight

    42 kDa

    Gene ID

    59

    UniProt

    P62736

    Pathways

    Myometrial Relaxation and Contraction, Skeletal Muscle Fiber Development
You are here:
Chat with us!