Phone:
+1 877 302 8632
Fax:
+1 888 205 9894 (Toll-free)
E-Mail:
orders@antibodies-online.com

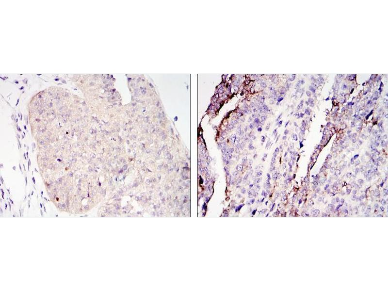
CRTC2 antibody

This Mouse Monoclonal antibody specifically detects CRTC2 in WB, ELISA, IHC, FACS and ICC. It exhibits reactivity toward Human and Monkey. It has been mentioned in 3+ publications
Catalog No. ABIN969067
$430.40
Plus shipping costs $50.00
100 μL
Shipping to: United States
Delivery in 3 to 5 Business Days

Quick Overview for CRTC2 antibody (ABIN969067)

Target

See all CRTC2 Antibodies
CRTC2 (CREB Regulated Transcription Coactivator 2 (CRTC2))

Reactivity

  • 84
  • 23
  • 17
  • 1
  • 1
  • 1
  • 1
  • 1
  • 1
Human, Monkey

Host

  • 77
  • 5
  • 4
  • 1
Mouse

Clonality

  • 60
  • 27
Monoclonal

Conjugate

  • 33
  • 7
  • 5
  • 4
  • 3
  • 3
  • 3
  • 3
  • 3
  • 3
  • 3
  • 2
  • 2
  • 2
  • 1
  • 1
  • 1
  • 1
  • 1
  • 1
  • 1
  • 1
  • 1
  • 1
  • 1
This CRTC2 antibody is un-conjugated

Application

  • 73
  • 32
  • 32
  • 17
  • 7
  • 6
  • 6
  • 2
  • 1
  • 1
  • 1
  • 1
Western Blotting (WB), ELISA, Immunohistochemistry (IHC), Flow Cytometry (FACS), Immunocytochemistry (ICC)

Clone

5B10
  • Purpose

    CRTC2 Antibody

    Purification

    Ascitic fluid

    Immunogen

    Purified recombinant fragment of human CRTC2 expressed in E. Coli.

    Isotype

    IgG1
  • Application Notes

    ELISA: 1/10000

    FCM: 1/200 - 1/400

    ICC: 1/200 - 1/1000

    Restrictions

    For Research Use only
  • Format

    Liquid

    Buffer

    Ascitic fluid containing 0.03 % sodium azide.

    Preservative

    Sodium azide

    Precaution of Use

    This product contains Sodium azide: a POISONOUS AND HAZARDOUS SUBSTANCE which should be handled by trained staff only.

    Storage

    4 °C,-20 °C

    Storage Comment

    Store at 4°C short term. Aliquot and store at -20°C long term. Avoid freeze/thaw cycles.
  • Murata, Sato, Nakayama, Kudoh, Iwahori, Isomura, Tajima, Hishiki, Ohshima, Hijikata, Shimotohno, Tsurumi: "TORC2, a coactivator of cAMP-response element-binding protein, promotes Epstein-Barr virus reactivation from latency through interaction with viral BZLF1 protein." in: The Journal of biological chemistry, Vol. 284, Issue 12, pp. 8033-41, (2009) (PubMed).

    Ewing, Chu, Elisma, Li, Taylor, Climie, McBroom-Cerajewski, Robinson, OConnor, Li, Taylor, Dharsee, Ho, Heilbut, Moore, Zhang, Ornatsky, Bukhman, Ethier, Sheng, Vasilescu, Abu-Farha, Lambert, Duewel et al.: "Large-scale mapping of human protein-protein interactions by mass spectrometry. ..." in: Molecular systems biology, Vol. 3, pp. 89, (2007) (PubMed).

    Dentin, Liu, Koo, Hedrick, Vargas, Heredia, Yates, Montminy: "Insulin modulates gluconeogenesis by inhibition of the coactivator TORC2." in: Nature, Vol. 449, Issue 7160, pp. 366-9, (2007) (PubMed).

  • Target

    CRTC2 (CREB Regulated Transcription Coactivator 2 (CRTC2))

    Alternative Name

    CRTC2

    Background

    Glucose homeostasis is regulated by hormones and cellular energy status. Elevations of blood glucose during feeding stimulate insulin release from pancreatic

    Molecular Weight

    80 kDa

    UniProt

    Q53ET0

    Pathways

    AMPK Signaling, Carbohydrate Homeostasis
You are here:
Chat with us!