Phone:
+1 877 302 8632
Fax:
+1 888 205 9894 (Toll-free)
E-Mail:
orders@antibodies-online.com

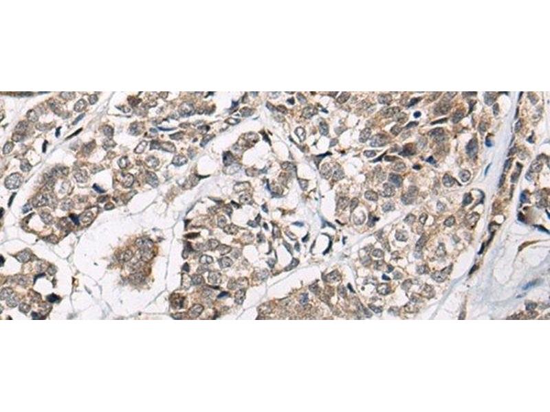
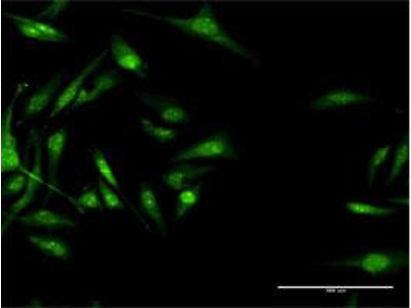
CACNB3 Antibodies

(Calcium Channel, Voltage-Dependent, beta 3 Subunit (CACNB3))

Choose one of 37 CACNB3 antibodies from our product listing based on 23 validation images.

Explore reliable CACNB3 antibodies from a broad selection of renowned manufacturers. Our portfolio enables accurate CACNB3 detection across multiple species, including Human, Mouse, Rat, Dog, Rabbit, Cow, Guinea Pig, Horse, Monkey, Pig, Zebrafish (Danio rerio), Bat, Chicken, Xenopus laevis, and supports diverse research applications such as WB, ELISA, IF, IHC, EIA.

Quickly find the right antibody using our search, filter, and comparison tools. Each product page provides detailed validation data, literature references, and customer feedback. Unlike comparison-only resources, you can conveniently purchase antibodies directly through our site. Choose from polyclonal, monoclonal, or recombinant CACNB3 antibodies derived from various hosts such as Rabbit, Mouse. Browse our products below and order directly to support your research with confidence.

Alternative names for CACNB3 are cacnb3.S, cacnb3.L, CACNB3, cacnb3b, cacnb3, Cacnb3, cacnb3a.

37 results

CACNB3 Reactivity: Human WB, IF, IP Host: Rabbit Polyclonal unconjugated
Catalog No. ABIN947634
$474.46
Plus shipping costs $50.00
100 μL
Shipping to: United States
Delivery in 11 to 14 Business Days
 
CACNB3 Reactivity: Human WB, IHC Host: Rabbit Polyclonal unconjugated
Catalog No. ABIN7189154
$262.68
Plus shipping costs $50.00
100 μg (More quantities available)
Shipping to: United States
Delivery in 13 to 17 Business Days
 
CACNB3 Reactivity: Mouse, Rat WB, IHC Host: Rabbit Polyclonal unconjugated
Catalog No. ABIN3188037
$402.79
Plus shipping costs $50.00
100 μL (More quantities available)
Shipping to: United States
Delivery in 11 to 15 Business Days
 
CACNB3 Reactivity: Human, Mouse, Rat IHC, ELISA Host: Rabbit Polyclonal unconjugated
Catalog No. ABIN7244615
$538.80
Plus shipping costs $50.00
200 μL (More quantities available)
Shipping to: United States
Delivery in 11 to 15 Business Days
 
CACNB3 Reactivity: Human WB Host: Rabbit Polyclonal RB37552 unconjugated
Catalog No. ABIN1537289
$451.00
Plus shipping costs $50.00
400 μL (More quantities available)
Shipping to: United States
Delivery in 10 to 12 Business Days
 
CACNB3 Reactivity: Human, Mouse, Rat WB Host: Rabbit Polyclonal unconjugated
Catalog No. ABIN633634
$1,297.32
Plus shipping costs $50.00
100 μL
Shipping to: United States
Delivery in 9 to 12 Business Days
 
CACNB3 Reactivity: Human, Mouse, Rat, Dog WB Host: Rabbit Polyclonal unconjugated
Catalog No. ABIN630085
$1,143.75
Plus shipping costs $50.00
100 μg
Shipping to: United States
Delivery in 9 to 12 Business Days
 
CACNB3 Reactivity: Human WB Host: Rabbit Polyclonal unconjugated
Catalog No. ABIN7266011
$383.00
Plus shipping costs $50.00
100 μL (More quantities available)
Shipping to: United States
Delivery in 7 to 10 Business Days
 
CACNB3 Reactivity: Human, Mouse, Rat, Rabbit, Cow, Guinea Pig, Zebrafish (Danio rerio), Monkey, Pig, Bat, Chicken, Xenopus laevis WB Host: Rabbit Polyclonal unconjugated
Catalog No. ABIN6740406
$690.07
Plus shipping costs $50.00
100 μL
Shipping to: United States
Delivery in 11 to 15 Business Days
 
CACNB3 Reactivity: Human, Mouse, Rat, Rabbit, Dog, Cow, Guinea Pig, Horse, Monkey, Pig WB Host: Rabbit Polyclonal unconjugated
Catalog No. ABIN202640
$649.00
Plus shipping costs $50.00
100 μL
Shipping to: United States
Delivery in 11 to 15 Business Days
 
CACNB3 Reactivity: Human WB Host: Mouse Polyclonal unconjugated
Catalog No. ABIN513939
$489.14
Plus shipping costs $50.00
50 μg
Shipping to: United States
Delivery in 11 to 14 Business Days
 
CACNB3 Reactivity: Rabbit WB, IHC, IF, IC Host: Rabbit Polyclonal unconjugated
Catalog No. ABIN7042987
$977.85
Plus shipping costs $50.00
50 μL (More quantities available)
Shipping to: United States
Delivery in 11 to 14 Business Days
 
CACNB3 Reactivity: Human, Mouse, Rat, Rabbit, Dog, Cow, Guinea Pig, Horse WB Host: Rabbit Polyclonal unconjugated
Catalog No. ABIN2776096
$429.69
Plus shipping costs $50.00
100 μL (More quantities available)
Shipping to: United States
Delivery in 2 to 4 Business Days
 
CACNB3 Reactivity: Human WB, IF, FACS, ICC Host: Mouse Monoclonal 7D1 unconjugated
Catalog No. ABIN7468089
$740.00
Plus shipping costs $50.00
100 μL
Shipping to: United States
Delivery in 3 to 5 Business Days
 
CACNB3 Reactivity: Human WB Host: Rabbit Polyclonal unconjugated
Catalog No. ABIN6753857
$690.07
Plus shipping costs $50.00
100 μL
Shipping to: United States
Delivery in 11 to 15 Business Days
 
CACNB3 Reactivity: Human WB Host: Rabbit Polyclonal unconjugated
Catalog No. ABIN2591392
$1,175.53
Plus shipping costs $50.00
100 μg
Shipping to: United States
Delivery in 11 to 15 Business Days
 
CACNB3 Reactivity: Human WB Host: Mouse Polyclonal unconjugated
Catalog No. ABIN2591390
$1,111.00
Plus shipping costs $50.00
50 μg
Shipping to: United States
Delivery in 11 to 15 Business Days
 
CACNB3 Reactivity: Human WB, ELISA Host: Rabbit Polyclonal unconjugated
Catalog No. ABIN2591393
$1,153.53
Plus shipping costs $50.00
200 μL
Shipping to: United States
Delivery in 11 to 15 Business Days
 
CACNB3 Reactivity: Human WB Host: Rabbit Polyclonal unconjugated
Catalog No. ABIN1808052
$643.13
Plus shipping costs $50.00
400 μL
Shipping to: United States
Delivery in 11 to 15 Business Days
 
CACNB3 Reactivity: Human WB, ELISA Host: Rabbit Polyclonal Biotin
Catalog No. ABIN1966426
$1,480.60
Plus shipping costs $50.00
200 μL
Shipping to: United States
Delivery in 11 to 15 Business Days
 
  • Type Primary
    • Primary
  • Application
    • Western Blotting (WB)
    • ELISA
    • Immunofluorescence (IF)
    • Immunohistochemistry (IHC)
    • Enzyme Immunoassay (EIA)
    • Flow Cytometry (FACS)
    • Immunochromatography (IC)
    • Immunocytochemistry (ICC)
    • Immunohistochemistry (Frozen Sections) (IHC (fro))
    • Immunoprecipitation (IP)
  • Reactivity
    • Human
    • Mouse
    • Rat
    • Dog
    • Rabbit
    • Cow
    • Guinea Pig
    • Horse
    • Monkey
    • Pig
    • Zebrafish (Danio rerio)
    • Bat
    • Chicken
    • Xenopus laevis
  • Images available
  • Preservative free only
  • Host
    • Rabbit
    • Mouse
  • Clonality
    • Polyclonal
    • Monoclonal
  • Clone
    • 7D1
    • RB37552
  • Binding Specificity
    • AA 407-434
    • AA 1-484
    • C-Term
    • N-Term
    • AA 355-484
    • AA 391-440
    • AA 406-434
    • AA 421-470
    • AA 463-477
    • Center
    • Intracellular
  • Conjugate
    • Un-conjugated
    • Biotin
    • APC
    • Alexa Fluor 488
    • Alexa Fluor 555
    • Alexa Fluor 594
    • Alexa Fluor 647
    • Alexa Fluor 680
    • Alexa Fluor 750
    • FITC
    • HRP
    • PE
  • Isotype
    • IgG
    • Ig Fraction
    • IgG1
  • Format
    • Liquid
    • Lyophilized
  • Supplier
    • antibodies-online
    • Signalway
    • Aviva Systems Biology
    • Acris
    • Alomone Labs
    • Cohesion Biosciences
    • Covalab
    • ProSci
    • USBio

Aliases for CACNB3 Antibodies

calcium channel, voltage-dependent, beta 3 subunit S homeolog (cacnb3.S) Antibodies
calcium channel, voltage-dependent, beta 3 subunit L homeolog (cacnb3.L) Antibodies
calcium voltage-gated channel auxiliary subunit beta 3 (CACNB3) Antibodies
calcium channel, voltage-dependent, beta 3b (cacnb3b) Antibodies
calcium channel, voltage-dependent, beta 3 subunit (cacnb3) Antibodies
calcium channel, voltage-dependent, beta 3 subunit (Cacnb3) Antibodies
calcium voltage-gated channel auxiliary subunit beta 3 (Cacnb3) Antibodies
calcium channel, voltage-dependent, beta 3a (cacnb3a) Antibodies
Beta3 Antibodies
CAB3 Antibodies
CACH3B Antibodies
CACNB3 Antibodies
cacnb3 Antibodies
Cacnb3 Antibodies
cacnlb3 Antibodies
CACNLB3 Antibodies
Cchb3 Antibodies
o32-a Antibodies
vgcc Antibodies
VGCC Antibodies
xo28 Antibodies
xo32 Antibodies
You are here:
Chat with us!