Phone:
+1 877 302 8632
Fax:
+1 888 205 9894 (Toll-free)
E-Mail:
orders@antibodies-online.com

CDC23 Antibodies

(Cell Division Cycle 23 (CDC23))

Choose one of 65 CDC23 antibodies from our product listing based on 37 validation images.

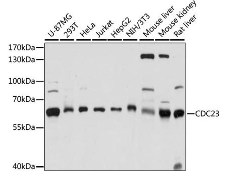
Explore reliable CDC23 antibodies from a broad selection of renowned manufacturers. Our portfolio enables accurate CDC23 detection across multiple species, including Human, Mouse, Rat, Dog, Cow, Guinea Pig, Horse, Monkey, Rabbit, Xenopus laevis, Chicken, Bat, Pig, Zebrafish (Danio rerio), and supports diverse research applications such as WB, ELISA, IF, ICC, IHC.

Quickly find the right antibody using our search, filter, and comparison tools. Each product page provides detailed validation data, literature references, and customer feedback. Unlike comparison-only resources, you can conveniently purchase antibodies directly through our site. Choose from polyclonal, monoclonal, or recombinant CDC23 antibodies derived from various hosts such as Rabbit, Mouse. Browse our products below and order directly to support your research with confidence.

Alternative names for CDC23 are CDC23, LOC100162672, LOC100380698, APC8, cdc23, cdc23.S, Cdc23.

65 results

CDC23 Reactivity: Human WB, IHC, ICC, IP Host: Rabbit Polyclonal unconjugated
Catalog No. ABIN7444334
$313.13
Plus shipping costs $50.00
100 μL (More quantities available)
Shipping to: United States
Delivery in 13 to 17 Business Days
 
CDC23 Reactivity: Human WB, IHC Host: Rabbit Polyclonal unconjugated
Catalog No. ABIN7266248
$383.00
Plus shipping costs $50.00
100 μL (More quantities available)
Shipping to: United States
Delivery in 7 to 10 Business Days
 
KD Validated CDC23 Reactivity: Human WB, FACS Host: Rabbit Monoclonal 23GB3420 unconjugated Recombinant Antibody
Catalog No. ABIN7798004
$598.92
Plus shipping costs $50.00
100 μL
Shipping to: United States
Delivery in 3 to 5 Business Days
 
CDC23 Reactivity: Human, Mouse, Rat IHC Host: Rabbit Polyclonal unconjugated
Catalog No. ABIN7258388
$696.00
Plus shipping costs $50.00
200 μL (More quantities available)
Shipping to: United States
Delivery in 11 to 15 Business Days
 
CDC23 Reactivity: Human WB, ELISA, IF Host: Mouse Monoclonal 1F3 unconjugated
Catalog No. ABIN522138
$520.15
Plus shipping costs $50.00
100 μg
Shipping to: United States
Delivery in 11 to 14 Business Days
 
CDC23 Reactivity: Human WB, IHC (p) Host: Rabbit Polyclonal RB19769 unconjugated
Catalog No. ABIN390546
$451.00
Plus shipping costs $50.00
400 μL (More quantities available)
Shipping to: United States
Delivery in 10 to 12 Business Days
 
CDC23 Reactivity: Human WB, IF Host: Rabbit Monoclonal unconjugated
Catalog No. ABIN7266247
$393.00
Plus shipping costs $50.00
100 μL (More quantities available)
Shipping to: United States
Delivery in 7 to 10 Business Days
 
CDC23 Reactivity: Human, Mouse WB, ELISA, ICC, IF Host: Rabbit Polyclonal unconjugated
Catalog No. ABIN6259975
$494.77
Plus shipping costs $50.00
100 μL (More quantities available)
Shipping to: United States
Delivery in 11 to 13 Business Days
 
CDC23 Reactivity: Human, Mouse, Monkey WB, ELISA Host: Rabbit Polyclonal unconjugated
Catalog No. ABIN3183800
$402.79
Plus shipping costs $50.00
100 μL (More quantities available)
Shipping to: United States
Delivery in 11 to 15 Business Days
 
CDC23 Reactivity: Human, Mouse, Rat, Dog WB Host: Rabbit Polyclonal unconjugated
Catalog No. ABIN629729
$1,143.75
Plus shipping costs $50.00
100 μg
Shipping to: United States
Delivery in 9 to 12 Business Days
 
CDC23 Reactivity: Human ELISA, IF Host: Rabbit Polyclonal unconjugated
Catalog No. ABIN7147303
$394.68
Plus shipping costs $50.00
100 μg (More quantities available)
Shipping to: United States
Delivery in 13 to 17 Business Days
 
CDC23 Reactivity: Human, Mouse, Rat WB Host: Rabbit Polyclonal unconjugated
Catalog No. ABIN6750414
$690.07
Plus shipping costs $50.00
100 μL
Shipping to: United States
Delivery in 11 to 15 Business Days
 
CDC23 Reactivity: Human, Mouse, Rat, Dog, Cow, Monkey, Guinea Pig, Horse, Rabbit, Xenopus laevis, Bat, Pig WB Host: Rabbit Polyclonal unconjugated
Catalog No. ABIN6736648
$690.07
Plus shipping costs $50.00
100 μL
Shipping to: United States
Delivery in 11 to 15 Business Days
 
CDC23 Reactivity: Human, Mouse, Rat, Dog, Cow, Monkey, Guinea Pig, Horse, Rabbit, Xenopus laevis, Chicken, Zebrafish (Danio rerio), Bat, Pig WB Host: Rabbit Polyclonal unconjugated
Catalog No. ABIN203478
$649.00
Plus shipping costs $50.00
100 μL
Shipping to: United States
Delivery in 11 to 15 Business Days
 
CDC23 Reactivity: Human, Mouse, Rat, Dog, Cow, Guinea Pig, Horse, Rabbit WB Host: Rabbit Polyclonal unconjugated
Catalog No. ABIN2775691
$483.54
Plus shipping costs $50.00
100 μL (More quantities available)
Shipping to: United States
Delivery in 2 to 4 Business Days
 
CDC23 Reactivity: Human WB, ELISA, IHC Host: Rabbit Polyclonal unconjugated
Catalog No. ABIN7568602
$355.94
Plus shipping costs $50.00
100 μg
Shipping to: United States
Delivery in 12 to 15 Business Days
 
CDC23 Reactivity: Human, Mouse, Monkey WB, ELISA Host: Rabbit Polyclonal unconjugated
Catalog No. ABIN7214098
$379.10
Plus shipping costs $50.00
100 μL (More quantities available)
Shipping to: United States
Delivery in 12 to 16 Business Days
 
CDC23 Reactivity: Human WB, ICC, IF, IHC (p) Host: Rabbit Polyclonal unconjugated
Catalog No. ABIN7465723
$740.00
Plus shipping costs $50.00
100 μL
Shipping to: United States
Delivery in 3 to 5 Business Days
 
CDC23 Reactivity: Human ELISA, IHC (p), IF (cc), IF (p), IHC (fro) Host: Rabbit Polyclonal unconjugated
Catalog No. ABIN714041
$384.62
Plus shipping costs $50.00
100 μL
Shipping to: United States
Delivery in 4 to 7 Business Days
 
CDC23 Reactivity: Human ELISA Host: Rabbit Polyclonal HRP
Catalog No. ABIN7147306
$394.68
Plus shipping costs $50.00
100 μg (More quantities available)
Shipping to: United States
Delivery in 13 to 17 Business Days
 
  • Type Primary
    • Primary
  • Application
    • Western Blotting (WB)
    • ELISA
    • Immunofluorescence (IF)
    • Immunocytochemistry (ICC)
    • Immunohistochemistry (IHC)
    • Immunoprecipitation (IP)
    • Immunohistochemistry (Paraffin-embedded Sections) (IHC (p))
    • Enzyme Immunoassay (EIA)
    • Flow Cytometry (FACS)
    • Immunochromatography (IC)
    • Immunofluorescence (Cultured Cells) (IF (cc))
    • Immunofluorescence (Paraffin-embedded Sections) (IF (p))
    • Immunohistochemistry (Frozen Sections) (IHC (fro))
  • Reactivity
    • Human
    • Mouse
    • Rat
    • Dog
    • Cow
    • Guinea Pig
    • Horse
    • Monkey
    • Rabbit
    • Xenopus laevis
    • Chicken
    • Bat
    • Pig
    • Zebrafish (Danio rerio)
  • Images available
  • Carrier free only
  • Host
    • Rabbit
    • Mouse
  • Clonality
    • Polyclonal
    • Monoclonal
  • Clone
    • 1F3
    • 23GB3420
    • A522
    • IAA-3
    • RB19769
  • Binding Specificity
    • AA 62-142
    • N-Term
    • AA 125-175
    • AA 140-168
    • AA 275-325
    • AA 366-597
    • C-Term
    • Center
    • Internal Region
    • AA 101-150
    • AA 101-200
    • AA 119-168
    • AA 141-170
    • AA 220-269
    • AA 220-300
    • AA 251-300
    • AA 270-320
    • AA 491-591
    • AA 491-592
    • AA 50-150
  • Conjugate
    • Un-conjugated
    • Biotin
    • Alexa Fluor 488
    • Alexa Fluor 555
    • Alexa Fluor 594
    • Alexa Fluor 647
    • Alexa Fluor 680
    • Alexa Fluor 750
    • FITC
    • Alexa Fluor 350
    • Alexa Fluor 405
    • HRP
  • Isotype
    • IgG
    • Ig Fraction
    • IgG2a
    • IgG2a kappa
    • kappa
  • Protein Type
    • Recombinant Antibody
  • Format
    • Liquid
    • Lyophilized
  • Grade
    • KD Validated
  • Supplier
    • antibodies-online
    • Signalway
    • Aviva Systems Biology
    • USBio
    • Abbexa
    • Acris
    • Assay Biotechnology Company, Inc.
    • Boster Bio
    • Cohesion Biosciences
    • ProSci
    • ProteoGenix

Latest Publications for our CDC23 Antibodies

Stadler, Rexhepaj, Singan, Murphy, Pepperkok, Uhlén, Simpson, Lundberg: "Immunofluorescence and fluorescent-protein tagging show high correlation for protein localization in mammalian cells." in: Nature methods, Vol. 10, Issue 4, pp. 315-23, (2013) (PubMed).

Aliases for CDC23 Antibodies

cell division cycle 23 (CDC23) Antibodies
cell division cycle protein 23 homolog (LOC100162672) Antibodies
cell division cycle protein 23 homolog (LOC100380698) Antibodies
anaphase-promoting complex subunit 8 (APC8) Antibodies
CDC23 (cell division cycle 23, yeast, homolog) (cdc23) Antibodies
cell division cycle 23 S homeolog (cdc23.S) Antibodies
CDC23 cell division cycle 23 (Cdc23) Antibodies
cell division cycle 23 (Cdc23) Antibodies
6030435O18 Antibodies
ANAPC8 Antibodies
anaphase-promoting complex subunit 8 Antibodies
APC8 Antibodies
CDC23 Antibodies
CUT23 Antibodies
D18Ertd243e Antibodies
zgc:56013 Antibodies
You are here:
Chat with us!