Phone:
+1 877 302 8632
Fax:
+1 888 205 9894 (Toll-free)
E-Mail:
orders@antibodies-online.com

EIF3A Antibodies

(Eukaryotic Translation Initiation Factor 3 Subunit A (EIF3A))

Choose one of 50 EIF3A antibodies from our product listing based on 1 publication and 25 validation images.

Explore reliable EIF3A antibodies from a broad selection of renowned manufacturers. Our portfolio enables accurate EIF3A detection across multiple species, including Human, Mouse, Rat, Cow, Dog, Rabbit, Horse, Zebrafish (Danio rerio), Pig, Bat, Chicken, Guinea Pig, Xenopus laevis, and supports diverse research applications such as WB, IHC, ELISA, IF, ICC.

Quickly find the right antibody using our search, filter, and comparison tools. Each product page provides detailed validation data, literature references, and customer feedback. Unlike comparison-only resources, you can conveniently purchase antibodies directly through our site. Choose from polyclonal, monoclonal, or recombinant EIF3A antibodies derived from various hosts such as Rabbit, Mouse. Browse our products below and order directly to support your research with confidence.

Alternative names for EIF3A are EIF3A, Eif3a, eif3a.S, tif32.

50 results

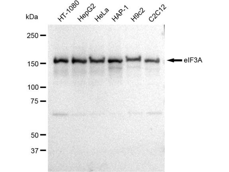
EIF3A Reactivity: Human, Mouse, Rat WB, IHC, ELISA, IF, FACS Host: Rabbit Polyclonal unconjugated
Catalog No. ABIN7599942
$370.00
Plus shipping costs $50.00
100 μg
Shipping to: United States
Delivery in 4 to 7 Business Days
 
EIF3A Reactivity: Mouse WB, IHC, ICC, IP Host: Rabbit Polyclonal unconjugated
Catalog No. ABIN7442114
$320.14
Plus shipping costs $50.00
100 μL (More quantities available)
Shipping to: United States
Delivery in 13 to 17 Business Days
 
EIF3A Reactivity: Human WB, ELISA Host: Mouse Polyclonal unconjugated
Pubmed 1 reference
Catalog No. ABIN563740
$359.85
Plus shipping costs $50.00
50 μL
Shipping to: United States
Delivery in 11 to 14 Business Days
 
EIF3A Reactivity: Human WB, ELISA Host: Mouse Monoclonal 2G4 unconjugated
Catalog No. ABIN948718
$520.15
Plus shipping costs $50.00
100 μg
Shipping to: United States
Delivery in 11 to 14 Business Days
 
EIF3A Reactivity: Human WB, IHC (p) Host: Rabbit Polyclonal RB32052 unconjugated
Catalog No. ABIN656879
$451.00
Plus shipping costs $50.00
400 μL (More quantities available)
Shipping to: United States
Delivery in 10 to 12 Business Days
 
EIF3A Reactivity: Human WB, ELISA, IF Host: Rabbit Polyclonal unconjugated
Catalog No. ABIN7152145
$394.68
Plus shipping costs $50.00
100 μg (More quantities available)
Shipping to: United States
Delivery in 13 to 17 Business Days
 
EIF3A Reactivity: Human, Mouse, Rat WB, IHC, ELISA, IF, ICC Host: Rabbit Polyclonal unconjugated
Catalog No. ABIN6261480
$494.77
Plus shipping costs $50.00
100 μL (More quantities available)
Shipping to: United States
Delivery in 11 to 13 Business Days
 
EIF3A Reactivity: Human WB, FACS Host: Rabbit Monoclonal 23GB830 unconjugated Recombinant Antibody
Catalog No. ABIN7798518
$394.31
Plus shipping costs $50.00
100 μL
Shipping to: United States
Delivery in 3 to 5 Business Days
 
EIF3A Reactivity: Human, Mouse, Rat, Cow, Dog, Horse, Chicken WB, IHC, IHC (p) Host: Rabbit Polyclonal unconjugated
Catalog No. ABIN1101301
$476.30
Plus shipping costs $50.00
50 μg
Shipping to: United States
Delivery in 11 to 15 Business Days
 
EIF3A Reactivity: Human, Mouse, Rat, Rabbit, Cow, Dog, Horse, Pig, Bat WB, IHC, IHC (p) Host: Rabbit Polyclonal unconjugated
Catalog No. ABIN6756675
$476.30
Plus shipping costs $50.00
100 μL
Shipping to: United States
Delivery in 11 to 15 Business Days
 
EIF3A Reactivity: Human WB, EIA Host: Rabbit Polyclonal unconjugated
Catalog No. ABIN952046
$846.00
Plus shipping costs $50.00
0.4 mL
Shipping to: United States
Delivery in 1 to 2 Business Days
 
EIF3A Reactivity: Human, Mouse, Rat, Rabbit, Cow, Dog, Zebrafish (Danio rerio), Horse, Pig WB Host: Rabbit Polyclonal unconjugated
Catalog No. ABIN2788872
$483.54
Plus shipping costs $50.00
100 μL (More quantities available)
Shipping to: United States
Delivery in 2 to 4 Business Days
 
EIF3A Reactivity: Human, Mouse, Rat WB, ELISA Host: Rabbit Polyclonal unconjugated
Catalog No. ABIN7228376
$379.10
Plus shipping costs $50.00
100 μL (More quantities available)
Shipping to: United States
Delivery in 12 to 16 Business Days
 
EIF3A Reactivity: Human WB, IF, ICC, IHC (p) Host: Rabbit Polyclonal unconjugated
Catalog No. ABIN7467315
$740.00
Plus shipping costs $50.00
100 μL
Shipping to: United States
Delivery in 3 to 5 Business Days
 
EIF3A Reactivity: Human Host: Rabbit Polyclonal FITC
Catalog No. ABIN7152147
$394.68
Plus shipping costs $50.00
100 μg (More quantities available)
Shipping to: United States
Delivery in 13 to 17 Business Days
 
EIF3A Reactivity: Human ELISA Host: Rabbit Polyclonal Biotin
Catalog No. ABIN7152146
$394.68
Plus shipping costs $50.00
100 μg (More quantities available)
Shipping to: United States
Delivery in 13 to 17 Business Days
 
EIF3A Reactivity: Human ELISA Host: Rabbit Polyclonal HRP
Catalog No. ABIN7152148
$394.68
Plus shipping costs $50.00
100 μg (More quantities available)
Shipping to: United States
Delivery in 13 to 17 Business Days
 
EIF3A Reactivity: Human, Mouse WB, IP Host: Rabbit Polyclonal unconjugated
Catalog No. ABIN7451755
$538.15
Plus shipping costs $50.00
100 μg (More quantities available)
Shipping to: United States
Delivery in 3 to 5 Business Days
 
EIF3A Reactivity: Human, Mouse WB, IP, IHC (fp) Host: Rabbit Polyclonal unconjugated
Catalog No. ABIN7453842
$538.15
Plus shipping costs $50.00
20 μg (More quantities available)
Shipping to: United States
Delivery in 3 to 5 Business Days
 
EIF3A Reactivity: Human, Mouse IHC Host: Rabbit Polyclonal unconjugated
Catalog No. ABIN7448546
$532.77
Plus shipping costs $50.00
20 μg (More quantities available)
Shipping to: United States
Delivery in 3 to 5 Business Days
 
  • Type Primary
    • Primary
  • Application
    • Western Blotting (WB)
    • Immunohistochemistry (IHC)
    • ELISA
    • Immunofluorescence (IF)
    • Immunocytochemistry (ICC)
    • Immunohistochemistry (Paraffin-embedded Sections) (IHC (p))
    • Immunoprecipitation (IP)
    • Flow Cytometry (FACS)
    • Enzyme Immunoassay (EIA)
    • Immunohistochemistry (Formalin-fixed Paraffin-embedded Sections) (IHC (fp))
  • Reactivity
    • Human
    • Mouse
    • Rat
    • Cow
    • Dog
    • Rabbit
    • Horse
    • Zebrafish (Danio rerio)
    • Pig
    • Bat
    • Chicken
    • Guinea Pig
    • Xenopus laevis
  • Cited in publications
  • Images available
  • Preservative free only
  • Carrier free only
  • Host
    • Rabbit
    • Mouse
  • Clonality
    • Polyclonal
    • Monoclonal
  • Clone
    • 2G4
    • 23GB830
    • 31E29
    • RB32052
  • Binding Specificity
    • AA 1219-1247
    • AA 1288-1379
    • C-Term
    • AA 860-910
    • AA 1-50
    • AA 1-75
    • AA 1-76
    • AA 13-477
    • AA 13-478
    • AA 172-202
    • AA 550-600
    • AA 622-848
    • N-Term
  • Conjugate
    • Un-conjugated
    • Biotin
    • FITC
    • Alexa Fluor 488
    • Alexa Fluor 555
    • Alexa Fluor 594
    • Alexa Fluor 647
    • Alexa Fluor 680
    • Alexa Fluor 750
    • HRP
    • APC
    • Alexa Fluor 350
    • Alexa Fluor 405
    • PE
  • Isotype
    • IgG
    • Ig Fraction
    • IgG2a
    • IgG2a kappa
  • Protein Type
    • Recombinant Antibody
  • Format
    • Liquid
    • Lyophilized
  • Supplier
    • antibodies-online
    • Signalway
    • Boster Bio
    • Abbexa
    • Acris
    • Aviva Systems Biology
    • USBio

Latest Publications for our EIF3A Antibodies

Jeong, Park, Nguyen, Hwang, Lee, Giong, Lee, Yoon, Lee, Kim, Kim, Kim, Yang, Kim, Lee, Yu, Sonenberg, Kim, Kim: "A threonyl-tRNA synthetase-mediated translation initiation machinery." in: Nature communications, Vol. 10, Issue 1, pp. 1357, (2019) (PubMed).

Yang, Hu, Fan, Zhang, Zhong, Guo, Qin, Chen: "Picornavirus 2A protease regulates stress granule formation to facilitate viral translation." in: PLoS pathogens, Vol. 14, Issue 2, pp. e1006901, (2018) (PubMed).

Toompuu, Kärblane, Pata, Truve, Sarmiento: "ABCE1 is essential for S phase progression in human cells." in: Cell cycle (Georgetown, Tex.), Vol. 15, Issue 9, pp. 1234-47, (2016) (PubMed).

Lee, Kranzusch, Cate: "eIF3 targets cell-proliferation messenger RNAs for translational activation or repression." in: Nature, Vol. 522, Issue 7554, pp. 111-4, (2015) (PubMed).

Chazal, Daguenet, Wendling, Ulryck, Tomasetto, Sargueil, Le Hir: "EJC core component MLN51 interacts with eIF3 and activates translation." in: Proceedings of the National Academy of Sciences of the United States of America, Vol. 110, Issue 15, pp. 5903-8, (2013) (PubMed).

Kroczynska, Kaur, Katsoulidis, Majchrzak-Kita, Sassano, Kozma, Fish, Platanias: "Interferon-dependent engagement of eukaryotic initiation factor 4B via S6 kinase (S6K)- and ribosomal protein S6K-mediated signals." in: Molecular and cellular biology, Vol. 29, Issue 10, pp. 2865-75, (2009) (PubMed).

Aliases for EIF3A Antibodies

eukaryotic translation initiation factor 3 subunit A (EIF3A) Antibodies
eukaryotic translation initiation factor 3, subunit A (Eif3a) Antibodies
eukaryotic translation initiation factor 3 subunit A S homeolog (eif3a.S) Antibodies
translation initiation factor eIF3a (tif32) Antibodies
eukaryotic translation initiation factor 3 subunit A (Eif3a) Antibodies
A830012B05Rik Antibodies
Csma Antibodies
EIF3 Antibodies
Eif3 Antibodies
eIF3 p110 Antibodies
eIF3-p170 Antibodies
eIF3-theta Antibodies
eIF3a Antibodies
EIF3S10 Antibodies
Eif3s10 Antibodies
eif3s10 Antibodies
EIF6 Antibodies
mKIAA0139 Antibodies
P167 Antibodies
p180 Antibodies
p185 Antibodies
TIF32 Antibodies
ZH12 Antibodies
You are here:
Chat with us!