Phone:
+1 877 302 8632
Fax:
+1 888 205 9894 (Toll-free)
E-Mail:
orders@antibodies-online.com

ENAH Antibodies

(Enabled Homolog (ENAH))

Choose one of 52 ENAH antibodies from our product listing based on 20 validation images.

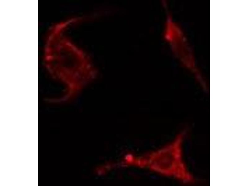
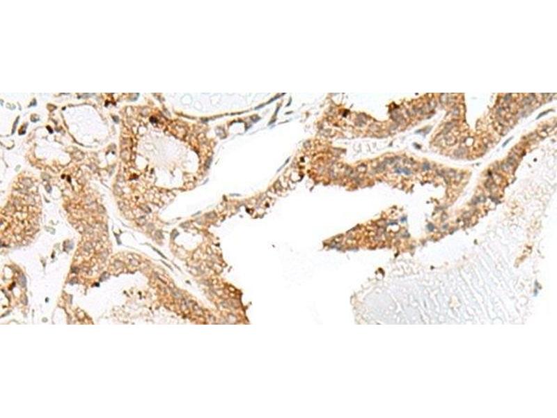
Explore reliable ENAH antibodies from a broad selection of renowned manufacturers. Our portfolio enables accurate ENAH detection across multiple species, including Human, Mouse, Rat, Cow, Guinea Pig, Horse, Chicken, Dog, Pig, and supports diverse research applications such as WB, ELISA, IF (p), IHC, IHC (p).

Quickly find the right antibody using our search, filter, and comparison tools. Each product page provides detailed validation data, literature references, and customer feedback. Unlike comparison-only resources, you can conveniently purchase antibodies directly through our site. Choose from polyclonal, monoclonal, or recombinant ENAH antibodies derived from various hosts such as Rabbit, Mouse. Browse our products below and order directly to support your research with confidence.

Alternative names for ENAH are Enah, ENAH, enah.

52 results

ENAH Reactivity: Human WB, ELISA Host: Mouse Monoclonal 3E6 unconjugated
Catalog No. ABIN527635
$520.15
Plus shipping costs $50.00
100 μg
Shipping to: United States
Delivery in 11 to 14 Business Days
 
ENAH Reactivity: Human WB, ELISA, Coat Host: Mouse Monoclonal ENAH-1988 unconjugated
Catalog No. ABIN6940390
$640.46
Plus shipping costs $50.00
100 μg (More quantities available)
Shipping to: United States
Delivery in 2 to 5 Business Days
 
ENAH Reactivity: Human WB, IF Host: Rabbit Polyclonal unconjugated
Catalog No. ABIN7266936
$383.00
Plus shipping costs $50.00
100 μL (More quantities available)
Shipping to: United States
Delivery in 7 to 10 Business Days
 
ENAH Reactivity: Human WB, ELISA, IF, ICC Host: Rabbit Polyclonal unconjugated
Catalog No. ABIN6261529
$494.77
Plus shipping costs $50.00
100 μL (More quantities available)
Shipping to: United States
Delivery in 11 to 13 Business Days
 
ENAH Reactivity: Human, Mouse ELISA, IHC Host: Rabbit Polyclonal unconjugated
Catalog No. ABIN7245122
$538.80
Plus shipping costs $50.00
200 μL (More quantities available)
Shipping to: United States
Delivery in 11 to 15 Business Days
 
ENAH Reactivity: Human, Mouse, Rat WB, ELISA, IHC Host: Rabbit Polyclonal unconjugated
Catalog No. ABIN3185540
$402.79
Plus shipping costs $50.00
100 μL (More quantities available)
Shipping to: United States
Delivery in 11 to 15 Business Days
 
ENAH Reactivity: Human WB Host: Rabbit Polyclonal RB30620 unconjugated
Catalog No. ABIN1537349
$451.00
Plus shipping costs $50.00
400 μL (More quantities available)
Shipping to: United States
Delivery in 10 to 12 Business Days
 
ENAH Reactivity: Human WB, ELISA, IHC Host: Rabbit Polyclonal unconjugated
Catalog No. ABIN7185128
$262.68
Plus shipping costs $50.00
100 μg (More quantities available)
Shipping to: United States
Delivery in 13 to 17 Business Days
 
ENAH Reactivity: Human, Mouse WB Host: Rabbit Polyclonal unconjugated
Catalog No. ABIN6750380
$690.07
Plus shipping costs $50.00
100 μL
Shipping to: United States
Delivery in 11 to 15 Business Days
 
ENAH Reactivity: Human, Mouse, Rat WB, ELISA, IHC Host: Rabbit Polyclonal unconjugated
Catalog No. ABIN1535213
$341.00
Plus shipping costs $50.00
100 μL (More quantities available)
Shipping to: United States
Delivery in 2 to 4 Business Days
 
ENAH Reactivity: Human, Mouse, Rat WB, IF (p) Host: Rabbit Polyclonal AbBy Fluor® 680
Catalog No. ABIN5001924
$458.46
Plus shipping costs $50.00
100 μL
Shipping to: United States
Delivery in 16 to 20 Business Days
 
ENAH Reactivity: Human, Mouse, Rat WB, IF (p) Host: Rabbit Polyclonal AbBy Fluor® 750
Catalog No. ABIN5001925
$458.46
Plus shipping costs $50.00
100 μL
Shipping to: United States
Delivery in 16 to 20 Business Days
 
ENAH Reactivity: Human, Mouse, Rat WB, IHC (p) Host: Rabbit Polyclonal HRP
Catalog No. ABIN2173832
$470.46
Plus shipping costs $50.00
100 μL
Shipping to: United States
Delivery in 16 to 20 Business Days
 
ENAH Reactivity: Human, Mouse, Rat WB, IF (p) Host: Rabbit Polyclonal FITC
Catalog No. ABIN2173831
$470.46
Plus shipping costs $50.00
100 μL
Shipping to: United States
Delivery in 16 to 20 Business Days
 
ENAH Reactivity: Human, Mouse, Rat WB, IF (p) Host: Rabbit Polyclonal Cy7
Catalog No. ABIN2173830
$470.46
Plus shipping costs $50.00
100 μL
Shipping to: United States
Delivery in 16 to 20 Business Days
 
ENAH Reactivity: Human, Mouse, Rat WB, IF (p) Host: Rabbit Polyclonal Cy5.5
Catalog No. ABIN2173829
$470.46
Plus shipping costs $50.00
100 μL
Shipping to: United States
Delivery in 16 to 20 Business Days
 
ENAH Reactivity: Human, Mouse, Rat WB, IF (p) Host: Rabbit Polyclonal Cy5
Catalog No. ABIN2173828
$470.46
Plus shipping costs $50.00
100 μL
Shipping to: United States
Delivery in 16 to 20 Business Days
 
ENAH Reactivity: Human, Mouse, Rat WB, IF (p) Host: Rabbit Polyclonal Cy3
Catalog No. ABIN2173827
$470.46
Plus shipping costs $50.00
100 μL
Shipping to: United States
Delivery in 16 to 20 Business Days
 
ENAH Reactivity: Human, Mouse, Rat WB, ELISA, IHC (p) Host: Rabbit Polyclonal unconjugated
Catalog No. ABIN7223472
$379.10
Plus shipping costs $50.00
100 μL (More quantities available)
Shipping to: United States
Delivery in 12 to 16 Business Days
 
ENAH Reactivity: Human, Mouse, Rat WB, IF (p) Host: Rabbit Polyclonal AbBy Fluor® 555
Catalog No. ABIN2173824
$458.46
Plus shipping costs $50.00
100 μL
Shipping to: United States
Delivery in 16 to 20 Business Days
 
  • Type Primary
    • Primary
  • Application
    • Western Blotting (WB)
    • ELISA
    • Immunofluorescence (Paraffin-embedded Sections) (IF (p))
    • Immunohistochemistry (IHC)
    • Immunohistochemistry (Paraffin-embedded Sections) (IHC (p))
    • Immunofluorescence (IF)
    • Immunoprecipitation (IP)
    • Immunocytochemistry (ICC)
    • Coating (Coat)
    • Enzyme Immunoassay (EIA)
    • Flow Cytometry (FACS)
  • Reactivity
    • Human
    • Mouse
    • Rat
    • Cow
    • Guinea Pig
    • Horse
    • Chicken
    • Dog
    • Pig
  • Images available
  • Preservative free only
  • Carrier free only
  • Host
    • Rabbit
    • Mouse
  • Clonality
    • Polyclonal
    • Monoclonal
  • Clone
    • ENAH-1988
    • 3E6
    • RB30620
  • Binding Specificity
    • AA 485-589
    • AA 446-475
    • C-Term
    • AA 541-591
    • AA 1097-1126
    • AA 291-390
    • AA 291-391
    • AA 32-551
    • AA 412-591
    • AA 450-500
    • AA 450-530
    • AA 472-521
    • AA 671-720
    • Internal Region
  • Conjugate
    • Un-conjugated
    • Biotin
    • FITC
    • HRP
    • APC
    • AbBy Fluor® 350
    • AbBy Fluor® 488
    • AbBy Fluor® 555
    • AbBy Fluor® 594
    • AbBy Fluor® 647
    • AbBy Fluor® 680
    • AbBy Fluor® 750
    • CF®405S
    • CF®488A
    • CF®568
    • CF®594
    • CF®640R
    • CF®647
    • CF®740
    • Cy3
    • Cy5
    • Cy5.5
    • Cy7
    • PE
  • Isotype
    • IgG
    • IgG2c
    • kappa
    • Ig Fraction
    • IgG2c kappa
    • IgG2a
    • IgG2a kappa
  • Format
    • Liquid
    • Lyophilized
  • Supplier
    • antibodies-online
    • Biotium
    • Assay Biotechnology Company, Inc.
    • Aviva Systems Biology
    • Boster Bio
    • OriGene
    • RayBiotech

Latest Publications for our ENAH Antibodies

Kumar, Prasad, Jash, Jayasundar, Singh, Alam, Murmu, Somashekhar, Goldman, Sehrawat: "cAMP regulated EPAC1 supports microvascular density, angiogenic and metastatic properties in a model of triple negative breast cancer." in: Carcinogenesis, Vol. 39, Issue 10, pp. 1245-1253, (2018) (PubMed).

Weidmann, Surve, Eddy, Chen, Gertler, Sharma, Condeelis: "Mena(INV) dysregulates cortactin phosphorylation to promote invadopodium maturation." in: Scientific reports, Vol. 6, pp. 36142, (2016) (PubMed).

Howe, Hogan, Juliano: "Regulation of vasodilator-stimulated phosphoprotein phosphorylation and interaction with Abl by protein kinase A and cell adhesion." in: The Journal of biological chemistry, Vol. 277, Issue 41, pp. 38121-6, (2002) (PubMed).

García Arguinzonis, Galler, Walter, Reinhard, Simm: "Increased spreading, Rac/p21-activated kinase (PAK) activity, and compromised cell motility in cells deficient in vasodilator-stimulated phosphoprotein (VASP)." in: The Journal of biological chemistry, Vol. 277, Issue 47, pp. 45604-10, (2002) (PubMed).

Drees, Friederich, Fradelizi, Louvard, Beckerle, Golsteyn: "Characterization of the interaction between zyxin and members of the Ena/vasodilator-stimulated phosphoprotein family of proteins." in: The Journal of biological chemistry, Vol. 275, Issue 29, pp. 22503-11, (2000) (PubMed).

Gertler, Niebuhr, Reinhard, Wehland, Soriano: "Mena, a relative of VASP and Drosophila Enabled, is implicated in the control of microfilament dynamics." in: Cell, Vol. 87, Issue 2, pp. 227-39, (1996) (PubMed).

Harney, Karagiannis, Pignatelli, Smith, Kadioglu, Wise, Hood, Kaufman, Leary, Lu, Al-Ani, Chen, Entenberg, Oktay, Wang, Chun, De Palma, Jones, Flynn, Condeelis: "The Selective Tie2 Inhibitor Rebastinib Blocks Recruitment and Function of Tie2HiMacrophages in Breast Cancer and Pancreatic Neuroendocrine Tumors." in: Molecular cancer therapeutics, Vol. 16, Issue 11, pp. 2486-2501 (PubMed).

Aliases for ENAH Antibodies

ENAH, actin regulator (Enah) Antibodies
enabled homolog (Drosophila) (ENAH) Antibodies
ENAH, actin regulator (ENAH) Antibodies
enabled homolog (Drosophila) (Enah) Antibodies
enabled homolog (Drosophila) (enah) Antibodies
AI464316 Antibodies
AW045240 Antibodies
ENA Antibodies
id:ibd2798 Antibodies
MENA Antibodies
Mena Antibodies
NDPP1 Antibodies
Ndpp1 Antibodies
si:ch211-215p14.1 Antibodies
WBP8 Antibodies
zgc:103638 Antibodies
You are here:
Chat with us!