Phone:
+1 877 302 8632
Fax:
+1 888 205 9894 (Toll-free)
E-Mail:
orders@antibodies-online.com

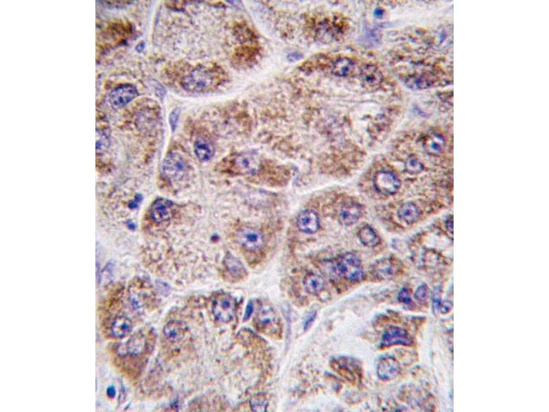
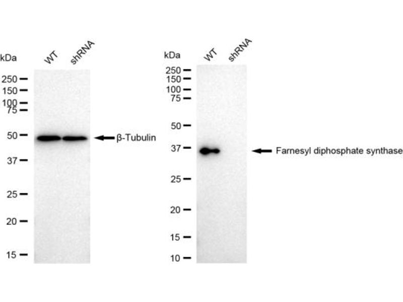
FDPS Antibodies

(Farnesyl Diphosphate Synthase (FDPS))

Choose one of 77 FDPS antibodies from our product listing based on 8 publications and 38 validation images.

Explore reliable FDPS antibodies from a broad selection of renowned manufacturers. Our portfolio enables accurate FDPS detection across multiple species, including Human, Rat, Mouse, Dog, Horse, Pig, Rabbit, Bat, Cow, Guinea Pig, Monkey, and supports diverse research applications such as WB, IHC, ELISA, IP, FACS.

Quickly find the right antibody using our search, filter, and comparison tools. Each product page provides detailed validation data, literature references, and customer feedback. Unlike comparison-only resources, you can conveniently purchase antibodies directly through our site. Choose from polyclonal, monoclonal, or recombinant FDPS antibodies derived from various hosts such as Rabbit, Mouse. Browse our products below and order directly to support your research with confidence.

Alternative names for FDPS are Fpps, fdps, fdps.L, MGG_08649, TP03_0857, Tb09.160.4300, fpp, BBOV_I000120, fps, fpps, FDPS, Fdps, fps1.

77 results

FDPS Reactivity: Human WB, ICC, IHC (p), IF Host: Rabbit Polyclonal unconjugated
Catalog No. ABIN2856081
$564.19
Plus shipping costs $50.00
100 μL
Shipping to: United States
Delivery in 3 to 5 Business Days
 
FDPS Reactivity: Human WB, IHC (p), IF Host: Rabbit Polyclonal RB4783-4784 unconjugated
Pubmed 2 references
Catalog No. ABIN1882080
$451.00
Plus shipping costs $50.00
400 μL (More quantities available)
Shipping to: United States
Delivery in 10 to 12 Business Days
 
FDPS Reactivity: Human WB, IHC, ELISA, IP Host: Rabbit Polyclonal unconjugated
Catalog No. ABIN7152571
$394.68
Plus shipping costs $50.00
100 μg (More quantities available)
Shipping to: United States
Delivery in 13 to 17 Business Days
 
FDPS Reactivity: Human WB, IHC (p) Host: Rabbit Polyclonal RB04786 unconjugated
Pubmed 6 references
Catalog No. ABIN389054
$451.00
Plus shipping costs $50.00
400 μL (More quantities available)
Shipping to: United States
Delivery in 10 to 12 Business Days
 
FDPS Reactivity: Human WB, IHC, IP, ICC Host: Rabbit Polyclonal unconjugated
Catalog No. ABIN7442606
$326.15
Plus shipping costs $50.00
100 μL (More quantities available)
Shipping to: United States
Delivery in 13 to 17 Business Days
 
FDPS Reactivity: Human WB Host: Rabbit Polyclonal unconjugated
Catalog No. ABIN6140569
$383.00
Plus shipping costs $50.00
100 μL (More quantities available)
Shipping to: United States
Delivery in 7 to 10 Business Days
 
KD Validated FDPS Reactivity: Human WB, FACS Host: Rabbit Monoclonal 23GB1395 unconjugated Recombinant Antibody
Catalog No. ABIN7798569
$598.92
Plus shipping costs $50.00
100 μL
Shipping to: United States
Delivery in 3 to 5 Business Days
 
FDPS Reactivity: Human, Rat, Mouse IHC, ELISA Host: Rabbit Polyclonal unconjugated
Catalog No. ABIN7247144
$538.80
Plus shipping costs $50.00
200 μL (More quantities available)
Shipping to: United States
Delivery in 11 to 15 Business Days
 
FDPS Reactivity: Human WB, IP Host: Rabbit Polyclonal unconjugated
Catalog No. ABIN515584
$474.46
Plus shipping costs $50.00
100 μL
Shipping to: United States
Delivery in 11 to 14 Business Days
 
FDPS Reactivity: Human, Mouse WB Host: Mouse Monoclonal 1049CT13-1-4 unconjugated
Catalog No. ABIN6242923
$451.00
Plus shipping costs $50.00
200 μL (More quantities available)
Shipping to: United States
Delivery in 10 to 12 Business Days
 
FDPS Reactivity: Human WB Host: Mouse Polyclonal unconjugated
Catalog No. ABIN515583
$489.14
Plus shipping costs $50.00
50 μg
Shipping to: United States
Delivery in 11 to 14 Business Days
 
FDPS Reactivity: Human ELISA Host: Mouse Monoclonal 3A6 unconjugated
Catalog No. ABIN515586
$489.14
Plus shipping costs $50.00
100 μg
Shipping to: United States
Delivery in 11 to 14 Business Days
 
FDPS Reactivity: Rat WB, IHC, IP, ICC Host: Rabbit Polyclonal unconjugated
Catalog No. ABIN1867898
$266.00
Plus shipping costs $50.00
100 μL (More quantities available)
Shipping to: United States
Delivery in 13 to 17 Business Days
 
FDPS Reactivity: Human WB, EIA Host: Rabbit Polyclonal unconjugated
Catalog No. ABIN952387
$846.00
Plus shipping costs $50.00
0.4 mL
Shipping to: United States
Delivery in 1 to 2 Business Days
 
FDPS Reactivity: Human WB Host: Mouse Monoclonal H11L1 unconjugated
Catalog No. ABIN7091096
$453.85
Plus shipping costs $50.00
100 μL
Shipping to: United States
Delivery in 8 to 12 Business Days
 
FDPS Reactivity: Rat ELISA, ICC, IHC (p), IF (cc), IF (p), IHC (fro) Host: Rabbit Polyclonal unconjugated
Catalog No. ABIN1714535
$384.62
Plus shipping costs $50.00
100 μL
Shipping to: United States
Delivery in 4 to 7 Business Days
 
FDPS Reactivity: Human ELISA Host: Rabbit Polyclonal HRP
Catalog No. ABIN7152574
$394.68
Plus shipping costs $50.00
100 μg (More quantities available)
Shipping to: United States
Delivery in 13 to 17 Business Days
 
FDPS Reactivity: Human Host: Rabbit Polyclonal FITC
Catalog No. ABIN7152573
$394.68
Plus shipping costs $50.00
100 μg (More quantities available)
Shipping to: United States
Delivery in 13 to 17 Business Days
 
FDPS Reactivity: Human ELISA Host: Rabbit Polyclonal Biotin
Catalog No. ABIN7152572
$394.68
Plus shipping costs $50.00
100 μg (More quantities available)
Shipping to: United States
Delivery in 13 to 17 Business Days
 
FDPS Reactivity: Rat WB, IHC, IP, ICC Host: Rabbit Polyclonal unconjugated
Catalog No. ABIN7638583
$347.18
Plus shipping costs $50.00
100 μL (More quantities available)
Shipping to: United States
Delivery in 13 to 17 Business Days
 
  • Type Primary
    • Primary
  • Application
    • Western Blotting (WB)
    • Immunohistochemistry (IHC)
    • ELISA
    • Immunoprecipitation (IP)
    • Flow Cytometry (FACS)
    • Immunocytochemistry (ICC)
    • Immunohistochemistry (Paraffin-embedded Sections) (IHC (p))
    • Immunofluorescence (IF)
    • Immunofluorescence (fixed cells) (IF/ICC)
    • Enzyme Immunoassay (EIA)
    • Immunofluorescence (Cultured Cells) (IF (cc))
    • Immunofluorescence (Paraffin-embedded Sections) (IF (p))
    • Immunohistochemistry (Frozen Sections) (IHC (fro))
  • Reactivity
    • Human
    • Rat
    • Mouse
    • Dog
    • Horse
    • Pig
    • Rabbit
    • Bat
    • Cow
    • Guinea Pig
    • Monkey
  • Cited in publications
  • Images available
  • Preservative free only
  • Carrier free only
  • Host
    • Rabbit
    • Mouse
  • Clonality
    • Polyclonal
    • Monoclonal
  • Clone
    • S07-2G6
    • C1
    • 1049CT13-1-4
    • 12H4
    • 12H412H4
    • 23GB1395
    • 28F58
    • 3A6
    • H11L1
    • RB04786
    • RB4783-4784
  • Binding Specificity
    • AA 1-419
    • AA 389-419
    • AA 54-82
    • N-Term
    • AA 1-353
    • AA 53-82
    • AA 12-347
    • AA 120-419
    • AA 197-246
    • AA 201-300
    • AA 29-397
    • AA 320-419
    • AA 50-100
    • AA 82-112
    • C-Term
  • Conjugate
    • Un-conjugated
    • Biotin
    • FITC
    • Alexa Fluor 488
    • Alexa Fluor 555
    • Alexa Fluor 594
    • Alexa Fluor 647
    • Alexa Fluor 680
    • Alexa Fluor 750
    • HRP
    • APC
    • Alexa Fluor 350
    • Alexa Fluor 405
    • PE
  • Isotype
    • IgG
    • Ig Fraction
    • IgG1 kappa
    • IgG2a
    • IgG2b kappa
  • Protein Type
    • Recombinant Antibody
  • Format
    • Liquid
    • Lyophilized
  • Grade
    • KD Validated
  • Supplier
    • antibodies-online
    • Signalway
    • Abbexa
    • Boster Bio
    • Acris
    • Aviva Systems Biology
    • Biomatik
    • Cloud-Clone
    • Cohesion Biosciences
    • USBio
    • Wuhan Fine biotech

Latest Publications for our FDPS Antibodies

Sousa, Auriola, Mönkkönen, Määttä: "Liposome encapsulated zoledronate favours M1-like behaviour in murine macrophages cultured with soluble factors from breast cancer cells." in: BMC cancer, Vol. 15, pp. 4, (2015) (PubMed).

Todenhöfer, Hennenlotter, Kühs, Gerber, Gakis, Vogel, Aufderklamm, Merseburger, Knapp, Stenzl, Schwentner: "Altered expression of farnesyl pyrophosphate synthase in prostate cancer: evidence for a role of the mevalonate pathway in disease progression?" in: World journal of urology, Vol. 31, Issue 2, pp. 345-50, (2013) (PubMed).

Zhang, Dai, Wang: "5-Aza-2'-deoxycytidine induced growth inhibition of leukemia cells through modulating endogenous cholesterol biosynthesis." in: Molecular & cellular proteomics : MCP, Vol. 11, Issue 7, pp. M111.016915, (2012) (PubMed).

Ishimoto, Tachibana, Hanano, Yamasaki, Nakamura, Kawai, Urano, Tanaka, Hamakubo, Sakai, Kodama, Doi: "Sterol-regulatory-element-binding protein 2 and nuclear factor Y control human farnesyl diphosphate synthase expression and affect cell proliferation in hepatoblastoma cells." in: The Biochemical journal, Vol. 429, Issue 2, pp. 347-57, (2010) (PubMed).

Räikkönen, Mönkkönen, Auriola, Mönkkönen: "Mevalonate pathway intermediates downregulate zoledronic acid-induced isopentenyl pyrophosphate and ATP analog formation in human breast cancer cells." in: Biochemical pharmacology, Vol. 79, Issue 5, pp. 777-83, (2010) (PubMed).

Li, Herold, Kimmel, Müller, Rincon-Orozco, Kunzmann, Herrmann: "Reduced expression of the mevalonate pathway enzyme farnesyl pyrophosphate synthase unveils recognition of tumor cells by Vgamma9Vdelta2 T cells." in: Journal of immunology (Baltimore, Md. : 1950), Vol. 182, Issue 12, pp. 8118-24, (2009) (PubMed).

Strausberg, Feingold, Grouse, Derge, Klausner, Collins, Wagner, Shenmen, Schuler, Altschul, Zeeberg, Buetow, Schaefer, Bhat, Hopkins, Jordan, Moore, Max, Wang, Hsieh, Diatchenko, Marusina, Farmer et al.: "Generation and initial analysis of more than 15,000 full-length human and mouse cDNA sequences. ..." in: Proceedings of the National Academy of Sciences of the United States of America, Vol. 99, Issue 26, pp. 16899-903, (2002) (PubMed).

Wilkin, Kutsunai, Edwards et al.: "Isolation and sequence of the human farnesyl pyrophosphate synthetase cDNA. Coordinate regulation of the mRNAs for farnesyl pyrophosphate synthetase, 3-hydroxy-3-methylglutaryl coenzyme A reductase, ..." in: The Journal of biological chemistry, Vol. 265, Issue 8, pp. 4607-14, (1990) (PubMed).

Sheares, White, Molowa, Chan, Ding, Kroon, Bostedor, Karkas: "Cloning, analysis, and bacterial expression of human farnesyl pyrophosphate synthetase and its regulation in Hep G2 cells." in: Biochemistry, Vol. 28, Issue 20, pp. 8129-35, (1990) (PubMed).

Aliases for FDPS Antibodies

Farnesyl pyrophosphate synthase (Fpps) Antibodies
farnesyl diphosphate synthase (fdps) Antibodies
farnesyl diphosphate synthase L homeolog (fdps.L) Antibodies
farnesyl pyrophosphate synthase (MGG_08649) Antibodies
farnesyl pyrophosphate synthetase (TP03_0857) Antibodies
farnesyl pyrophosphate synthetase (Tb09.160.4300) Antibodies
farnesyl-pyrophosphate synthetase (fpp) Antibodies
farnesyl pyrophosphate synthetase (BBOV_I000120) Antibodies
FDP synthase (fps) Antibodies
Farnesyl pyrophosphate synthetase (fpps) Antibodies
farnesyl diphosphate synthase (FDPS) Antibodies
farnesyl diphosphate synthase (Fdps) Antibodies
farnesyl diphosphate synthetase (Fdps) Antibodies
farnesyl pyrophosphate synthase 1 (fps1) Antibodies
(2E Antibodies
16.m00760 Antibodies
6030492I17Rik Antibodies
Ac2-125 Antibodies
AI256750 Antibodies
CG12389 Antibodies
DDBDRAFT_0206220 Antibodies
DDBDRAFT_0215017 Antibodies
DDB_0206220 Antibodies
DDB_0215017 Antibodies
Dmel\\CG12389 Antibodies
DmFPPS Antibodies
DmFPPSase Antibodies
DmFPS Antibodies
Fdpsl1 Antibodies
fpps Antibodies
FPPS Antibodies
FPS Antibodies
fps Antibodies
l(2)k06103 Antibodies
mKIAA1293 Antibodies
NCU01175.1 Antibodies
v(2)k03514 Antibodies
You are here:
Chat with us!