Phone:
+1 877 302 8632
Fax:
+1 888 205 9894 (Toll-free)
E-Mail:
orders@antibodies-online.com

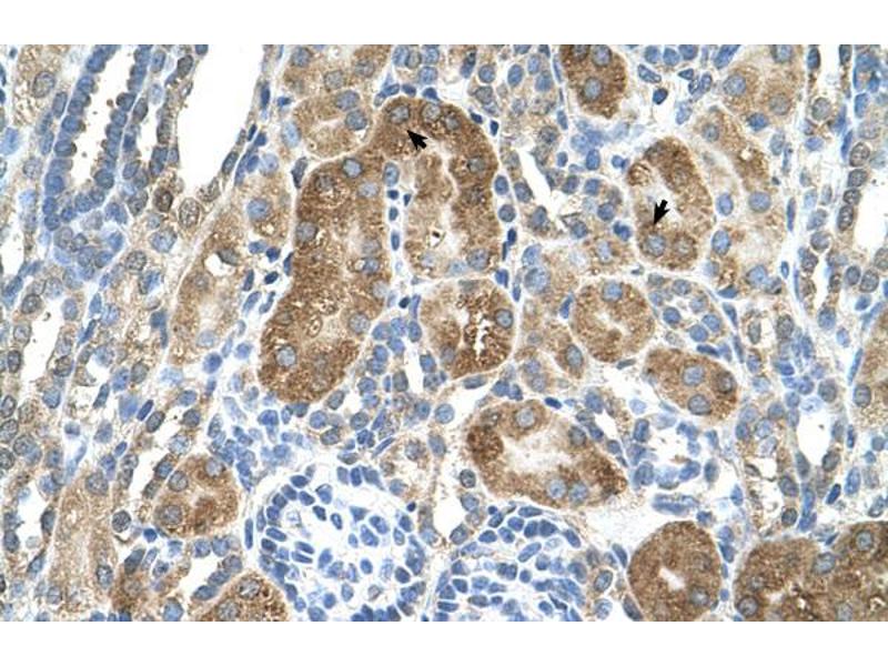
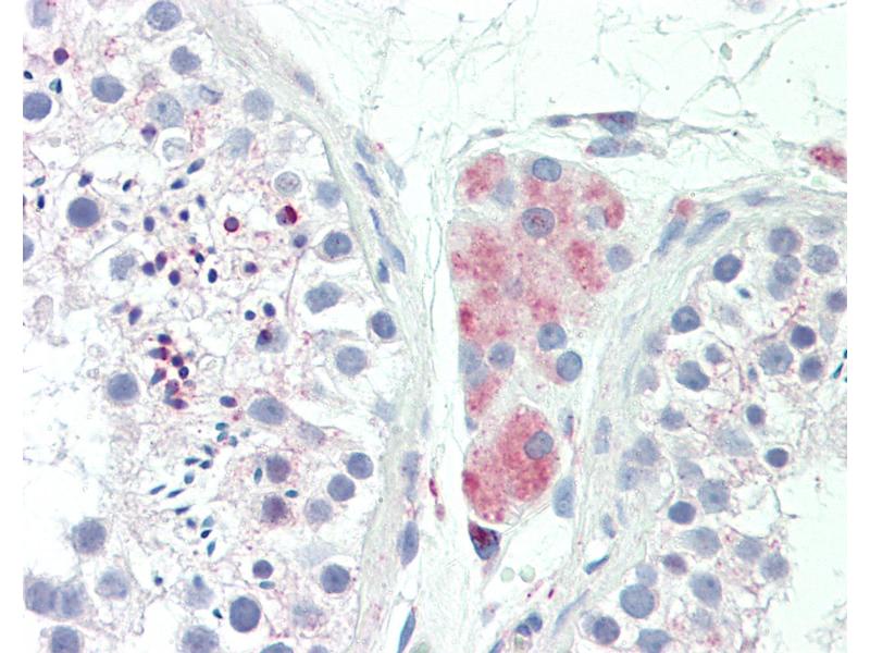
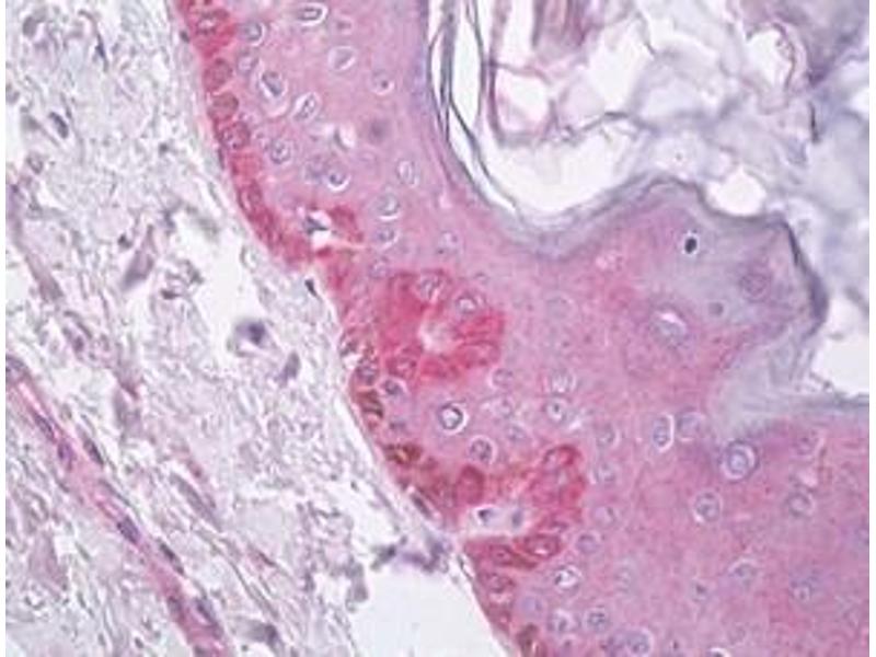
LY6G6F Antibodies

(Lymphocyte Antigen 6 Complex, Locus G6F (LY6G6F))

Choose one of 22 LY6G6F antibodies from our product listing based on 12 validation images.

Explore reliable LY6G6F antibodies from a broad selection of renowned manufacturers. Our portfolio enables accurate LY6G6F detection across multiple species, including Human, Dog, Cow, Guinea Pig, Horse, Monkey, Rabbit, and supports diverse research applications such as WB, ELISA, IHC, EIA, IF.

Quickly find the right antibody using our search, filter, and comparison tools. Each product page provides detailed validation data, literature references, and customer feedback. Unlike comparison-only resources, you can conveniently purchase antibodies directly through our site. Choose from polyclonal, monoclonal, or recombinant LY6G6F antibodies derived from various hosts such as Rabbit. Browse our products below and order directly to support your research with confidence.

Alternative names for LY6G6F are LY6G6F, Ly6g6f.

22 results

LY6G6F Reactivity: Human WB, IHC Host: Rabbit Polyclonal unconjugated
Catalog No. ABIN630316
$1,297.32
Plus shipping costs $50.00
100 μg
Shipping to: United States
Delivery in 9 to 12 Business Days
 
LY6G6F Reactivity: Human WB Host: Rabbit Polyclonal RB36393 unconjugated
Catalog No. ABIN1539469
$451.00
Plus shipping costs $50.00
400 μL (More quantities available)
Shipping to: United States
Delivery in 10 to 12 Business Days
 
LY6G6F Reactivity: Human, Monkey WB, IHC, IHC (p) Host: Rabbit Polyclonal unconjugated
Catalog No. ABIN2586520
$476.30
Plus shipping costs $50.00
100 μL
Shipping to: United States
Delivery in 11 to 15 Business Days
 
LY6G6F Reactivity: Human, Dog, Cow WB Host: Rabbit Polyclonal unconjugated
Catalog No. ABIN6739178
$690.07
Plus shipping costs $50.00
100 μL
Shipping to: United States
Delivery in 11 to 15 Business Days
 
LY6G6F Reactivity: Human WB Host: Rabbit Polyclonal unconjugated
Catalog No. ABIN960257
$632.87
Plus shipping costs $50.00
100 μg
Shipping to: United States
Delivery in 11 to 15 Business Days
 
LY6G6F Reactivity: Human, Dog WB, IHC Host: Rabbit Polyclonal unconjugated
Catalog No. ABIN2781873
$429.69
Plus shipping costs $50.00
100 μL (More quantities available)
Shipping to: United States
Delivery in 2 to 4 Business Days
 
LY6G6F Reactivity: Human WB Host: Rabbit Polyclonal unconjugated
Catalog No. ABIN2586521
$1,153.53
Plus shipping costs $50.00
200 μL
Shipping to: United States
Delivery in 11 to 15 Business Days
 
LY6G6F Reactivity: Human WB, ELISA Host: Rabbit Polyclonal Biotin
Catalog No. ABIN1910942
$1,480.60
Plus shipping costs $50.00
200 μL
Shipping to: United States
Delivery in 11 to 15 Business Days
 
LY6G6F Reactivity: Human WB, ELISA Host: Rabbit Polyclonal FITC
Catalog No. ABIN1910945
$1,480.60
Plus shipping costs $50.00
200 μL
Shipping to: United States
Delivery in 11 to 15 Business Days
 
LY6G6F Reactivity: Human WB, ELISA Host: Rabbit Polyclonal HRP
Catalog No. ABIN1910947
$1,480.60
Plus shipping costs $50.00
200 μL
Shipping to: United States
Delivery in 11 to 15 Business Days
 
LY6G6F Reactivity: Human WB, ELISA Host: Rabbit Polyclonal APC
Catalog No. ABIN1910944
$1,480.60
Plus shipping costs $50.00
200 μL
Shipping to: United States
Delivery in 11 to 15 Business Days
 
LY6G6F Reactivity: Human WB, ELISA Host: Rabbit Polyclonal PE
Catalog No. ABIN1910946
$1,480.60
Plus shipping costs $50.00
200 μL
Shipping to: United States
Delivery in 11 to 15 Business Days
 
LY6G6F Reactivity: Human WB Host: Rabbit Polyclonal unconjugated
Catalog No. ABIN1811214
$643.13
Plus shipping costs $50.00
400 μL
Shipping to: United States
Delivery in 11 to 15 Business Days
 
LY6G6F Reactivity: Human WB, ELISA, IF Host: Rabbit Polyclonal unconjugated
Catalog No. ABIN7115942
$494.77
Plus shipping costs $50.00
100 μg
Shipping to: United States
Delivery in 13 to 17 Business Days
 
LY6G6F Reactivity: Human WB, EIA Host: Rabbit Polyclonal unconjugated
Catalog No. ABIN953254
$846.00
Plus shipping costs $50.00
0.4 mL
Shipping to: United States
Delivery in 1 to 2 Business Days
 
LY6G6F Reactivity: Human WB, EIA, IHC (fro) Host: Rabbit Polyclonal unconjugated
Catalog No. ABIN1108078
$924.00
Plus shipping costs $50.00
0.1 mg
Shipping to: United States
Delivery in 1 to 2 Business Days
 
LY6G6F Reactivity: Human WB, ELISA, IHC Host: Rabbit Polyclonal unconjugated
Catalog No. ABIN347399
$484.62
Plus shipping costs $50.00
100 μL (More quantities available)
Shipping to: United States
Delivery in 6 to 9 Business Days
 
LY6G6F Reactivity: Human, Dog, Cow, Guinea Pig, Horse, Rabbit WB Host: Rabbit Polyclonal unconjugated
Catalog No. ABIN2781874
$483.54
Plus shipping costs $50.00
100 μL (More quantities available)
Shipping to: United States
Delivery in 2 to 4 Business Days
 
LY6G6F Reactivity: Human WB Host: Rabbit Polyclonal unconjugated
Catalog No. ABIN2304608
$920.00
Plus shipping costs $50.00
200 μL
Shipping to: United States
Delivery in 11 to 17 Business Days
 
LY6G6F Reactivity: Human WB Host: Rabbit Polyclonal FITC
Catalog No. ABIN2304605
$1,164.79
Plus shipping costs $50.00
200 μL
Shipping to: United States
Delivery in 21 to 27 Business Days
 
  • Type Primary
    • Primary
  • Application
    • Western Blotting (WB)
    • ELISA
    • Immunohistochemistry (IHC)
    • Enzyme Immunoassay (EIA)
    • Immunofluorescence (IF)
    • Immunohistochemistry (Frozen Sections) (IHC (fro))
    • Immunohistochemistry (Paraffin-embedded Sections) (IHC (p))
  • Reactivity
    • Human
    • Dog
    • Cow
    • Guinea Pig
    • Horse
    • Monkey
    • Rabbit
  • Images available
  • Preservative free only
  • Host
    • Rabbit
  • Clonality
    • Polyclonal
  • Clone
    • RB36393
  • Binding Specificity
    • AA 56-84
    • N-Term
    • C-Term
    • AA 144-193
    • AA 50-100
    • AA 51-100
    • AA 55-84
    • Middle Region
  • Conjugate
    • Un-conjugated
    • Biotin
    • FITC
    • APC
    • HRP
    • PE
  • Isotype
    • IgG
    • Ig Fraction
  • Format
    • Liquid
    • Lyophilized
  • Supplier
    • antibodies-online
    • USBio
    • Acris
    • Aviva Systems Biology
    • Cohesion Biosciences
    • Covalab

Aliases for LY6G6F Antibodies

lymphocyte antigen 6 family member G6F (LY6G6F) Antibodies
lymphocyte antigen 6 family member G6F (Ly6g6f) Antibodies
lymphocyte antigen 6 complex, locus G6F (Ly6g6f) Antibodies
C6orf21 Antibodies
C6ORF21 Antibodies
CJ068215 Antibodies
G6f Antibodies
LY6G6D Antibodies
NG32 Antibodies
You are here:
Chat with us!