Phone:
+1 877 302 8632
Fax:
+1 888 205 9894 (Toll-free)
E-Mail:
orders@antibodies-online.com

MMP19 Antibodies

(Matrix Metallopeptidase 19 (MMP19))

Choose one of 68 MMP19 antibodies from our product listing based on 54 validation images.

Explore reliable MMP19 antibodies from a broad selection of renowned manufacturers. Our portfolio enables accurate MMP19 detection across multiple species, including Human, Mouse, Rat, Dog, Cow, Horse, Rabbit, Guinea Pig, Monkey, Pig, and supports diverse research applications such as WB, IHC, ELISA, IF (cc), IF (p).

Quickly find the right antibody using our search, filter, and comparison tools. Each product page provides detailed validation data, literature references, and customer feedback. Unlike comparison-only resources, you can conveniently purchase antibodies directly through our site. Choose from polyclonal, monoclonal, or recombinant MMP19 antibodies derived from various hosts such as Rabbit, Mouse, Goat. Browse our products below and order directly to support your research with confidence.

Alternative names for MMP19 are mmp19, mmp1.S, MMP19, Mmp19.

68 results

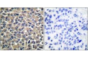
MMP19 Reactivity: Human WB, ELISA, ICC, IHC (p), IHC (fro) Host: Rabbit Polyclonal unconjugated
Catalog No. ABIN7434200
$313.13
Plus shipping costs $50.00
100 μL (More quantities available)
Shipping to: United States
Delivery in 13 to 17 Business Days
 
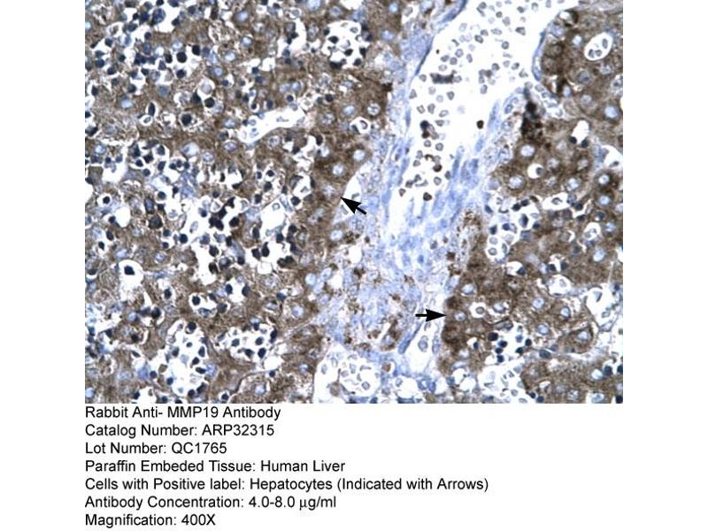
MMP19 Reactivity: Human, Mouse, Rat, Dog, Cow, Horse, Rabbit, Pig WB, IHC Host: Rabbit Polyclonal unconjugated
Catalog No. ABIN2779559
$483.54
Plus shipping costs $50.00
100 μL (More quantities available)
Shipping to: United States
Delivery in 2 to 4 Business Days
 
MMP19 Reactivity: Human WB, IHC (p), FACS Host: Rabbit Polyclonal RB02035 unconjugated
Catalog No. ABIN390142
$451.00
Plus shipping costs $50.00
400 μL (More quantities available)
Shipping to: United States
Delivery in 10 to 12 Business Days
 
MMP19 Reactivity: Human, Dog WB, IHC Host: Rabbit Polyclonal unconjugated
Catalog No. ABIN633173
$1,297.32
Plus shipping costs $50.00
100 μL
Shipping to: United States
Delivery in 9 to 12 Business Days
 
MMP19 Reactivity: Human, Mouse, Rat, Dog WB, IHC Host: Rabbit Polyclonal unconjugated
Catalog No. ABIN6735807
$690.07
Plus shipping costs $50.00
100 μL
Shipping to: United States
Delivery in 11 to 15 Business Days
 
MMP19 Reactivity: Human, Mouse WB, IHC, IHC (p) Host: Rabbit Polyclonal unconjugated
Catalog No. ABIN202685
$649.00
Plus shipping costs $50.00
100 μL
Shipping to: United States
Delivery in 11 to 15 Business Days
 
MMP19 Reactivity: Human, Mouse WB, IHC, ELISA, ICC, IF Host: Rabbit Polyclonal unconjugated
Catalog No. ABIN6263298
$494.77
Plus shipping costs $50.00
100 μL (More quantities available)
Shipping to: United States
Delivery in 11 to 13 Business Days
 
MMP19 Reactivity: Human, Mouse, Rat, Dog, Cow, Horse, Rabbit, Guinea Pig WB, IHC Host: Rabbit Polyclonal unconjugated
Catalog No. ABIN2779560
$429.69
Plus shipping costs $50.00
100 μL (More quantities available)
Shipping to: United States
Delivery in 2 to 4 Business Days
 
MMP19 Reactivity: Human, Mouse WB, ELISA, ICC, IHC (p), IF (cc), IF (p), IHC (fro) Host: Rabbit Polyclonal unconjugated
Catalog No. ABIN1387507
$384.62
Plus shipping costs $50.00
100 μL
Shipping to: United States
Delivery in 4 to 7 Business Days
 
MMP19 Reactivity: Human WB, IHC (p) Host: Rabbit Polyclonal unconjugated
Catalog No. ABIN2856065
$564.19
Plus shipping costs $50.00
100 μL
Shipping to: United States
Delivery in 3 to 5 Business Days
 
MMP19 Reactivity: Human WB Host: Mouse Polyclonal unconjugated
Catalog No. ABIN517976
$489.14
Plus shipping costs $50.00
50 μg
Shipping to: United States
Delivery in 11 to 14 Business Days
 
MMP19 Reactivity: Human WB, IHC, ELISA Host: Rabbit Polyclonal unconjugated
Catalog No. ABIN7159068
$394.68
Plus shipping costs $50.00
100 μL (More quantities available)
Shipping to: United States
Delivery in 13 to 17 Business Days
 
MMP19 Reactivity: Human WB, IHC, FACS Host: Rabbit Polyclonal unconjugated
Catalog No. ABIN3002548
$780.66
Plus shipping costs $50.00
400 μL (More quantities available)
Shipping to: United States
Delivery in 10 to 18 Business Days
 
MMP19 Reactivity: Human, Mouse WB, IHC, ELISA Host: Rabbit Polyclonal unconjugated
Catalog No. ABIN3185598
$402.79
Plus shipping costs $50.00
100 μL (More quantities available)
Shipping to: United States
Delivery in 11 to 15 Business Days
 
MMP19 Reactivity: Human WB Host: Rabbit Polyclonal RB33779 unconjugated
Catalog No. ABIN657681
$451.00
Plus shipping costs $50.00
400 μL (More quantities available)
Shipping to: United States
Delivery in 10 to 12 Business Days
 
MMP19 Reactivity: Human WB, IHC, ELISA Host: Rabbit Polyclonal unconjugated
Catalog No. ABIN7188877
$262.68
Plus shipping costs $50.00
100 μg (More quantities available)
Shipping to: United States
Delivery in 13 to 17 Business Days
 
MMP19 Reactivity: Mouse WB, IHC, ICC, IP Host: Rabbit Polyclonal unconjugated
Catalog No. ABIN1869239
$239.00
Plus shipping costs $50.00
100 μL (More quantities available)
Shipping to: United States
Delivery in 13 to 17 Business Days
 
MMP19 Reactivity: Human, Mouse WB, IHC, ELISA Host: Rabbit Polyclonal unconjugated
Catalog No. ABIN1533349
$341.00
Plus shipping costs $50.00
100 μL (More quantities available)
Shipping to: United States
Delivery in 2 to 4 Business Days
 
MMP19 Reactivity: Human, Monkey WB, IHC Host: Rabbit Polyclonal unconjugated
Catalog No. ABIN7296336
$330.77
Plus shipping costs $50.00
100 μL (More quantities available)
Shipping to: United States
Delivery in 13 to 15 Business Days
 
MMP19 Reactivity: Human, Mouse WB, IF (cc), IF (p) Host: Rabbit Polyclonal AbBy Fluor® 750
Catalog No. ABIN5006954
$458.46
Plus shipping costs $50.00
100 μL
Shipping to: United States
Delivery in 16 to 20 Business Days
 
  • Type Primary
    • Primary
  • Application
    • Western Blotting (WB)
    • Immunohistochemistry (IHC)
    • ELISA
    • Immunofluorescence (Cultured Cells) (IF (cc))
    • Immunofluorescence (Paraffin-embedded Sections) (IF (p))
    • Immunohistochemistry (Paraffin-embedded Sections) (IHC (p))
    • Immunocytochemistry (ICC)
    • Immunoprecipitation (IP)
    • Flow Cytometry (FACS)
    • Immunohistochemistry (Frozen Sections) (IHC (fro))
    • Immunofluorescence (IF)
    • Enzyme Immunoassay (EIA)
    • Immunofluorescence (fixed cells) (IF/ICC)
  • Reactivity
    • Human
    • Mouse
    • Rat
    • Dog
    • Cow
    • Horse
    • Rabbit
    • Guinea Pig
    • Monkey
    • Pig
  • Images available
  • Preservative free only
  • Carrier free only
  • Host
    • Rabbit
    • Mouse
    • Goat
    • Sheep
  • Clonality
    • Polyclonal
    • Monoclonal
  • Clone
    • RB02035
    • RB33779
  • Binding Specificity
    • AA 251-350
    • AA 344-373
    • AA 55-84
    • N-Term
    • C-Term
    • AA 1-508
    • AA 209-508
    • AA 229-508
    • AA 99-512
    • AA 11-60
    • AA 120-437
    • AA 349-398
    • AA 56-105
    • AA 98-508
    • Gly44
  • Conjugate
    • Un-conjugated
    • Biotin
    • FITC
    • HRP
    • APC
    • PE
    • AbBy Fluor® 350
    • AbBy Fluor® 488
    • AbBy Fluor® 555
    • AbBy Fluor® 594
    • AbBy Fluor® 647
    • AbBy Fluor® 680
    • AbBy Fluor® 750
    • Alexa Fluor 488
    • Alexa Fluor 555
    • Alexa Fluor 594
    • Alexa Fluor 647
    • Alexa Fluor 680
    • Alexa Fluor 750
    • Cy3
    • Cy5
    • Cy5.5
    • Cy7
  • Isotype
    • IgG
    • Ig Fraction
  • Format
    • Liquid
    • Lyophilized
  • Supplier
    • antibodies-online
    • Signalway
    • Abbexa
    • Aviva Systems Biology
    • Acris
    • Angio-Proteomie
    • Assay Biotechnology Company, Inc.
    • Biomatik
    • Boster Bio
    • Cloud-Clone
    • Cohesion Biosciences
    • ProSci
    • ProteoGenix
    • USBio

Latest Publications for our MMP19 Antibodies

Shang, Ji, Zhang, Chen, Li, Shi, Xiang, Kang, Zhang, Yang, Dai, Chen, Chen, Chen, Li, Miao: "Macrophage ABHD5 Suppresses NFκB-Dependent Matrix Metalloproteinase Expression and Cancer Metastasis." in: Cancer research, Vol. 79, Issue 21, pp. 5513-5526, (2019) (PubMed).

Sena, Mariani, Marzona, Benincasa, Ponz de Leon, Palumbo, Roncucci: "Matrix metalloproteinases 15 and 19 are stromal regulators of colorectal cancer development from the early stages." in: International journal of oncology, Vol. 41, Issue 1, pp. 260-6, (2012) (PubMed).

Sadowski, Dietrich, Koschinsky, Sedlacek et al.: "Matrix metalloproteinase 19 regulates insulin-like growth factor-mediated proliferation, migration, and adhesion in human keratinocytes through proteolysis of insulin-like growth factor binding ..." in: Molecular biology of the cell, Vol. 14, Issue 11, pp. 4569-80, (2003) (PubMed).

Impola, Toriseva, Suomela, Jeskanen, Hieta, Jahkola, Grenman, Kähäri, Saarialho-Kere: "Matrix metalloproteinase-19 is expressed by proliferating epithelium but disappears with neoplastic dedifferentiation." in: International journal of cancer. Journal international du cancer, Vol. 103, Issue 6, pp. 709-16, (2003) (PubMed).

Mauch, Kolb, Kolb, Sadowski, Sedlacek: "Matrix metalloproteinase-19 is expressed in myeloid cells in an adhesion-dependent manner and associates with the cell surface." in: Journal of immunology (Baltimore, Md. : 1950), Vol. 168, Issue 3, pp. 1244-51, (2002) (PubMed).

Aliases for MMP19 Antibodies

matrix metallopeptidase 19 (mmp19) Antibodies
matrix metallopeptidase 1 S homeolog (mmp1.S) Antibodies
matrix metallopeptidase 19 (MMP19) Antibodies
matrix metallopeptidase 19 (Mmp19) Antibodies
col4 Antibodies
mmp-18 Antibodies
mmp-19 Antibodies
mmp18 Antibodies
MMP18 Antibodies
RASI-1 Antibodies
You are here:
Chat with us!