Phone:
+1 877 302 8632
Fax:
+1 888 205 9894 (Toll-free)
E-Mail:
orders@antibodies-online.com

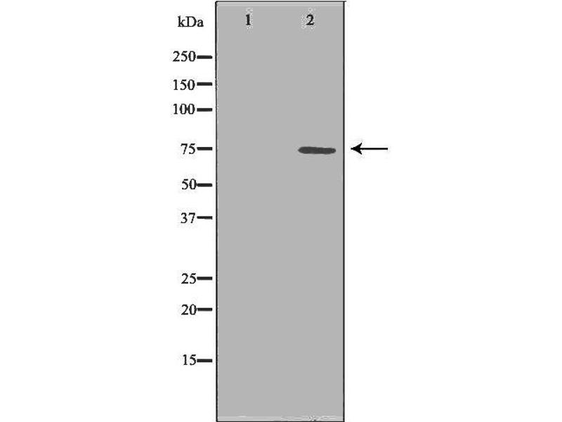
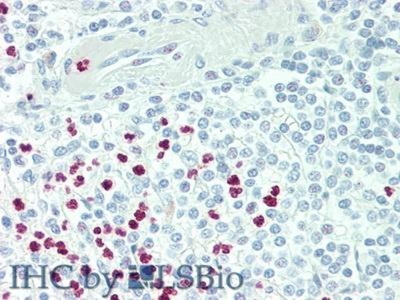
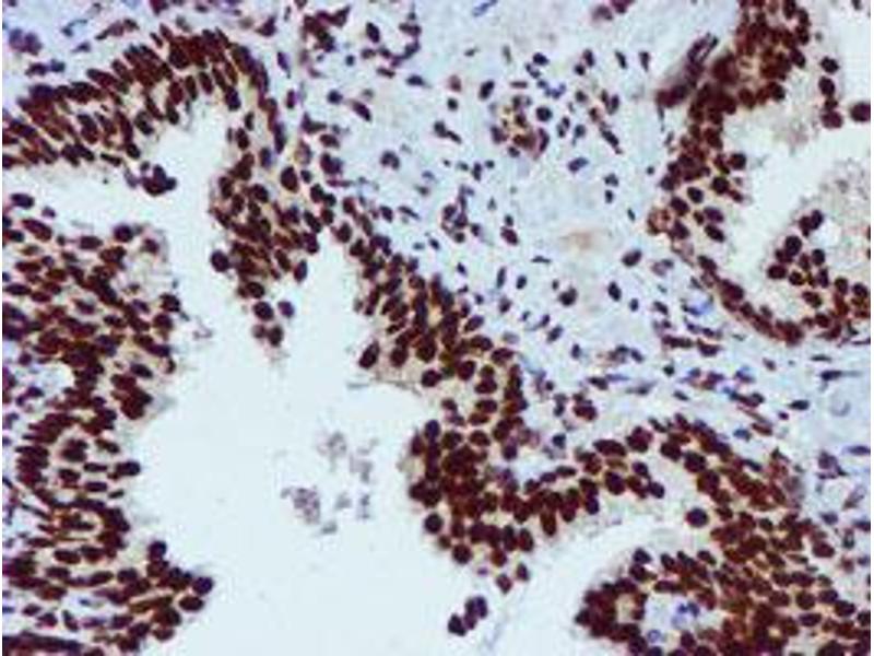
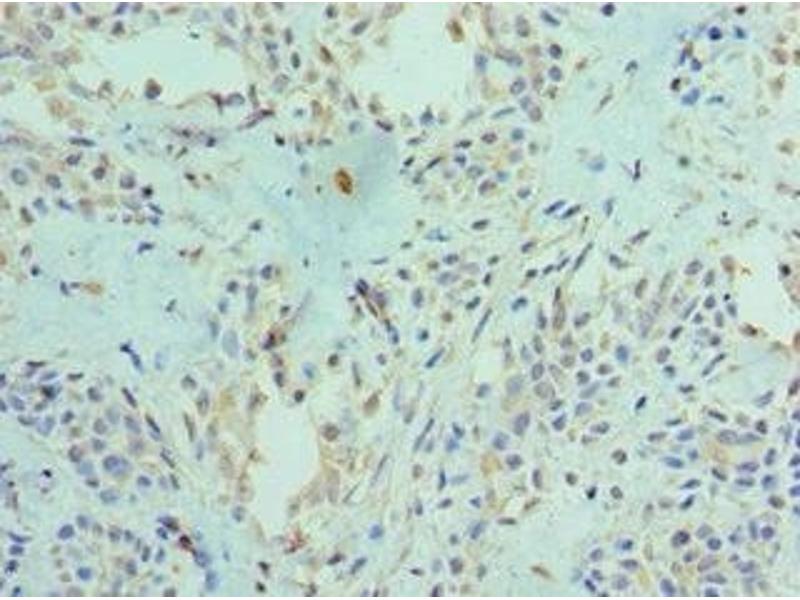
PAD4 Antibodies

(Peptidyl Arginine Deiminase, Type IV (PADI4))

Choose one of 69 PAD4 antibodies from our product listing based on 3 publications and 66 validation images.

Explore reliable PAD4 antibodies from a broad selection of renowned manufacturers. Our portfolio enables accurate PAD4 detection across multiple species, including Human, Mouse, Rat, Rabbit, Bacillus anthracis, Bat, Chicken, Cow, Dog, Guinea Pig, Horse, Monkey, Pig, Sheep, Zebrafish (Danio rerio), and supports diverse research applications such as WB, IHC, ELISA, IF, IF (cc).

Quickly find the right antibody using our search, filter, and comparison tools. Each product page provides detailed validation data, literature references, and customer feedback. Unlike comparison-only resources, you can conveniently purchase antibodies directly through our site. Choose from polyclonal, monoclonal, or recombinant PAD4 antibodies derived from various hosts such as Rabbit, Mouse, Alpaca. Browse our products below and order directly to support your research with confidence.

Alternative names for PAD4 are PADI4, Padi4.

69 results

PADI4 Reactivity: Human, Mouse WB, ICC, IF, IHC (p), ChIP Host: Rabbit Polyclonal unconjugated
Pubmed 2 references
Catalog No. ABIN2856939
$564.19
Plus shipping costs $50.00
100 μL
Shipping to: United States
Delivery in 3 to 5 Business Days
 
PADI4 Reactivity: Human WB, IHC, IF, IHC (p), FACS Host: Mouse Monoclonal 4H5 unconjugated
Catalog No. ABIN1500017
$757.53
Plus shipping costs $50.00
100 μL
Shipping to: United States
Delivery in 11 to 15 Business Days
 
PADI4 Reactivity: Human, Mouse, Rat WB, IHC Host: Rabbit Polyclonal unconjugated
Catalog No. ABIN7258978
$696.00
Plus shipping costs $50.00
200 μL (More quantities available)
Shipping to: United States
Delivery in 11 to 15 Business Days
 
Verified PADI4 Reactivity: Human IHC, ELISA, IF Host: Goat Polyclonal unconjugated
Catalog No. ABIN185308
$488.25
Plus shipping costs $50.00
100 μg
Shipping to: United States
Delivery in 1 to 3 Business Days
 
PADI4 Reactivity: Human WB, IHC, IHC (p) Host: Mouse Monoclonal 5E7 unconjugated
Catalog No. ABIN1491357
$704.73
Plus shipping costs $50.00
100 μL
Shipping to: United States
Delivery in 11 to 15 Business Days
 
PADI4 Reactivity: Human WB, IHC, ICC, IP Host: Rabbit Polyclonal unconjugated
Catalog No. ABIN7436108
$326.15
Plus shipping costs $50.00
100 μL (More quantities available)
Shipping to: United States
Delivery in 13 to 17 Business Days
 
PADI4 Reactivity: Human WB, IF Host: Rabbit Polyclonal unconjugated
Catalog No. ABIN1681212
$383.00
Plus shipping costs $50.00
100 μg (More quantities available)
Shipping to: United States
Delivery in 7 to 10 Business Days
 
PADI4 Reactivity: Human WB, FACS Host: Mouse Monoclonal 5B7 unconjugated
Catalog No. ABIN1491355
$704.73
Plus shipping costs $50.00
100 μL
Shipping to: United States
Delivery in 11 to 15 Business Days
 
PADI4 Reactivity: Human WB, IHC, IF, IHC (p) Host: Mouse Monoclonal 3E1 unconjugated
Catalog No. ABIN1491356
$704.73
Plus shipping costs $50.00
100 μL
Shipping to: United States
Delivery in 11 to 15 Business Days
 
PADI4 Reactivity: Human, Mouse, Rat WB, IHC, ELISA, ICC, IF Host: Rabbit Polyclonal unconjugated
Catalog No. ABIN6264010
$494.77
Plus shipping costs $50.00
100 μL (More quantities available)
Shipping to: United States
Delivery in 11 to 13 Business Days
 
PADI4 Reactivity: Human WB, IF Host: Rabbit Polyclonal unconjugated
Catalog No. ABIN525271
$504.43
Plus shipping costs $50.00
100 μg
Shipping to: United States
Delivery in 11 to 14 Business Days
 
PADI4 Reactivity: Human WB, ELISA, IF Host: Mouse Monoclonal 4D8 unconjugated
Catalog No. ABIN525272
$520.15
Plus shipping costs $50.00
100 μg
Shipping to: United States
Delivery in 11 to 14 Business Days
 
PADI4 Reactivity: Human WB, IHC, ELISA Host: Rabbit Polyclonal unconjugated
Catalog No. ABIN7166400
$394.68
Plus shipping costs $50.00
100 μL (More quantities available)
Shipping to: United States
Delivery in 13 to 17 Business Days
 
PADI4 Reactivity: Human WB, IHC, IF, FACS Host: Mouse Monoclonal 6A2 unconjugated
Catalog No. ABIN2728127
$608.40
Plus shipping costs $50.00
0.1 mL
Shipping to: United States
Delivery in 6 to 9 Business Days
 
PADI4 Reactivity: Human WB, IHC, IF Host: Rabbit Polyclonal unconjugated
Catalog No. ABIN7306048
$330.77
Plus shipping costs $50.00
100 μL (More quantities available)
Shipping to: United States
Delivery in 13 to 15 Business Days
 
PADI4 Reactivity: Human WB Host: Rabbit Polyclonal RB07589 unconjugated
Catalog No. ABIN389125
$451.00
Plus shipping costs $50.00
400 μL (More quantities available)
Shipping to: United States
Delivery in 10 to 12 Business Days
 
PADI4 Reactivity: Human WB, ELISA Host: Mouse Polyclonal unconjugated
Catalog No. ABIN525270
$359.85
Plus shipping costs $50.00
50 μL
Shipping to: United States
Delivery in 11 to 14 Business Days
 
PADI4 Reactivity: Human WB Host: Rabbit Polyclonal unconjugated
Catalog No. ABIN2854478
$564.19
Plus shipping costs $50.00
100 μL
Shipping to: United States
Delivery in 3 to 5 Business Days
 
PADI4 Reactivity: Human, Mouse, Rat, Rabbit, Bat, Chicken, Monkey WB Host: Rabbit Polyclonal unconjugated
Catalog No. ABIN6739016
$690.07
Plus shipping costs $50.00
100 μL
Shipping to: United States
Delivery in 11 to 15 Business Days
 
PADI4 Reactivity: Human, Mouse, Rat, Rabbit, Cow, Dog, Guinea Pig, Horse, Pig, Sheep, Zebrafish (Danio rerio) WB Host: Rabbit Polyclonal unconjugated
Pubmed 1 reference
Catalog No. ABIN2785937
$483.54
Plus shipping costs $50.00
100 μL (More quantities available)
Shipping to: United States
Delivery in 2 to 4 Business Days
 
  • Type Primary
    • Primary
  • Application
    • Western Blotting (WB)
    • Immunohistochemistry (IHC)
    • ELISA
    • Immunofluorescence (IF)
    • Immunofluorescence (Cultured Cells) (IF (cc))
    • Immunofluorescence (Paraffin-embedded Sections) (IF (p))
    • Immunohistochemistry (Paraffin-embedded Sections) (IHC (p))
    • Immunocytochemistry (ICC)
    • Immunoprecipitation (IP)
    • Flow Cytometry (FACS)
    • Immunohistochemistry (Frozen Sections) (IHC (fro))
    • Chromatin Immunoprecipitation (ChIP)
    • Enzyme Immunoassay (EIA)
    • Immunohistochemistry (Formalin-fixed Paraffin-embedded Sections) (IHC (fp))
    • Luminex Assay (LMNX)
    • Immunofluorescence (fixed cells) (IF/ICC)
  • Reactivity
    • Human
    • Mouse
    • Rat
    • Rabbit
    • Bacillus anthracis
    • Bat
    • Chicken
    • Cow
    • Dog
    • Guinea Pig
    • Horse
    • Monkey
    • Pig
    • Sheep
    • Zebrafish (Danio rerio)
  • Cited in publications
  • Images available
  • Carrier free only
  • Host
    • Rabbit
    • Mouse
    • Alpaca
    • Goat
  • Clonality
    • Polyclonal
    • Monoclonal
  • Clone
    • 1A153
    • 4D8
    • 3E1
    • 4H5
    • 5B7
    • 5E7
    • 6A2
    • ABS0745
    • C12
    • C4
    • C5
    • OTI4H5
    • RB07589
    • VHH10
  • Binding Specificity
    • AA 401-500
    • N-Term
    • C-Term
    • AA 1-250
    • AA 1-300
    • AA 1-663
    • AA 299-588
    • AA 2-110
    • AA 326-611
    • AA 512-544
    • Middle Region
    • AA 1-664
    • AA 2-111
    • AA 2-666
    • AA 326-581
    • AA 398-447
    • AA 492-512
    • Center
  • Conjugate
    • Un-conjugated
    • AbBy Fluor® 350
    • AbBy Fluor® 488
    • AbBy Fluor® 555
    • AbBy Fluor® 594
    • AbBy Fluor® 647
    • AbBy Fluor® 680
    • AbBy Fluor® 750
    • Alexa Fluor 488
    • Alexa Fluor 555
    • Alexa Fluor 594
    • Alexa Fluor 647
    • Alexa Fluor 680
    • Alexa Fluor 750
    • Biotin
    • Cy3
    • Cy5
    • Cy5.5
    • Cy7
    • FITC
    • HRP
  • Isotype
    • IgG
    • IgG1
    • IgG2a
    • Ig Fraction
    • IgG2b kappa
    • IgG2b
    • kappa
  • Protein Type
    • Recombinant Antibody
  • Format
    • Liquid
    • Lyophilized
  • Fragment
    • single-domain Antibody (sdAb)
  • Grade
    • Verified
  • Supplier
    • antibodies-online
    • Signalway
    • ProteoGenix
    • USBio
    • OriGene
    • Abbexa
    • Acris
    • Aviva Systems Biology
    • Biomatik
    • Boster Bio
    • Cohesion Biosciences
    • Covalab
    • RayBiotech

Latest Publications for our PAD4 Antibodies

Indeglia, Leung, Miller, Leu, Dougherty, Clarke, Kirven, Shao, Ke, Lovell, Barnoud, Lu, Lin, Kannan, Battaile, Yang, Batista Oliva, Claiborne, Vogel, Liu, Liu, Nefedova, Cassel, Auslander, Kossenkov, Karanicolas, Murphy: "An African-Specific Variant of TP53 Reveals PADI4 as a Regulator of p53-Mediated Tumor Suppression." in: Cancer discovery, Vol. 13, Issue 7, pp. 1696-1719, (2023) (PubMed).

Li, Lin, Deng, Strnad, Bernabei, Vogl, Burke, Nefedova: "A Novel Peptidylarginine Deiminase 4 (PAD4) Inhibitor BMS-P5 Blocks Formation of Neutrophil Extracellular Traps and Delays Progression of Multiple Myeloma." in: Molecular cancer therapeutics, Vol. 19, Issue 7, pp. 1530-1538, (2020) (PubMed).

Baka, Barta, Losonczy, Krenács, Pápay, Szarka, Sármay, Babos, Magyar, Géher, Buzás, Nagy: "Specific expression of PAD4 and citrullinated proteins in lung cancer is not associated with anti-CCP antibody production." in: International immunology, Vol. 23, Issue 6, pp. 405-14, (2011) (PubMed).

Liu, Mani, Davis, Sarrafzadegan, Kavathas, Mani: "Mutation in EGFP domain of LDL receptor-related protein 6 impairs cellular LDL clearance." in: Circulation research, Vol. 103, Issue 11, pp. 1280-8, (2008) (PubMed).

Costenbader, Chang, De Vivo, Plenge, Karlson: "Genetic polymorphisms in PTPN22, PADI-4, and CTLA-4 and risk for rheumatoid arthritis in two longitudinal cohort studies: evidence of gene-environment interactions with heavy cigarette smoking." in: Arthritis research & therapy, Vol. 10, Issue 3, pp. R52, (2008) (PubMed).

Nakayama-Hamada, Suzuki, Kubota, Takazawa, Ohsaka, Kawaida, Ono, Kasuya, Furukawa, Yamada, Yamamoto: "Comparison of enzymatic properties between hPADI2 and hPADI4." in: Biochemical and biophysical research communications, Vol. 327, Issue 1, pp. 192-200, (2005) (PubMed).

Wang, Wysocka, Sayegh, Lee, Perlin, Leonelli, Sonbuchner, McDonald, Cook, Dou, Roeder, Clarke, Stallcup, Allis, Coonrod: "Human PAD4 regulates histone arginine methylation levels via demethylimination." in: Science (New York, N.Y.), Vol. 306, Issue 5694, pp. 279-83, (2004) (PubMed).

Barton, Bowes, Eyre, Spreckley, Hinks, John, Worthington: "A functional haplotype of the PADI4 gene associated with rheumatoid arthritis in a Japanese population is not associated in a United Kingdom population." in: Arthritis and rheumatism, Vol. 50, Issue 4, pp. 1117-21, (2004) (PubMed).

Aliases for PAD4 Antibodies

peptidyl arginine deiminase 4 (PADI4) Antibodies
peptidyl arginine deiminase, type IV (Padi4) Antibodies
peptidyl arginine deiminase 4 (Padi4) Antibodies
PAD Antibodies
PAD4 Antibodies
Pad4 Antibodies
PADI5 Antibodies
PDI4 Antibodies
Pdi4 Antibodies
PDI5 Antibodies
You are here:
Chat with us!