Phone:
+1 877 302 8632
Fax:
+1 888 205 9894 (Toll-free)
E-Mail:
orders@antibodies-online.com

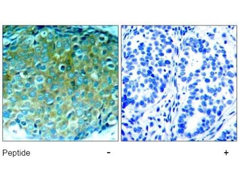
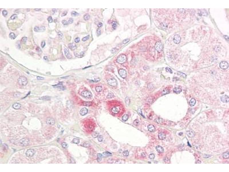
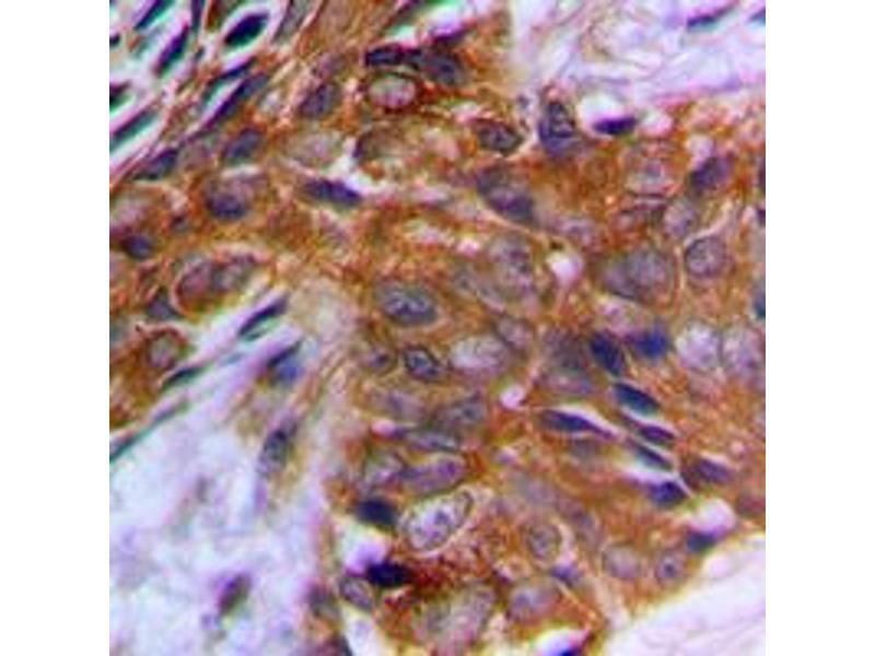
PAK1 Antibodies

(P21-Activated Kinase 1 (PAK1))

Choose one of 184 PAK1 antibodies from our product listing based on 7 publications and 117 validation images.

Explore reliable PAK1 antibodies from a broad selection of renowned manufacturers. Our portfolio enables accurate PAK1 detection across multiple species, including Human, Rat, Mouse, Cow, Dog, Rabbit, Guinea Pig, Monkey, Horse, Pig, Bat, Sheep, and supports diverse research applications such as WB, ELISA, IHC, IF, IF (cc).

Quickly find the right antibody using our search, filter, and comparison tools. Each product page provides detailed validation data, literature references, and customer feedback. Unlike comparison-only resources, you can conveniently purchase antibodies directly through our site. Choose from polyclonal, monoclonal, or recombinant PAK1 antibodies derived from various hosts such as Rabbit, Mouse, Goat. Browse our products below and order directly to support your research with confidence.

Alternative names for PAK1 are pak1.S, PAK1, Pak1, pak-1.

184 results

PAK1 Reactivity: Human WB, IF Host: Rabbit Monoclonal unconjugated
Catalog No. ABIN7269144
$393.00
Plus shipping costs $50.00
100 μL (More quantities available)
Shipping to: United States
Delivery in 7 to 10 Business Days
 
PAK1 Reactivity: Human WB, FACS Host: Rabbit Monoclonal 24GB5245 unconjugated Recombinant Antibody
Catalog No. ABIN7799718
$394.31
Plus shipping costs $50.00
100 μL
Shipping to: United States
Delivery in 3 to 5 Business Days
 
PAK1 Reactivity: Human WB, IHC, ELISA Host: Rabbit Polyclonal unconjugated
Catalog No. ABIN7138467
$475.20
Plus shipping costs $50.00
100 μL
Shipping to: United States
Delivery in 13 to 17 Business Days
 
PAK1 Reactivity: Human, Rat, Mouse WB, IF, IHC (p) Host: Rabbit Polyclonal unconjugated
Catalog No. ABIN197364
$588.00
Plus shipping costs $50.00
0.1 mL (More quantities available)
Shipping to: United States
Delivery in 1 to 2 Business Days
 
PAK1 Reactivity: Human, Rat, Mouse WB, IHC, ELISA, IF Host: Rabbit Polyclonal unconjugated
Catalog No. ABIN1532383
$341.00
Plus shipping costs $50.00
100 μL (More quantities available)
Shipping to: United States
Delivery in 2 to 4 Business Days
 
PAK1 Reactivity: Human, Rat, Mouse, Cow WB Host: Rabbit Polyclonal unconjugated
Catalog No. ABIN7301104
$330.77
Plus shipping costs $50.00
100 μL (More quantities available)
Shipping to: United States
Delivery in 13 to 15 Business Days
 
PAK1 Reactivity: Human, Rat, Mouse WB, IHC, IF Host: Rabbit Polyclonal unconjugated
Catalog No. ABIN7301102
$376.92
Plus shipping costs $50.00
100 μL (More quantities available)
Shipping to: United States
Delivery in 13 to 15 Business Days
 
PAK1 Reactivity: Human DB Host: Rabbit Polyclonal RB11209 unconjugated
Catalog No. ABIN389726
$451.00
Plus shipping costs $50.00
400 μL (More quantities available)
Shipping to: United States
Delivery in 10 to 12 Business Days
 
PAK1 Reactivity: Human, Rat, Mouse WB, IHC, ELISA, IF Host: Rabbit Polyclonal unconjugated
Catalog No. ABIN3186318
$402.79
Plus shipping costs $50.00
100 μL (More quantities available)
Shipping to: United States
Delivery in 11 to 15 Business Days
 
PAK1 Reactivity: Human WB, ELISA Host: Mouse Polyclonal unconjugated
Catalog No. ABIN562100
$359.85
Plus shipping costs $50.00
50 μL
Shipping to: United States
Delivery in 11 to 14 Business Days
 
PAK1 Reactivity: Human WB Host: Mouse Polyclonal unconjugated
Catalog No. ABIN518606
$520.15
Plus shipping costs $50.00
50 μL
Shipping to: United States
Delivery in 11 to 14 Business Days
 
PAK1 Reactivity: Human, Rat, Mouse WB, IHC, ELISA, IF, IHC (p) Host: Rabbit Polyclonal unconjugated
Catalog No. ABIN2879047
$467.50
Plus shipping costs $50.00, if applicable $20.00 dry ice
50 μL
Shipping to: United States
Delivery in 11 to 15 Business Days
 
PAK1 Reactivity: Human, Rat, Mouse WB, ELISA, IHC (p) Host: Rabbit Polyclonal unconjugated
Catalog No. ABIN7250809
$538.80
Plus shipping costs $50.00
200 μL (More quantities available)
Shipping to: United States
Delivery in 11 to 15 Business Days
 
PAK1 Reactivity: Human, Rat, Mouse WB, IHC, ELISA Host: Rabbit Polyclonal unconjugated
Catalog No. ABIN1531365
$341.00
Plus shipping costs $50.00
100 μL (More quantities available)
Shipping to: United States
Delivery in 2 to 4 Business Days
 
PAK1 Reactivity: Human, Rat, Mouse WB Host: Rabbit Polyclonal unconjugated
Catalog No. ABIN3032116
$625.62
Plus shipping costs $50.00
100 μg
Shipping to: United States
Delivery in 2 to 4 Business Days
 
PAK1 Reactivity: Human WB, IHC (p), EIA Host: Rabbit Polyclonal unconjugated
Catalog No. ABIN360317
$846.00
Plus shipping costs $50.00
0.4 mL
Shipping to: United States
Delivery in 1 to 2 Business Days
 
PAK1 Reactivity: Human, Rat, Mouse IF, IHC (p) Host: Rabbit Polyclonal unconjugated
Catalog No. ABIN197378
$588.00
Plus shipping costs $50.00
0.1 mL (More quantities available)
Shipping to: United States
Delivery in 1 to 2 Business Days
 
PAK1 Reactivity: Human, Rat, Mouse IF, IHC (p) Host: Rabbit Polyclonal unconjugated
Catalog No. ABIN196896
$588.00
Plus shipping costs $50.00
0.1 mL (More quantities available)
Shipping to: United States
Delivery in 1 to 2 Business Days
 
PAK1 Reactivity: Human, Rat, Mouse WB, IHC, ELISA Host: Rabbit Polyclonal unconjugated
Catalog No. ABIN1531693
$341.00
Plus shipping costs $50.00
100 μL (More quantities available)
Shipping to: United States
Delivery in 2 to 4 Business Days
 
PAK1 Reactivity: Human, Rat, Mouse WB, IHC, ELISA Host: Rabbit Polyclonal unconjugated
Catalog No. ABIN1532069
$341.00
Plus shipping costs $50.00
100 μL (More quantities available)
Shipping to: United States
Delivery in 2 to 4 Business Days
 
  • Type Primary
    • Primary
  • Application
    • Western Blotting (WB)
    • ELISA
    • Immunohistochemistry (IHC)
    • Immunofluorescence (IF)
    • Immunofluorescence (Cultured Cells) (IF (cc))
    • Immunofluorescence (Paraffin-embedded Sections) (IF (p))
    • Immunohistochemistry (Paraffin-embedded Sections) (IHC (p))
    • Immunoprecipitation (IP)
    • Immunocytochemistry (ICC)
    • Flow Cytometry (FACS)
    • Dot Blot (DB)
    • Immunohistochemistry (Frozen Sections) (IHC (fro))
    • Enzyme Immunoassay (EIA)
    • Immunofluorescence (fixed cells) (IF/ICC)
    • Immunodiffusion (ID)
  • Reactivity
    • Human
    • Rat
    • Mouse
    • Cow
    • Dog
    • Rabbit
    • Guinea Pig
    • Monkey
    • Horse
    • Pig
    • Bat
    • Sheep
  • Cited in publications
  • Images available
  • Preservative free only
  • Carrier free only
  • Host
    • Rabbit
    • Mouse
    • Goat
    • Sheep
  • Clonality
    • Polyclonal
    • Monoclonal
  • Clone
    • 24GB5245
    • 3H12
    • 4D1
    • 4F10
    • A824
    • ADFA-16
    • PT0342R
    • R04-2A4
    • R08-5I5
    • RB11209
    • RB11381
    • RB11382
  • Binding Specificity
    • pThr212
    • pSer204
    • AA 201-300
    • pThr423
    • pSer199
    • Thr423
    • pThr402
    • pSer141
    • pSer144
    • N-Term
    • Ser204
    • Thr212
    • pSer139
    • AA 1-14
    • AA 1-240
    • AA 1-447
    • AA 1-50
    • AA 165-214
    • AA 178-227
    • AA 191-280
    • AA 210-214
    • AA 252-501
    • AA 333-545
    • AA 40-90
    • AA 401-430
    • Center
    • Internal Region
    • Ser199
    • pThr421
    • AA 122-243
    • AA 128-242
    • AA 149-198
    • AA 170-219
    • AA 2-248
    • AA 245-490
    • Glu195
    • Ile206
    • Lys198
    • Thr19
    • Thr402
    • Thr421
    • pSer154
    • pThr84
  • Conjugate
    • Un-conjugated
    • Biotin
    • FITC
    • HRP
    • Alexa Fluor 488
    • Alexa Fluor 555
    • Alexa Fluor 594
    • Alexa Fluor 647
    • Alexa Fluor 680
    • Alexa Fluor 750
    • APC
    • AbBy Fluor® 350
    • AbBy Fluor® 488
    • AbBy Fluor® 555
    • AbBy Fluor® 594
    • AbBy Fluor® 647
    • AbBy Fluor® 680
    • AbBy Fluor® 750
    • Cy3
    • Cy5
    • Cy5.5
    • Cy7
    • PE
    • Alexa Fluor 350
    • Alexa Fluor 405
  • Isotype
    • IgG
    • Ig Fraction
    • kappa
    • IgG1
  • Protein Type
    • Recombinant Antibody
  • Format
    • Liquid
    • Lyophilized
  • Grade
    • Verified
  • Supplier
    • antibodies-online
    • Signalway
    • Acris
    • Abbexa
    • Assay Biotechnology Company, Inc.
    • Cohesion Biosciences
    • Boster Bio
    • USBio
    • NSJ Bioreagents
    • ProSci
    • Angio-Proteomie
    • Biomatik
    • ProteoGenix
    • RayBiotech
    • Rockland

Latest Publications for our PAK1 Antibodies

Li, Wang, Peng, Yao, Chen, Tao, Gao, Wang, Li, Cai, Lai, Li, Chen, Huang: "The metastatic promoter DEPDC1B induces epithelial-mesenchymal transition and promotes prostate cancer cell proliferation via Rac1-PAK1 signaling." in: Clinical and translational medicine, Vol. 10, Issue 6, pp. e191, (2020) (PubMed).

Cai, Zhang, Zhang, Chen, Hu: "Effect of Th9/IL-9 on the growth of gastric cancer in nude mice." in: OncoTargets and therapy, Vol. 12, pp. 2225-2234, (2019) (PubMed).

Zhang, Li, Liu, Cao, Chen, Liu, Wang, Du, Weng, Ma: "p21-activated kinase 1 activity is required for histone H3 Ser10 phosphorylation and chromatin condensation in mouse oocyte meiosis." in: Reproduction, fertility, and development, Vol. 29, Issue 7, pp. 1287-1296, (2018) (PubMed).

Tu, Wang, Cui, Wang, Ran, Bao, Lu, Wang, Lydon, DeMayo, Zhang, Kong, Wu, Wang: "Uterine RAC1 via Pak1-ERM signaling directs normal luminal epithelial integrity conducive to on-time embryo implantation in mice." in: Cell death and differentiation, Vol. 23, Issue 1, pp. 169-81, (2016) (PubMed).

El-Baba, Mahadevan, Fahlbusch, S, Rau, Gali-Muhtasib, Schneider-Stock: "Thymoquinone-induced conformational changes of PAK1 interrupt prosurvival MEK-ERK signaling in colorectal cancer." in: Molecular cancer, Vol. 13, pp. 201, (2014) (PubMed).

Nie, Lilley, Pan, Faruque, Liu, Zhang, Sanes, Han, Shi: "SAD-A potentiates glucose-stimulated insulin secretion as a mediator of glucagon-like peptide 1 response in pancreatic ? cells." in: Molecular and cellular biology, Vol. 33, Issue 13, pp. 2527-34, (2013) (PubMed).

Wang, Ma, Xu, Wang, Zhu, An, An, Wu, Tian: "Phosphorylation of histone H3 on Ser10 by auto-phosphorylated PAK1 is not essential for chromatin condensation and meiotic progression in porcine oocytes." in: Journal of animal science and biotechnology, Vol. 4, Issue 1, pp. 13, (2013) (PubMed).

Geiger, Velic, Macek, Lundberg, Kampf, Nagaraj, Uhlen, Cox, Mann: "Initial quantitative proteomic map of 28 mouse tissues using the SILAC mouse." in: Molecular & cellular proteomics : MCP, Vol. 12, Issue 6, pp. 1709-22, (2013) (PubMed).

Nie, Sun, Faruque, Ye, Li, Liang, Chang, Yang, Han, Shi: "Synapses of amphids defective (SAD-A) kinase promotes glucose-stimulated insulin secretion through activation of p21-activated kinase (PAK1) in pancreatic β-Cells." in: The Journal of biological chemistry, Vol. 287, Issue 31, pp. 26435-44, (2012) (PubMed).

Cook, Sanchez-Carbente, Lachance, Radzioch, Tremblay, Khandjian, DesGroseillers, Murai: "Fragile X related protein 1 clusters with ribosomes and messenger RNAs at a subset of dendritic spines in the mouse hippocampus." in: PLoS ONE, Vol. 6, Issue 10, pp. e26120, (2011) (PubMed).

Aliases for PAK1 Antibodies

p21 protein (Cdc42/Rac)-activated kinase 1 S homeolog (pak1.S) Antibodies
p21 (RAC1) activated kinase 1 (PAK1) Antibodies
p21 protein (Cdc42/Rac)-activated kinase 1 (Pak1) Antibodies
p21 (RAC1) activated kinase 1 (Pak1) Antibodies
Serine/threonine-protein kinase pak-1 (pak-1) Antibodies
AW045634 Antibodies
pak Antibodies
pak-1 Antibodies
PAK-1 Antibodies
Paka Antibodies
pakalpha Antibodies
PAKalpha Antibodies
X-PAK1 Antibodies
XPak1 Antibodies
You are here:
Chat with us!