Phone:
+1 877 302 8632
Fax:
+1 888 205 9894 (Toll-free)
E-Mail:
orders@antibodies-online.com

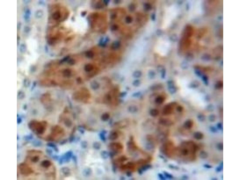
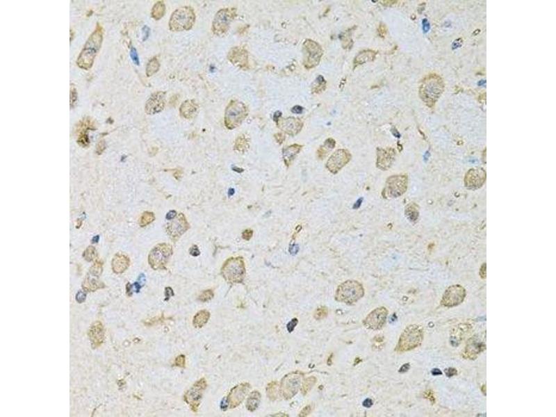
PSMC2 Antibodies

(Proteasome (Prosome, Macropain) 26S Subunit, ATPase, 2 (PSMC2))

Choose one of 57 PSMC2 antibodies from our product listing based on 33 validation images.

Explore reliable PSMC2 antibodies from a broad selection of renowned manufacturers. Our portfolio enables accurate PSMC2 detection across multiple species, including Human, Mouse, Rat, Dog, Cow, Guinea Pig, Rabbit, Horse, Monkey, Zebrafish (Danio rerio), Goat, Pig, and supports diverse research applications such as WB, ELISA, IF (cc), IF (p), IHC.

Quickly find the right antibody using our search, filter, and comparison tools. Each product page provides detailed validation data, literature references, and customer feedback. Unlike comparison-only resources, you can conveniently purchase antibodies directly through our site. Choose from polyclonal, monoclonal, or recombinant PSMC2 antibodies derived from various hosts such as Rabbit, Mouse. Browse our products below and order directly to support your research with confidence.

Alternative names for PSMC2 are psmc2.L, psmc2, psmC2, PSMC2, rpt-1, GL50803_21331, EHI_080890, UREG_01412, PITG_10169, Psmc2, GL50803_86683, Tsp_09237.

57 results

PSMC2 Reactivity: Human WB Host: Rabbit Polyclonal unconjugated
Catalog No. ABIN7442063
$326.15
Plus shipping costs $50.00
100 μL (More quantities available)
Shipping to: United States
Delivery in 13 to 17 Business Days
 
PSMC2 Reactivity: Human WB Host: Rabbit Polyclonal unconjugated
Catalog No. ABIN3015801
$383.00
Plus shipping costs $50.00
100 μL (More quantities available)
Shipping to: United States
Delivery in 7 to 10 Business Days
 
PSMC2 Reactivity: Human WB, ELISA, IF Host: Mouse Monoclonal 4C10-2C8 unconjugated
Catalog No. ABIN562486
$520.15
Plus shipping costs $50.00
100 μg
Shipping to: United States
Delivery in 11 to 14 Business Days
 
PSMC2 Reactivity: Human, Mouse, Rat WB, ELISA, IHC Host: Rabbit Polyclonal unconjugated
Catalog No. ABIN7241711
$538.80
Plus shipping costs $50.00
200 μL (More quantities available)
Shipping to: United States
Delivery in 11 to 15 Business Days
 
PSMC2 Reactivity: Human WB Host: Mouse Monoclonal 1851CT193-4-40 unconjugated
Catalog No. ABIN6243774
$451.00
Plus shipping costs $50.00
200 μL (More quantities available)
Shipping to: United States
Delivery in 10 to 12 Business Days
 
PSMC2 Reactivity: Human, Mouse, Rat WB, ELISA, IHC, IF, ICC Host: Rabbit Polyclonal unconjugated
Catalog No. ABIN6264479
$494.77
Plus shipping costs $50.00
100 μL (More quantities available)
Shipping to: United States
Delivery in 11 to 13 Business Days
 
PSMC2 Reactivity: Human, Mouse, Rat WB Host: Rabbit Polyclonal unconjugated
Catalog No. ABIN7306072
$330.77
Plus shipping costs $50.00
100 μL (More quantities available)
Shipping to: United States
Delivery in 13 to 15 Business Days
 
PSMC2 Reactivity: Human, Mouse, Rat WB, ELISA Host: Rabbit Polyclonal unconjugated
Catalog No. ABIN7237423
$538.80
Plus shipping costs $50.00
200 μL (More quantities available)
Shipping to: United States
Delivery in 11 to 15 Business Days
 
PSMC2 Reactivity: Human, Mouse, Rat, Dog, Cow, Guinea Pig, Rabbit, Monkey, Pig WB Host: Rabbit Polyclonal unconjugated
Catalog No. ABIN343937
$649.00
Plus shipping costs $50.00
100 μL
Shipping to: United States
Delivery in 11 to 15 Business Days
 
PSMC2 Reactivity: Human WB, ELISA Host: Mouse Monoclonal unconjugated
Catalog No. ABIN791429
$720.87
Plus shipping costs $50.00
100 μL
Shipping to: United States
Delivery in 11 to 15 Business Days
 
PSMC2 Reactivity: Human WB Host: Mouse Monoclonal G5K1 unconjugated
Catalog No. ABIN7091580
$453.85
Plus shipping costs $50.00
100 μL
Shipping to: United States
Delivery in 8 to 12 Business Days
 
PSMC2 Reactivity: Mouse, Rat WB, IF (cc), IF (p) Host: Rabbit Polyclonal AbBy Fluor® 750
Catalog No. ABIN5007071
$458.46
Plus shipping costs $50.00
100 μL
Shipping to: United States
Delivery in 16 to 20 Business Days
 
PSMC2 Reactivity: Mouse, Rat WB, IF (cc), IF (p) Host: Rabbit Polyclonal AbBy Fluor® 680
Catalog No. ABIN5007070
$458.46
Plus shipping costs $50.00
100 μL
Shipping to: United States
Delivery in 16 to 20 Business Days
 
PSMC2 Reactivity: Human WB, ELISA, IHC Host: Rabbit Polyclonal unconjugated
Catalog No. ABIN7570918
$355.94
Plus shipping costs $50.00
100 μg
Shipping to: United States
Delivery in 12 to 15 Business Days
 
PSMC2 Reactivity: Mouse, Rat WB, ELISA, IHC (fro), IHC (p) Host: Rabbit Polyclonal HRP
Catalog No. ABIN709985
$470.46
Plus shipping costs $50.00
100 μL
Shipping to: United States
Delivery in 16 to 20 Business Days
 
PSMC2 Reactivity: Mouse, Rat WB, IF (cc), IF (p) Host: Rabbit Polyclonal FITC
Catalog No. ABIN709983
$470.46
Plus shipping costs $50.00
100 μL
Shipping to: United States
Delivery in 16 to 20 Business Days
 
PSMC2 Reactivity: Mouse, Rat WB, IF (cc), IF (p) Host: Rabbit Polyclonal Cy7
Catalog No. ABIN709982
$470.46
Plus shipping costs $50.00
100 μL
Shipping to: United States
Delivery in 16 to 20 Business Days
 
PSMC2 Reactivity: Mouse, Rat WB, IF (cc), IF (p) Host: Rabbit Polyclonal Cy5.5
Catalog No. ABIN709981
$470.46
Plus shipping costs $50.00
100 μL
Shipping to: United States
Delivery in 16 to 20 Business Days
 
PSMC2 Reactivity: Mouse, Rat WB, IF (cc), IF (p) Host: Rabbit Polyclonal Cy5
Catalog No. ABIN709980
$470.46
Plus shipping costs $50.00
100 μL
Shipping to: United States
Delivery in 16 to 20 Business Days
 
PSMC2 Reactivity: Mouse, Rat WB, IF (cc), IF (p) Host: Rabbit Polyclonal Cy3
Catalog No. ABIN709979
$470.46
Plus shipping costs $50.00
100 μL
Shipping to: United States
Delivery in 16 to 20 Business Days
 
  • Type Primary
    • Primary
  • Application
    • Western Blotting (WB)
    • ELISA
    • Immunofluorescence (Cultured Cells) (IF (cc))
    • Immunofluorescence (Paraffin-embedded Sections) (IF (p))
    • Immunohistochemistry (IHC)
    • Immunofluorescence (IF)
    • Immunoprecipitation (IP)
    • Immunocytochemistry (ICC)
    • Immunohistochemistry (Frozen Sections) (IHC (fro))
    • Immunohistochemistry (Paraffin-embedded Sections) (IHC (p))
    • Immunohistochemistry (Formalin-fixed Paraffin-embedded Sections) (IHC (fp))
  • Reactivity
    • Human
    • Mouse
    • Rat
    • Dog
    • Cow
    • Guinea Pig
    • Rabbit
    • Horse
    • Monkey
    • Zebrafish (Danio rerio)
    • Goat
    • Pig
  • Images available
  • Preservative free only
  • Carrier free only
  • Host
    • Rabbit
    • Mouse
  • Clonality
    • Polyclonal
    • Monoclonal
  • Clone
    • 4C10-2C8
    • 1851CT193-4-40
    • G5K1
    • MSS1-104
    • MSS1-92
  • Binding Specificity
    • AA 101-200
    • AA 1-30
    • N-Term
    • AA 1-433
    • AA 34-433
    • AA 1-160
    • AA 1-434
    • AA 150-200
    • Internal Region
  • Conjugate
    • Un-conjugated
    • Biotin
    • FITC
    • HRP
    • APC
    • AbBy Fluor® 350
    • AbBy Fluor® 488
    • AbBy Fluor® 555
    • AbBy Fluor® 594
    • AbBy Fluor® 647
    • AbBy Fluor® 680
    • AbBy Fluor® 750
    • Alexa Fluor 488
    • Alexa Fluor 555
    • Alexa Fluor 594
    • Alexa Fluor 647
    • Alexa Fluor 680
    • Alexa Fluor 750
    • Cy3
    • Cy5
    • Cy5.5
    • Cy7
    • PE
  • Isotype
    • IgG
    • IgG1
    • IgG1 kappa
    • Ig Fraction
  • Format
    • Liquid
    • Lyophilized
  • Supplier
    • antibodies-online
    • Signalway
    • Aviva Systems Biology
    • Boster Bio
    • Cohesion Biosciences
    • USBio
    • Biomatik
    • Enogene Biotech
    • ProSci
    • ProteoGenix
    • RayBiotech
    • Wuhan Fine biotech

Aliases for PSMC2 Antibodies

proteasome 26S subunit, ATPase 2 L homeolog (psmc2.L) Antibodies
proteasome (prosome, macropain) 26S subunit, ATPase 2 (psmc2) Antibodies
26S protease regulatory subunit 7 (psmC2) Antibodies
proteasome 26S subunit, ATPase 2 (PSMC2) Antibodies
regulatory particle, ATPase-like-1 (rpt-1) Antibodies
26S protease regulatory subunit 7 (GL50803_21331) Antibodies
26S protease regulatory subunit 7 (EHI_080890) Antibodies
26S protease regulatory subunit 7 (UREG_01412) Antibodies
26S protease regulatory subunit 7 (PITG_10169) Antibodies
proteasome 26S subunit, ATPase 2 (Psmc2) Antibodies
26S protease regulatory subunit 7 (GL50803_86683) Antibodies
26S protease regulatory subunit 7 (Tsp_09237) Antibodies
proteasome (prosome, macropain) 26S subunit, ATPase 2 (Psmc2) Antibodies
proteasome 26S subunit, ATPase 2 (psmc2) Antibodies
DDBDRAFT_0168337 Antibodies
DDBDRAFT_0232966 Antibodies
DDB_0168337 Antibodies
DDB_0232966 Antibodies
MSS1 Antibodies
Nbla10058 Antibodies
NCU02840.1 Antibodies
psmc2 Antibodies
S7 Antibodies
xMSS1 Antibodies
zgc:63995 Antibodies
You are here:
Chat with us!