Phone:
+1 877 302 8632
Fax:
+1 888 205 9894 (Toll-free)
E-Mail:
orders@antibodies-online.com

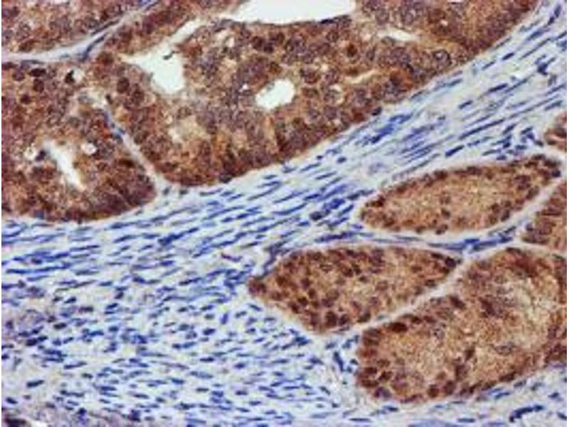
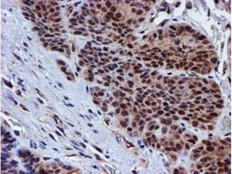
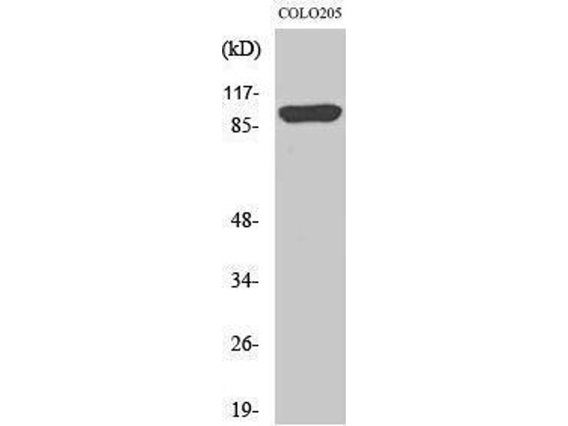
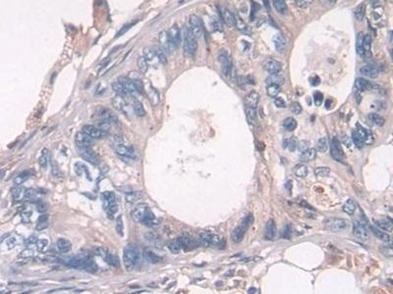
PSMD2 Antibodies

(Proteasome (Prosome, Macropain) 26S Subunit, Non-ATPase, 2 (PSMD2))

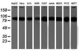
Choose one of 56 PSMD2 antibodies from our product listing based on 53 validation images.

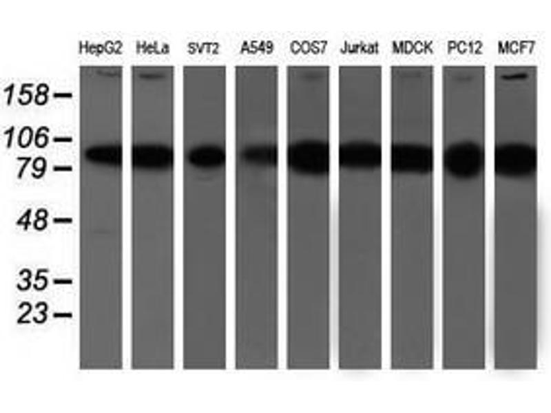
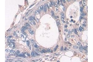
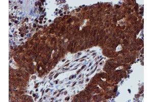
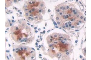
Explore reliable PSMD2 antibodies from a broad selection of renowned manufacturers. Our portfolio enables accurate PSMD2 detection across multiple species, including Human, Mouse, Rat, Cow, Monkey, Dog, Zebrafish (Danio rerio), Chicken, Guinea Pig, Xenopus laevis, and supports diverse research applications such as WB, ELISA, IF, IHC, IP.

Quickly find the right antibody using our search, filter, and comparison tools. Each product page provides detailed validation data, literature references, and customer feedback. Unlike comparison-only resources, you can conveniently purchase antibodies directly through our site. Choose from polyclonal, monoclonal, or recombinant PSMD2 antibodies derived from various hosts such as Rabbit, Mouse, Goat. Browse our products below and order directly to support your research with confidence.

Alternative names for PSMD2 are psmD2, NAEGRDRAFT_83014, DICPUDRAFT_55026, psmd2, psmd2.L, psmd2.S, PSMD2, Psmd2.

56 results

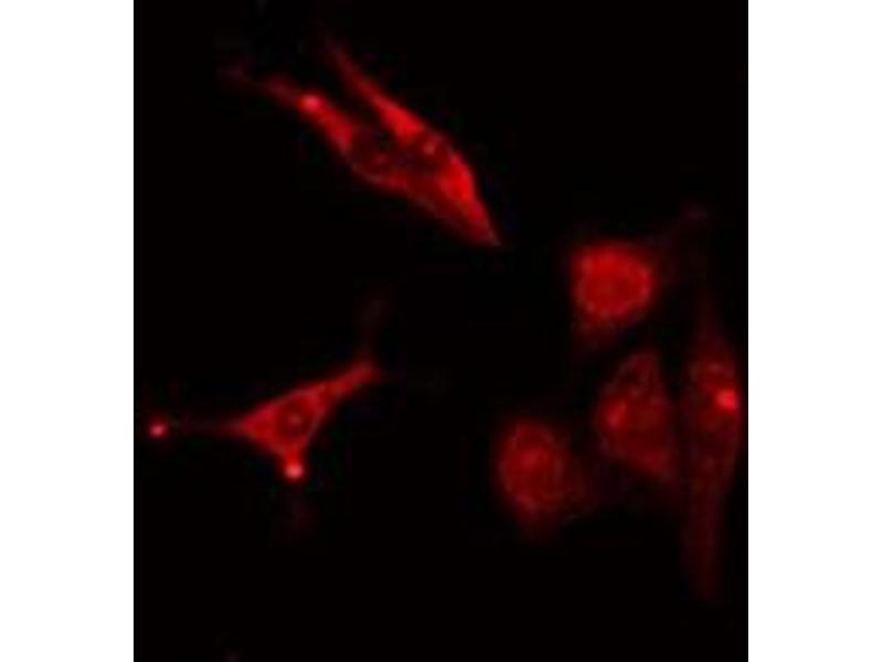
PSMD2 Reactivity: Human WB, IHC, IP, ICC Host: Rabbit Polyclonal unconjugated
Catalog No. ABIN7439738
$326.15
Plus shipping costs $50.00
100 μL (More quantities available)
Shipping to: United States
Delivery in 13 to 17 Business Days
 
PSMD2 Reactivity: Human WB, IF Host: Rabbit Polyclonal unconjugated
Catalog No. ABIN3015813
$383.00
Plus shipping costs $50.00
100 μL (More quantities available)
Shipping to: United States
Delivery in 7 to 10 Business Days
 
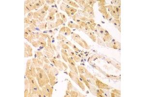
PSMD2 Reactivity: Human, Mouse, Rat, Monkey, Dog WB, IHC, IF, IHC (p) Host: Mouse Monoclonal 1G6 unconjugated
Catalog No. ABIN1500479
$704.73
Plus shipping costs $50.00
100 μL
Shipping to: United States
Delivery in 11 to 15 Business Days
 
Verified PSMD2 Reactivity: Human, Mouse, Rat WB, ELISA, IF, FACS Host: Goat Polyclonal unconjugated
Catalog No. ABIN185319
$488.25
Plus shipping costs $50.00
100 μg
Shipping to: United States
Delivery in 1 to 3 Business Days
 
PSMD2 Reactivity: Human, Mouse, Rat WB, ELISA, IHC, IF, ICC Host: Rabbit Polyclonal unconjugated
Catalog No. ABIN6264489
$494.77
Plus shipping costs $50.00
100 μL (More quantities available)
Shipping to: United States
Delivery in 11 to 13 Business Days
 
PSMD2 Reactivity: Human WB, IF, ICC Host: Rabbit Polyclonal unconjugated
Catalog No. ABIN2855347
$564.19
Plus shipping costs $50.00
100 μL
Shipping to: United States
Delivery in 3 to 5 Business Days
 
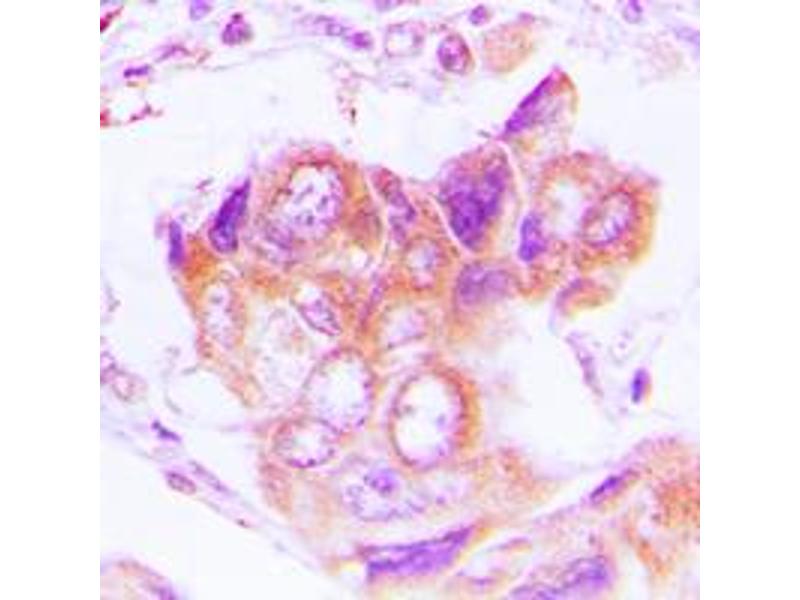
PSMD2 Reactivity: Human WB, ELISA, IHC, IF Host: Rabbit Polyclonal unconjugated
Catalog No. ABIN7142208
$394.68
Plus shipping costs $50.00
100 μg (More quantities available)
Shipping to: United States
Delivery in 13 to 17 Business Days
 
PSMD2 Reactivity: Human, Mouse, Rat WB, ELISA, IHC Host: Rabbit Polyclonal unconjugated
Catalog No. ABIN3186586
$402.79
Plus shipping costs $50.00
100 μL (More quantities available)
Shipping to: United States
Delivery in 11 to 15 Business Days
 
PSMD2 Reactivity: Human WB, FACS Host: Mouse Monoclonal 25GB5720 unconjugated
Catalog No. ABIN7799949
$394.31
Plus shipping costs $50.00
100 μL
Shipping to: United States
Delivery in 3 to 5 Business Days
 
PSMD2 Reactivity: Human WB, ELISA Host: Mouse Polyclonal unconjugated
Catalog No. ABIN562491
$359.85
Plus shipping costs $50.00
50 μL
Shipping to: United States
Delivery in 11 to 14 Business Days
 
PSMD2 Reactivity: Human ELISA Host: Mouse Monoclonal 1B4 unconjugated
Catalog No. ABIN519395
$520.15
Plus shipping costs $50.00
100 μg
Shipping to: United States
Delivery in 11 to 14 Business Days
 
PSMD2 Reactivity: Human WB, ELISA Host: Rabbit Polyclonal unconjugated
Catalog No. ABIN7184497
$392.04
Plus shipping costs $50.00
100 μL
Shipping to: United States
Delivery in 13 to 17 Business Days
 
PSMD2 Reactivity: Human WB, ELISA, IHC, IF Host: Rabbit Polyclonal unconjugated
Catalog No. ABIN7188972
$262.68
Plus shipping costs $50.00
100 μg (More quantities available)
Shipping to: United States
Delivery in 13 to 17 Business Days
 
PSMD2 Reactivity: Human, Mouse, Rat, Cow, Monkey WB, IHC Host: Rabbit Polyclonal unconjugated
Catalog No. ABIN7296738
$330.77
Plus shipping costs $50.00
100 μL (More quantities available)
Shipping to: United States
Delivery in 13 to 15 Business Days
 
PSMD2 Reactivity: Human, Cow WB, IHC, IF Host: Rabbit Polyclonal unconjugated
Catalog No. ABIN7296736
$330.77
Plus shipping costs $50.00
100 μL (More quantities available)
Shipping to: United States
Delivery in 13 to 15 Business Days
 
PSMD2 Reactivity: Human, Mouse, Rat WB, IHC (p), IF (p) Host: Rabbit Polyclonal unconjugated
Catalog No. ABIN1386020
$384.62
Plus shipping costs $50.00
100 μL
Shipping to: United States
Delivery in 4 to 7 Business Days
 
PSMD2 Reactivity: Human WB, IF, IP, ICC Host: Rabbit Polyclonal unconjugated
Catalog No. ABIN5620622
$799.11
Plus shipping costs $50.00
100 μL
Shipping to: United States
Delivery in 9 to 12 Business Days
 
PSMD2 Reactivity: Human WB, IF Host: Mouse Monoclonal 1G8 unconjugated
Catalog No. ABIN2149942
$1,915.18
Plus shipping costs $50.00
100 μL
Shipping to: United States
Delivery in 9 to 12 Business Days
 
PSMD2 Reactivity: Human WB, IHC, IF Host: Mouse Monoclonal 1G6 unconjugated
Catalog No. ABIN2149946
$1,915.18
Plus shipping costs $50.00
100 μL
Shipping to: United States
Delivery in 9 to 12 Business Days
 
PSMD2 Reactivity: Human, Mouse, Rat WB, ELISA, IHC (p) Host: Rabbit Polyclonal unconjugated
Catalog No. ABIN7216682
$379.10
Plus shipping costs $50.00
100 μL (More quantities available)
Shipping to: United States
Delivery in 12 to 16 Business Days
 
  • Type Primary
    • Primary
  • Application
    • Western Blotting (WB)
    • ELISA
    • Immunofluorescence (IF)
    • Immunohistochemistry (IHC)
    • Immunoprecipitation (IP)
    • Immunocytochemistry (ICC)
    • Immunohistochemistry (Paraffin-embedded Sections) (IHC (p))
    • Flow Cytometry (FACS)
    • Immunofluorescence (Paraffin-embedded Sections) (IF (p))
    • Immunohistochemistry (Formalin-fixed Paraffin-embedded Sections) (IHC (fp))
    • Luminex Assay (LMNX)
    • Immunofluorescence (fixed cells) (IF/ICC)
  • Reactivity
    • Human
    • Mouse
    • Rat
    • Cow
    • Monkey
    • Dog
    • Zebrafish (Danio rerio)
    • Chicken
    • Guinea Pig
    • Xenopus laevis
  • Images available
  • Preservative free only
  • Carrier free only
  • Host
    • Rabbit
    • Mouse
    • Goat
  • Clonality
    • Polyclonal
    • Monoclonal
  • Clone
    • 1B4
    • 1G6
    • 1D1
    • 1G8
    • 25GB5720
    • OTI1G6
  • Binding Specificity
    • N-Term
    • AA 6-35
    • AA 401-700
    • Regulatory Subunit
    • AA 1-908
    • AA 1-50
    • AA 50-100
    • AA 645-872
    • C-Term
    • AA 1-260
    • AA 1-909
    • AA 101-150
    • AA 11-60
    • AA 209-897
    • AA 219-908
    • AA 525-575
    • AA 587-636
    • AA 70-150
    • Arg34
    • Regulatory Subunit 2
  • Conjugate
    • Un-conjugated
    • FITC
    • Biotin
    • HRP
    • APC
    • Alexa Fluor 488
    • Alexa Fluor 555
    • Alexa Fluor 594
    • Alexa Fluor 647
    • Alexa Fluor 680
    • Alexa Fluor 750
    • PE
  • Isotype
    • IgG
    • IgG2a
    • IgG1
    • IgG1 kappa
  • Format
    • Liquid
    • Lyophilized
  • Grade
    • Verified
  • Supplier
    • antibodies-online
    • Signalway
    • Abbexa
    • Boster Bio
    • Cohesion Biosciences
    • USBio
    • Assay Biotechnology Company, Inc.
    • OriGene
    • ProteoGenix

Latest Publications for our PSMD2 Antibodies

Luessen, Sun, McGinnis, Hagstrom, Marrs, McCool, Chen: "Acute ethanol exposure reduces serotonin receptor 1A internalization by increasing ubiquitination and degradation of β-arrestin2." in: The Journal of biological chemistry, Vol. 294, Issue 38, pp. 14068-14080, (2019) (PubMed).

Gerhardt, Lier, Burmühl, Struchtrup, Deutschmann, Vetter, Leu, Reeg, Grune, Rüther: "The transition zone protein Rpgrip1l regulates proteasomal activity at the primary cilium." in: The Journal of cell biology, Vol. 210, Issue 1, pp. 115-33, (2015) (PubMed).

Di Domenico, Coccia, Cocciolo, Murphy, Cenini, Head, Butterfield, Giorgi, Schinina, Mancuso, Cini, Perluigi: "Impairment of proteostasis network in Down syndrome prior to the development of Alzheimer's disease neuropathology: redox proteomics analysis of human brain." in: Biochimica et biophysica acta, Vol. 1832, Issue 8, pp. 1249-59, (2013) (PubMed).

Kuai, Wooters, Hall, Rao, Nickbarg, Li, Chatterjee-Kishore, Qiu, Lin: "NAK is recruited to the TNFR1 complex in a TNFalpha-dependent manner and mediates the production of RANTES: identification of endogenous TNFR-interacting proteins by a proteomic approach." in: The Journal of biological chemistry, Vol. 279, Issue 51, pp. 53266-71, (2004) (PubMed).

Aliases for PSMD2 Antibodies

26S proteasome non-ATPase regulatory subunit 2 (psmD2) Antibodies
26S proteasome regulatory subunit S2 (NAEGRDRAFT_83014) Antibodies
26S proteasome regulatory subunit S2 (DICPUDRAFT_55026) Antibodies
proteasome 26S subunit, non-ATPase 2 (psmd2) Antibodies
proteasome 26S subunit, non-ATPase 2 L homeolog (psmd2.L) Antibodies
proteasome 26S subunit, non-ATPase 2 S homeolog (psmd2.S) Antibodies
proteasome 26S subunit, non-ATPase 2 (PSMD2) Antibodies
proteasome (prosome, macropain) 26S subunit, non-ATPase, 2 (psmd2) Antibodies
proteasome (prosome, macropain) 26S subunit, non-ATPase, 2 (Psmd2) Antibodies
proteasome 26S subunit, non-ATPase 2 (Psmd2) Antibodies
9430095H01Rik Antibodies
AA407121 Antibodies
DDBDRAFT_0192101 Antibodies
DDBDRAFT_0232978 Antibodies
DDB_0192101 Antibodies
DDB_0232978 Antibodies
MGC83233 Antibodies
MGC97650 Antibodies
P97 Antibodies
psmd2 Antibodies
PSMD2 Antibodies
RPN1 Antibodies
S2 Antibodies
TEG-190 Antibodies
Tex190 Antibodies
TRAP2 Antibodies
zgc:65921 Antibodies
You are here:
Chat with us!