Phone:
+1 877 302 8632
Fax:
+1 888 205 9894 (Toll-free)
E-Mail:
orders@antibodies-online.com

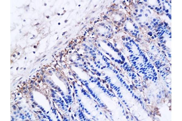
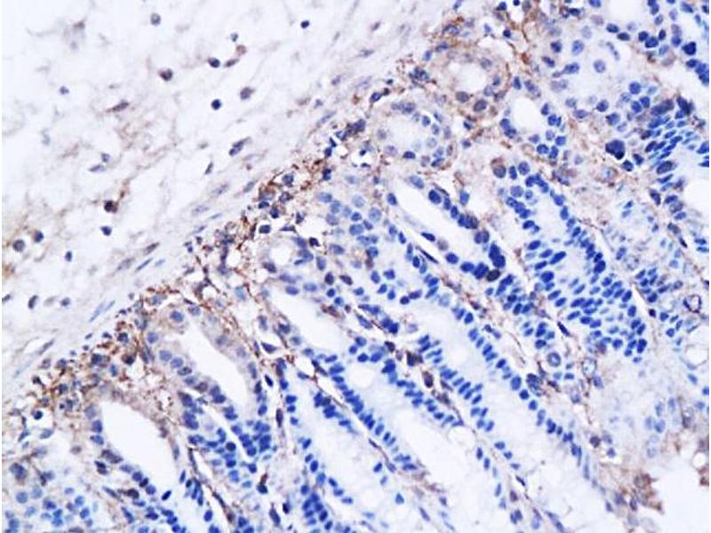
RHOBTB2 Antibodies

(rho-Related BTB Domain Containing 2 (RHOBTB2))

Choose one of 25 RHOBTB2 antibodies from our product listing based on 11 validation images.

Explore reliable RHOBTB2 antibodies from a broad selection of renowned manufacturers. Our portfolio enables accurate RHOBTB2 detection across multiple species, including Human, Mouse, Rat, and supports diverse research applications such as ELISA, WB, IHC (f), IHC, IHC (p).

Quickly find the right antibody using our search, filter, and comparison tools. Each product page provides detailed validation data, literature references, and customer feedback. Unlike comparison-only resources, you can conveniently purchase antibodies directly through our site. Choose from polyclonal, monoclonal, or recombinant RHOBTB2 antibodies derived from various hosts such as Rabbit, Mouse. Browse our products below and order directly to support your research with confidence.

Alternative names for RHOBTB2 are RHOBTB2, Rhobtb2.

25 results

RHOBTB2 Reactivity: Human ELISA, WB, IHC (p), IF (cc), IF (p), IHC (fro) Host: Rabbit Polyclonal unconjugated
Catalog No. ABIN706241
-15% Promotion 2026
$326.93
$384.62
save $57.69 (-15 %)
Plus shipping costs $50.00
100 μL
Shipping to: United States
Delivery in 4 to 6 Business Days
 
RHOBTB2 Reactivity: Human, Mouse ELISA, WB, IF, ICC Host: Rabbit Polyclonal unconjugated
Catalog No. ABIN6264729
$494.77
Plus shipping costs $50.00
100 μL (More quantities available)
Shipping to: United States
Delivery in 11 to 12 Business Days
 
RHOBTB2 Reactivity: Human ELISA Host: Mouse Monoclonal 2G6 unconjugated
Catalog No. ABIN525041
-15% Promotion 2026
$442.13
$520.15
save $78.02 (-15 %)
Plus shipping costs $50.00
100 μg
Shipping to: United States
Delivery in 11 to 12 Business Days
 
RHOBTB2 Reactivity: Human WB Host: Mouse Polyclonal unconjugated
Catalog No. ABIN525040
-15% Promotion 2026
$442.13
$520.15
save $78.02 (-15 %)
Plus shipping costs $50.00
50 μg
Shipping to: United States
Delivery in 11 to 12 Business Days
 
RHOBTB2 Reactivity: Human, Mouse ELISA, WB, IHC, IHC (p) Host: Rabbit Polyclonal unconjugated
Catalog No. ABIN2879419
$476.30
Plus shipping costs $50.00
50 μL
Shipping to: United States
Delivery in 11 to 14 Business Days
 
RHOBTB2 Reactivity: Human, Mouse ELISA, WB Host: Rabbit Polyclonal unconjugated
Catalog No. ABIN1849948
$418.76
Plus shipping costs $50.00
100 μL (More quantities available)
Shipping to: United States
Delivery in 10 to 16 Business Days
 
RHOBTB2 Reactivity: Human IHC (f) Host: Mouse Monoclonal unconjugated
Catalog No. ABIN7126412
-15% Promotion 2026
$544.39
$640.46
save $96.07 (-15 %)
Plus shipping costs $50.00
100 μg
Shipping to: United States
Delivery in 2 to 4 Business Days
 
RHOBTB2 Reactivity: Human IHC (f) Host: Mouse Monoclonal unconjugated
Catalog No. ABIN7126413
-15% Promotion 2026
$544.39
$640.46
save $96.07 (-15 %)
Plus shipping costs $50.00
100 μg
Shipping to: United States
Delivery in 2 to 4 Business Days
 
RHOBTB2 Reactivity: Human, Mouse ELISA, WB Host: Rabbit Polyclonal unconjugated
Catalog No. ABIN1534106
$341.00
Plus shipping costs $50.00
100 μL (More quantities available)
Shipping to: United States
Delivery in 2 to 3 Business Days
 
RHOBTB2 Reactivity: Human Host: Rabbit Polyclonal Alexa Fluor 488
Catalog No. ABIN6811454
$515.90
Plus shipping costs $50.00
100 μL
Shipping to: United States
Delivery in 6 to 8 Business Days
 
RHOBTB2 Reactivity: Human Host: Rabbit Polyclonal Alexa Fluor 555
Catalog No. ABIN6883833
$515.90
Plus shipping costs $50.00
100 μL
Shipping to: United States
Delivery in 6 to 8 Business Days
 
RHOBTB2 Reactivity: Human Host: Rabbit Polyclonal Alexa Fluor 594
Catalog No. ABIN6827517
$515.90
Plus shipping costs $50.00
100 μL
Shipping to: United States
Delivery in 6 to 8 Business Days
 
RHOBTB2 Reactivity: Human Host: Rabbit Polyclonal Alexa Fluor 647
Catalog No. ABIN6843580
$515.90
Plus shipping costs $50.00
100 μL
Shipping to: United States
Delivery in 6 to 8 Business Days
 
RHOBTB2 Reactivity: Human Host: Rabbit Polyclonal Alexa Fluor 750
Catalog No. ABIN6851707
$515.90
Plus shipping costs $50.00
100 μL
Shipping to: United States
Delivery in 6 to 8 Business Days
 
RHOBTB2 Reactivity: Human Host: Rabbit Polyclonal Biotin
Catalog No. ABIN6867770
$515.90
Plus shipping costs $50.00
100 μL
Shipping to: United States
Delivery in 6 to 8 Business Days
 
RHOBTB2 Reactivity: Human Host: Rabbit Polyclonal Alexa Fluor 680
Catalog No. ABIN6899896
$515.90
Plus shipping costs $50.00
100 μL
Shipping to: United States
Delivery in 6 to 8 Business Days
 
RHOBTB2 Reactivity: Human, Mouse Host: Rabbit Polyclonal Biotin
Catalog No. ABIN6870944
$515.90
Plus shipping costs $50.00
100 μL
Shipping to: United States
Delivery in 6 to 8 Business Days
 
RHOBTB2 Reactivity: Human, Mouse Host: Rabbit Polyclonal Alexa Fluor 488
Catalog No. ABIN6814628
$515.90
Plus shipping costs $50.00
100 μL
Shipping to: United States
Delivery in 6 to 8 Business Days
 
RHOBTB2 Reactivity: Human, Mouse Host: Rabbit Polyclonal Alexa Fluor 594
Catalog No. ABIN6830691
$515.90
Plus shipping costs $50.00
100 μL
Shipping to: United States
Delivery in 6 to 8 Business Days
 
RHOBTB2 Reactivity: Human, Mouse Host: Rabbit Polyclonal Alexa Fluor 647
Catalog No. ABIN6846754
$515.90
Plus shipping costs $50.00
100 μL
Shipping to: United States
Delivery in 6 to 8 Business Days
 
  • Type Primary
    • Primary
  • Application
    • ELISA
    • Western Blotting (WB)
    • Immunohistochemistry (Formalin-fixed Sections) (IHC (f))
    • Immunohistochemistry (IHC)
    • Immunohistochemistry (Paraffin-embedded Sections) (IHC (p))
    • Immunocytochemistry (ICC)
    • Immunofluorescence (Cultured Cells) (IF (cc))
    • Immunofluorescence (IF)
    • Immunofluorescence (Paraffin-embedded Sections) (IF (p))
    • Immunohistochemistry (Frozen Sections) (IHC (fro))
  • Reactivity
    • Human
    • Mouse
    • Rat
  • Images available
  • Preservative free only
  • Carrier free only
  • Host
    • Rabbit
    • Mouse
  • Clonality
    • Polyclonal
    • Monoclonal
  • Clone
    • 2G6
  • Binding Specificity
    • AA 1-727
    • AA 554-604
    • AA 61-110
    • AA 510-619
    • AA 631-727
    • N-Term
  • Conjugate
    • Un-conjugated
    • Alexa Fluor 488
    • Alexa Fluor 555
    • Alexa Fluor 594
    • Alexa Fluor 647
    • Alexa Fluor 680
    • Alexa Fluor 750
    • Biotin
  • Isotype
    • IgG
    • IgG2
    • IgG2a
    • IgG2b
  • Format
    • Liquid
  • Supplier
    • Signalway
    • antibodies-online
    • Abbexa
    • Assay Biotechnology Company, Inc.
    • USBio

Latest Publications for our RHOBTB2 Antibodies

Yoshihara, Collado, Hamaguchi: "Cyclin D1 down-regulation is essential for DBC2's tumor suppressor function." in: Biochemical and biophysical research communications, Vol. 358, Issue 4, pp. 1076-9, (2007) (PubMed).

Siripurapu, Meth, Kobayashi, Hamaguchi: "DBC2 significantly influences cell-cycle, apoptosis, cytoskeleton and membrane-trafficking pathways." in: Journal of molecular biology, Vol. 346, Issue 1, pp. 83-9, (2005) (PubMed).

Aliases for RHOBTB2 Antibodies

Rho related BTB domain containing 2 (RHOBTB2) Antibodies
Rho-related BTB domain containing 2 (Rhobtb2) Antibodies
Rho-related BTB domain containing 2 (RHOBTB2) Antibodies
DBC2 Antibodies
Dbc2 Antibodies
E130206H14Rik Antibodies
mKIAA0717 Antibodies
You are here:
Chat with us!