Phone:
+1 877 302 8632
Fax:
+1 888 205 9894 (Toll-free)
E-Mail:
orders@antibodies-online.com

RPL36 Antibodies

(Ribosomal Protein L36 (RPL36))

Choose one of 36 RPL36 antibodies from our product listing based on 35 validation images.

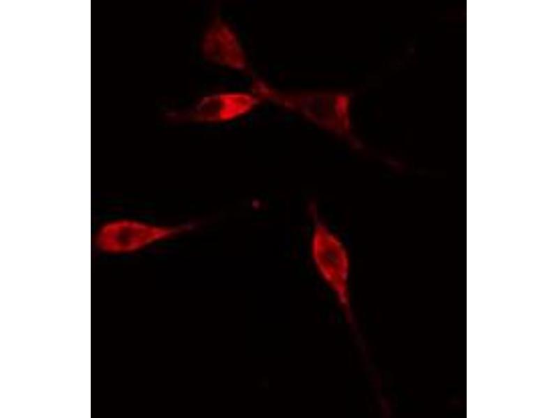
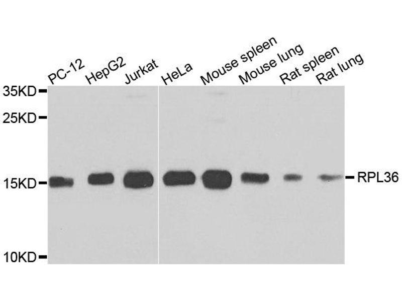
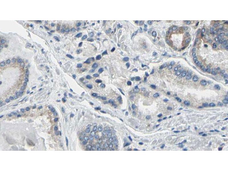
Explore reliable RPL36 antibodies from a broad selection of renowned manufacturers. Our portfolio enables accurate RPL36 detection across multiple species, including Human, Mouse, Rat, Cow, Chicken, Guinea Pig, Monkey, Rabbit, Dog, Pig, Zebrafish (Danio rerio), and supports diverse research applications such as WB, ELISA, IHC, IF, ICC.

Quickly find the right antibody using our search, filter, and comparison tools. Each product page provides detailed validation data, literature references, and customer feedback. Unlike comparison-only resources, you can conveniently purchase antibodies directly through our site. Choose from polyclonal, monoclonal, or recombinant RPL36 antibodies derived from various hosts such as Rabbit, Mouse. Browse our products below and order directly to support your research with confidence.

Alternative names for RPL36 are RPL36, Rpl36, rpl-36, rpl36, RpL36, rpl36.L.

36 results

RPL36 Reactivity: Human WB, IHC, IF Host: Rabbit Polyclonal unconjugated
Catalog No. ABIN6147141
$383.00
Plus shipping costs $50.00
100 μL (More quantities available)
Shipping to: United States
Delivery in 7 to 10 Business Days
 
RPL36 Reactivity: Human, Mouse, Rat WB, IHC, IF Host: Rabbit Polyclonal unconjugated
Catalog No. ABIN7263819
$696.00
Plus shipping costs $50.00
200 μL (More quantities available)
Shipping to: United States
Delivery in 11 to 15 Business Days
 
RPL36 Reactivity: Human, Mouse, Rat, Monkey WB, IHC, FACS Host: Rabbit Polyclonal unconjugated
Catalog No. ABIN7602917
$370.00
Plus shipping costs $50.00
100 μg
Shipping to: United States
Delivery in 4 to 7 Business Days
 
RPL36 Reactivity: Human, Mouse, Rat WB, IHC, ELISA, IF, ICC Host: Rabbit Polyclonal unconjugated
Catalog No. ABIN6257638
$494.77
Plus shipping costs $50.00
100 μL (More quantities available)
Shipping to: United States
Delivery in 11 to 13 Business Days
 
RPL36 Reactivity: Human, Mouse, Rat WB, IHC, ELISA, IF Host: Rabbit Polyclonal unconjugated
Catalog No. ABIN1534569
$341.00
Plus shipping costs $50.00
100 μL (More quantities available)
Shipping to: United States
Delivery in 2 to 4 Business Days
 
RPL36 Reactivity: Human, Mouse, Rat, Cow, Chicken WB, IHC, IF Host: Rabbit Polyclonal unconjugated
Catalog No. ABIN7298020
$330.77
Plus shipping costs $50.00
100 μL (More quantities available)
Shipping to: United States
Delivery in 13 to 15 Business Days
 
RPL36 Reactivity: Human WB, ELISA Host: Mouse Polyclonal unconjugated
Catalog No. ABIN2565862
$359.85
Plus shipping costs $50.00
50 μL
Shipping to: United States
Delivery in 11 to 14 Business Days
 
RPL36 Reactivity: Human WB Host: Rabbit Polyclonal RB24087 unconjugated
Catalog No. ABIN653584
$451.00
Plus shipping costs $50.00
400 μL (More quantities available)
Shipping to: United States
Delivery in 10 to 12 Business Days
 
RPL36 Reactivity: Human, Mouse, Rat WB, IHC, ELISA, IF Host: Rabbit Polyclonal unconjugated
Catalog No. ABIN3186781
$402.79
Plus shipping costs $50.00
100 μL (More quantities available)
Shipping to: United States
Delivery in 11 to 15 Business Days
 
RPL36 Reactivity: Human WB, IHC, ELISA, IF Host: Rabbit Polyclonal unconjugated
Catalog No. ABIN7187980
$262.68
Plus shipping costs $50.00
100 μg (More quantities available)
Shipping to: United States
Delivery in 13 to 17 Business Days
 
RPL36 Reactivity: Human WB, IHC, IF, ICC Host: Rabbit Polyclonal unconjugated
Catalog No. ABIN5620727
$799.11
Plus shipping costs $50.00
100 μL
Shipping to: United States
Delivery in 9 to 12 Business Days
 
RPL36 Reactivity: Human, Mouse, Rat WB, ELISA, IF, IHC (p) Host: Rabbit Polyclonal unconjugated
Catalog No. ABIN7216862
$379.10
Plus shipping costs $50.00
100 μL (More quantities available)
Shipping to: United States
Delivery in 12 to 16 Business Days
 
RPL36 Reactivity: Human, Mouse, Rat, Cow, Chicken WB, IHC, IF, ICC, IHC (p) Host: Rabbit Polyclonal unconjugated
Catalog No. ABIN2579538
$502.33
Plus shipping costs $50.00
100 μL
Shipping to: United States
Delivery in 11 to 15 Business Days
 
RPL36 Reactivity: Human, Mouse, Rat WB, IHC, IF Host: Rabbit Polyclonal unconjugated
Catalog No. ABIN2886748
$659.27
Plus shipping costs $50.00
100 μL (More quantities available)
Shipping to: United States
Delivery in 11 to 15 Business Days
 
RPL36 Reactivity: Human, Mouse, Rat, Guinea Pig, Rabbit, Monkey, Dog, Pig WB Host: Rabbit Polyclonal unconjugated
Catalog No. ABIN6749335
$690.07
Plus shipping costs $50.00
100 μL
Shipping to: United States
Delivery in 11 to 15 Business Days
 
RPL36 Reactivity: Human, Mouse WB, IP Host: Rabbit Polyclonal unconjugated
Catalog No. ABIN7449911
$538.15
Plus shipping costs $50.00
100 μg (More quantities available)
Shipping to: United States
Delivery in 3 to 5 Business Days
 
RPL36 Reactivity: Human, Mouse WB Host: Rabbit Polyclonal unconjugated
Catalog No. ABIN7453013
$538.15
Plus shipping costs $50.00
100 μg (More quantities available)
Shipping to: United States
Delivery in 3 to 5 Business Days
 
RPL36 Reactivity: Human WB, ELISA Host: Rabbit Polyclonal unconjugated
Catalog No. ABIN2579536
$1,153.53
Plus shipping costs $50.00
200 μL
Shipping to: United States
Delivery in 11 to 15 Business Days
 
RPL36 Reactivity: Human WB, ELISA Host: Rabbit Polyclonal FITC
Catalog No. ABIN1931720
$1,480.60
Plus shipping costs $50.00
200 μL
Shipping to: United States
Delivery in 11 to 15 Business Days
 
RPL36 Reactivity: Human WB, ELISA Host: Rabbit Polyclonal PE
Catalog No. ABIN1931721
$1,480.60
Plus shipping costs $50.00
200 μL
Shipping to: United States
Delivery in 11 to 15 Business Days
 
  • Type Primary
    • Primary
  • Application
    • Western Blotting (WB)
    • ELISA
    • Immunohistochemistry (IHC)
    • Immunofluorescence (IF)
    • Immunocytochemistry (ICC)
    • Immunohistochemistry (Paraffin-embedded Sections) (IHC (p))
    • Enzyme Immunoassay (EIA)
    • Flow Cytometry (FACS)
    • Immunoprecipitation (IP)
  • Reactivity
    • Human
    • Mouse
    • Rat
    • Cow
    • Chicken
    • Guinea Pig
    • Monkey
    • Rabbit
    • Dog
    • Pig
    • Zebrafish (Danio rerio)
  • Images available
  • Preservative free only
  • Carrier free only
  • Host
    • Rabbit
    • Mouse
  • Clonality
    • Polyclonal
  • Clone
    • RB24087
  • Binding Specificity
    • AA 14-42
    • N-Term
    • Internal Region
    • AA 1-105
    • AA 21-50
    • C-Term
    • Center
    • AA 1-50
    • AA 13-62
    • AA 30-110
    • AA 44-93
    • AA 51-100
    • AA 55-105
    • Val93
  • Conjugate
    • Un-conjugated
    • Biotin
    • APC
    • Alexa Fluor 488
    • Alexa Fluor 555
    • Alexa Fluor 594
    • Alexa Fluor 647
    • Alexa Fluor 680
    • Alexa Fluor 750
    • FITC
    • HRP
    • PE
  • Isotype
    • IgG
    • Ig Fraction
  • Format
    • Liquid
    • Lyophilized
  • Supplier
    • antibodies-online
    • Signalway
    • Acris
    • Assay Biotechnology Company, Inc.
    • Aviva Systems Biology
    • Boster Bio
    • Cohesion Biosciences
    • USBio

Aliases for RPL36 Antibodies

ribosomal protein L36 (RPL36) Antibodies
ribosomal protein L36 (Rpl36) Antibodies
60S ribosomal protein L36 (rpl-36) Antibodies
50S ribosomal protein L36 (rpl36) Antibodies
Ribosomal protein L36 (RpL36) Antibodies
ribosomal protein L36 L homeolog (rpl36.L) Antibodies
ribosomal protein L36 (rpl36) Antibodies
anon-EST:Posey274 Antibodies
BcDNA:AT29875 Antibodies
CG7622 Antibodies
Dmel\\CG7622 Antibodies
EG:115C2.7 Antibodies
l(1)1Bj Antibodies
l(1)G0471 Antibodies
L36 Antibodies
L36a Antibodies
M(1)1B Antibodies
M(1)Bld Antibodies
RPL35 Antibodies
Rp L36 Antibodies
secX Antibodies
Vi Antibodies
zgc:86707 Antibodies
You are here:
Chat with us!