Phone:
+1 877 302 8632
Fax:
+1 888 205 9894 (Toll-free)
E-Mail:
orders@antibodies-online.com

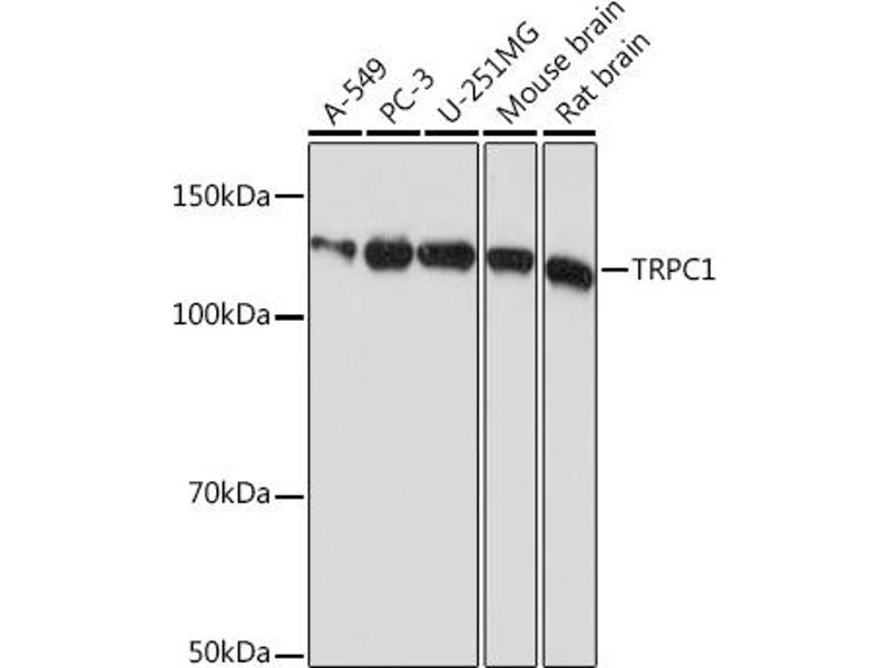
TRPC1 Antibodies

(Transient Receptor Potential Cation Channel, Subfamily C, Member 1 (TRPC1))

Choose one of 54 TRPC1 antibodies from our product listing based on 2 publications and 22 validation images.

Explore reliable TRPC1 antibodies from a broad selection of renowned manufacturers. Our portfolio enables accurate TRPC1 detection across multiple species, including Human, Mouse, Rat, Xenopus laevis, and supports diverse research applications such as WB, ELISA, FACS, IHC, IF.

Quickly find the right antibody using our search, filter, and comparison tools. Each product page provides detailed validation data, literature references, and customer feedback. Unlike comparison-only resources, you can conveniently purchase antibodies directly through our site. Choose from polyclonal, monoclonal, or recombinant TRPC1 antibodies derived from various hosts such as Rabbit, Mouse, Goat. Browse our products below and order directly to support your research with confidence.

Alternative names for TRPC1 are TRPC1, Trpc1, trpc1.L, trpc1.

54 results

Verified TRPC1 Reactivity: Human ELISA, IHC, FACS, IF Host: Goat Polyclonal unconjugated
Catalog No. ABIN6391351
$488.25
Plus shipping costs $50.00
100 μg
Shipping to: United States
Delivery in 1 to 3 Business Days
 
TRPC1 Reactivity: Human WB, ELISA Host: Mouse Polyclonal unconjugated
Pubmed 2 references
Catalog No. ABIN563261
$359.85
Plus shipping costs $50.00
50 μL
Shipping to: United States
Delivery in 11 to 14 Business Days
 
TRPC1 Reactivity: Human ELISA, IHC Host: Rabbit Polyclonal unconjugated
Catalog No. ABIN7169527
$394.68
Plus shipping costs $50.00
100 μg (More quantities available)
Shipping to: United States
Delivery in 13 to 17 Business Days
 
TRPC1 Reactivity: Human WB, FACS Host: Rabbit Monoclonal 24GB4145 unconjugated Recombinant Antibody
Catalog No. ABIN7800607
$394.31
Plus shipping costs $50.00
100 μL
Shipping to: United States
Delivery in 3 to 5 Business Days
 
TRPC1 Reactivity: Human WB Host: Rabbit Polyclonal RB36853 unconjugated
Catalog No. ABIN1537584
$451.00
Plus shipping costs $50.00
400 μL (More quantities available)
Shipping to: United States
Delivery in 10 to 12 Business Days
 
KO Validated TRPC1 Reactivity: Human WB, IHC, IF, IC, IP Host: Rabbit Polyclonal unconjugated
Catalog No. ABIN7043815
$854.77
Plus shipping costs $50.00
25 μL (More quantities available)
Shipping to: United States
Delivery in 11 to 14 Business Days
 
TRPC1 Reactivity: Rat WB, FACS, IF, IC, LCI Host: Rabbit Polyclonal unconjugated
Catalog No. ABIN7043816
$854.77
Plus shipping costs $50.00
25 μL (More quantities available)
Shipping to: United States
Delivery in 11 to 14 Business Days
 
TRPC1 Reactivity: Human WB, IHC Host: Rabbit Polyclonal unconjugated
Catalog No. ABIN6149568
$383.00
Plus shipping costs $50.00
100 μL (More quantities available)
Shipping to: United States
Delivery in 7 to 10 Business Days
 
TRPC1 Reactivity: Human WB Host: Rabbit Monoclonal unconjugated
Catalog No. ABIN1681339
$393.00
Plus shipping costs $50.00
100 μg (More quantities available)
Shipping to: United States
Delivery in 7 to 10 Business Days
 
TRPC1 Reactivity: Human WB, ELISA Host: Mouse Monoclonal 1E4 unconjugated
Catalog No. ABIN1327298
$520.15
Plus shipping costs $50.00
200 μL
Shipping to: United States
Delivery in 11 to 14 Business Days
 
TRPC1 Reactivity: Human WB, ELISA, IHC Host: Rabbit Polyclonal unconjugated
Catalog No. ABIN7571778
$355.94
Plus shipping costs $50.00
100 μg
Shipping to: United States
Delivery in 12 to 15 Business Days
 
TRPC1 Reactivity: Human, Rat, Mouse WB, ELISA Host: Rabbit Polyclonal unconjugated
Catalog No. ABIN7231918
$379.10
Plus shipping costs $50.00
100 μL (More quantities available)
Shipping to: United States
Delivery in 12 to 16 Business Days
 
TRPC1 Reactivity: Human ELISA Host: Rabbit Polyclonal HRP
Catalog No. ABIN7169530
$394.68
Plus shipping costs $50.00
100 μg (More quantities available)
Shipping to: United States
Delivery in 13 to 17 Business Days
 
TRPC1 Reactivity: Human ELISA Host: Rabbit Polyclonal Biotin
Catalog No. ABIN7169528
$394.68
Plus shipping costs $50.00
100 μg (More quantities available)
Shipping to: United States
Delivery in 13 to 17 Business Days
 
TRPC1 Reactivity: Human Host: Rabbit Polyclonal FITC
Catalog No. ABIN7169529
$394.68
Plus shipping costs $50.00
100 μg (More quantities available)
Shipping to: United States
Delivery in 13 to 17 Business Days
 
TRPC1 WB, IHC Host: Mouse Monoclonal 1F1 unconjugated Recombinant Antibody
Catalog No. ABIN7574308
$401.14
Plus shipping costs $50.00
100 μg
Shipping to: United States
Delivery in 12 to 15 Business Days
 
TRPC1 Reactivity: Human, Rat, Mouse WB, IHC Host: Rat Monoclonal 1F1R unconjugated Recombinant Antibody
Catalog No. ABIN7574307
$442.56
Plus shipping costs $50.00
100 μg
Shipping to: United States
Delivery in 12 to 15 Business Days
 
TRPC1 Reactivity: Human, Rat, Mouse WB, ELISA Host: Rabbit Polyclonal unconjugated
Catalog No. ABIN6389301
$377.51
Plus shipping costs $50.00
100 μL (More quantities available)
Shipping to: United States
Delivery in 11 to 15 Business Days
 
TRPC1 Reactivity: Human ELISA, FACS, ICC Host: Rabbit Polyclonal unconjugated
Catalog No. ABIN1714237
$384.62
Plus shipping costs $50.00
100 μL
Shipping to: United States
Delivery in 4 to 7 Business Days
 
TRPC1 Reactivity: Human, Rat, Mouse WB, IF, ICC Host: Rabbit Polyclonal unconjugated
Catalog No. ABIN7094028
$494.77
Plus shipping costs $50.00
100 μL (More quantities available)
Shipping to: United States
Delivery in 11 to 13 Business Days
 
  • Type Primary
    • Primary
  • Application
    • Western Blotting (WB)
    • ELISA
    • Flow Cytometry (FACS)
    • Immunohistochemistry (IHC)
    • Immunofluorescence (IF)
    • Immunochromatography (IC)
    • Immunocytochemistry (ICC)
    • Enzyme Immunoassay (EIA)
    • Immunoprecipitation (IP)
    • Live Cell Imaging (LCI)
  • Reactivity
    • Human
    • Mouse
    • Rat
    • Xenopus laevis
  • Cited in publications
  • Images available
  • Preservative free only
  • Carrier free only
  • Host
    • Rabbit
    • Mouse
    • Goat
    • Rat
  • Clonality
    • Polyclonal
    • Monoclonal
  • Clone
    • 1E4
    • 1F1
    • 1F1R
    • 21T11
    • 24GB4145
    • R03-4X9R03-4X9
    • RB36853
  • Binding Specificity
    • AA 710-750
    • AA 765-793
    • C-Term
    • AA 39-207
    • AA 442-505
    • AA 764-793
    • AA 400-500
    • AA 45-386
    • AA 495-505
    • AA 557-571
    • AA 700-750
    • Extracellular
    • Internal Region
    • Intracellular
    • Trp1
  • Conjugate
    • Un-conjugated
    • FITC
    • Biotin
    • HRP
    • PE
    • APC
    • AbBy Fluor® 350
    • AbBy Fluor® 488
    • AbBy Fluor® 555
    • AbBy Fluor® 594
    • AbBy Fluor® 647
    • AbBy Fluor® 680
    • AbBy Fluor® 750
    • Cy3
    • Cy5
    • Cy5.5
    • Cy7
  • Isotype
    • IgG
    • Ig Fraction
    • kappa
    • IgG1
    • IgG2a
    • IgG2b kappa
  • Protein Type
    • Recombinant Antibody
  • Format
    • Liquid
    • Lyophilized
  • Grade
    • KO Validated
    • Verified
  • Supplier
    • antibodies-online
    • Alomone Labs
    • Covalab
    • Abbexa
    • Acris
    • Boster Bio
    • ProteoGenix
    • USBio

Latest Publications for our TRPC1 Antibodies

Heckman, Ademuyiwa, Cayer: "How filopodia respond to calcium in the absence of a calcium-binding structural protein: non-channel functions of TRP." in: Cell communication and signaling : CCS, Vol. 20, Issue 1, pp. 130, (2022) (PubMed).

López, Dionisio, Berna-Erro, Galán, Salido, Rosado: "Two-pore channel 2 (TPC2) modulates store-operated Ca(2+) entry." in: Biochimica et biophysica acta, Vol. 1823, Issue 10, pp. 1976-83, (2012) (PubMed).

Zhang, Pan, Zhang: "Functional interactions among STIM1, Orai1 and TRPC1 on the activation of SOCs in HL-7702 cells." in: Amino acids, Vol. 39, Issue 1, pp. 195-204, (2010) (PubMed).

Zhang, Wang, Pan, Xu, Zhang: "Measuring Ca2+ influxes of TRPC1-dependent Ca2+ channels in HL-7702 cells with non-invasive micro-test technique." in: World journal of gastroenterology : WJG, Vol. 15, Issue 33, pp. 4150-5, (2009) (PubMed).

Aliases for TRPC1 Antibodies

transient receptor potential cation channel subfamily C member 1 (TRPC1) Antibodies
transient receptor potential cation channel, subfamily C, member 1 (Trpc1) Antibodies
transient receptor potential cation channel, subfamily C, member 1 L homeolog (trpc1.L) Antibodies
transient receptor potential cation channel, subfamily C, member 1 (trpc1) Antibodies
transient receptor potential cation channel subfamily C member 1 (trpc1) Antibodies
HTRP-1 Antibodies
Mtrp1 Antibodies
TRP1 Antibodies
Trp1 Antibodies
Trpc1 Antibodies
Trrp1 Antibodies
xtrpc1 Antibodies
You are here:
Chat with us!